Глумление над трупом
Несколько лет назад, а именно 9 декабря 2013 года девочка Jahi McMath, тогда 13 лет в США легла в больницу на плановую тонзиллэктомию (как у нас говорят - "удаление гланд". Операция прошла нормально, правда, лор-хирург отметил, что внутренняя сонная артерия (напомню, что именно внутренние сонные артерии питают головной мозг) у девочки подходит аномально близко к операционному полю. Но тем не менее во время операции проблем не было. Через несколько часов у девочки развилось кровотечение из операционной раны. Видимо, артерия и закровила. По свидетельствам, на кашель с кровью медсестры не обращали достаточного внимания, пока сатурация (насыщение кислородом крови) не упала до 79% (должно быть > 95%) и не произошла остановка сердца. Тогда девочку срочно взяли в реанимацию на искусственную вентиляцию легких, долили компонентов крови, завели сердце, но мозг уже пострадал. Через двое суток была успешно продиагностирована смерть головного мозга.
На этом можно было бы и закончить, но история только начинается.
Спустя два дня, 11 декабря 2013 врачи детской больницы диагностировали смерть мозга. Об этом сообщили родителям, принесли соболезнования, попросили подумать о перспективе органного донорства. По законам штата Калифорния (дело было там) пациент, у которого диагностирована смерть мозга, может оставаться на искусственной вентиляции легких (ИВЛ) «некоторое разумное время», чтобы родственники успели собраться и попрощаться. Формулировка эта очень расплывчатая, указывается только, что время «некоторое разумное», и что нахождение фактического трупа на ИВЛ не должно ставить под угрозу интересы живых пациентов, которым этот ИВЛ может понадобиться. Родных пригласили попрощаться и подписать согласие на отключение от ИВЛ.
Однако мать отказывается отключать дочь от аппаратуры жизнеобеспечения. Потому что «она же живая, дышит же и сердце бьется». Объяснения ей, что дышит и сердце бьется только благодаря аппаратной поддержке, но мозг уже умер, никакого влияния на мать не оказывают. Теплая, сердце бьется, дышит — значит, жива.
Семья селится в палате и круглосуточно следит, чтобы никто не пришел и не отключил девочку от аппаратов. Семья поднимает кампанию в прессе, привлекает активистов. Мать обвиняет больницу и Минздрав в расизме (семья чернокожая): мол, с белой девочкой так не поступили бы. Под окнами больницы маршируют активисты с плакатами «Не дайте ей умереть». Журналисты обрывают телефоны. В интернете собирают деньги — и на лечение, и на юристов. Подключается фонд Терри Шиаво (это женщина со схожей проблемой), занимающийся как раз помощью пациентам при вегетативных и сомнительных относительно диагноза смерти мозга состояниях. Католические юристы выступают в защиту интересов ребенка и матери: мол, человек с бьющимся сердцем не мертв. По их настоянию суд выписывает охранный ордер. Семья считает, что больница заинтересована в том, чтобы признать девочку мертвой и списать, и через суд требует независимой экспертизы.
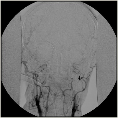
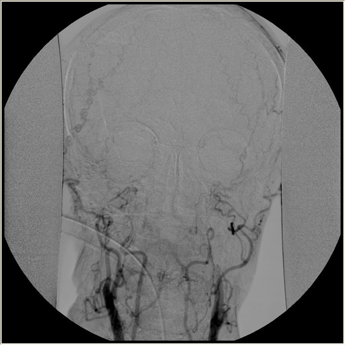
Спустя еще неделю, 22 декабря 2013 по приглашению того же судьи, что дал охранный ордер приходит независимый эксперт — профессор, завотделением детской неврологии очень авторитетного заведения - Школы медицины при Стендфордском университете Paul Graham Fisher. А также родители девочки вызывают известного в стране педиатра Paul A. Byrne, который по странному стечению обстоятельств поддерживает идею, что смерть мозга не является смертью всего организма. Они подтверждают смерть мозга. На энцефалограмме прямые линии, на ангиограмме кровообращения нет ни в одном из отделов мозга, пациентка даже не пытается дышать при отключении ИВЛ. И 24 декабря Суд признает девочку официально покойной и постановляет отключить уже тело от систем жизнеобеспечения, как только истечет охранный ордер от предыдущих юристов.
Семья поднимает еще больший ажиотаж в прессе и ищет помощи через интернет и благотворительные фонды. А также требует начать зондовое (через трубочку) питание, девочке ведь надо кушать. Больница резко отвечает, что не станет кормить труп, но понимает, что после отключения девочки от ИВЛ ее заклеймят убийцей на всю страну, а это катастрофа для публичного имиджа и, соответственно, финансирования. В общем, под новый год 2014 юристы с обеих сторон рожают компромисс. Пусть придет коронер (судмедэксперт с полицейскими полномочиями), признает девочку мертвой и выпишет свидетельство о смерти. После чего родственники могут забрать тело и дальше делать с ним что хотят. Все идут отдыхать на новый год.
После праздников 3 января 2014. Коронер приходит. Официально объявляет о смерти, расписывается в свидетельстве о смерти и требует проведения вскрытия. Спустя два дня, 5 января больница отключает ИВЛ — но рядом уже стоит нанятая родителями реанимационная бригада, которая немедленно подключает портативный ИВЛ. Кампания в интернете и благотворительные фонды собрали сумму, которой хватило на оплату и реанимационного пособия, и эвакуации. Тело девочки на портативном ИВЛ перекладывают на носилки и уносят из больницы (которая выдохнула с облегчением), подогнанный реанимобиль везет его в аэропорт, где уже ждет самолет санавиации, и семья летит из Калифорнии на другой конец Америки, в штат Нью-Джерси.
В США в каждом штате свое законодательство. Нью-Джерси — один из двух штатов США, законы которого позволяют игнорировать заключение о смерти мозга, если оно противоречит религиозным убеждениям пациента и его семьи. Мать девочки заявляет, что по ее христианскому убеждению человек жив, пока бьется сердце. После приземления девочку (или, точнее, то, что ею было) госпитализируют в реанимацию университетской клиники в Нью-Брунсвике. Завотделением признает, что надежды на восстановление функций мозга нет, но по закону дает девочке то, на чем настаивали родители: трахеостому для более удобной постоянной ИВЛ и зондовое питание.
Три месяца семья живет при больнице (там предоставляется что-то вроде общежития или хостела родственникам иногородних тяжелых пациентов), потом их оттуда попросили, и они сняли рядом с госпиталем квартиру. Девочка тем временем пребывает в реанимации на аппаратах, состояние по документам — без какой либо динамики, есть некоторая даже стабилизация: кожа стала эластичнее, прекратились скачки давления. Пребывание в реанимации стоит около 150 000 долларов в неделю, по законам штата его оплачивает страховка.
Далее интереснее:
Июль 2014. У девочки, которой уже исполнилось 13 лет, начинаются регулярные менструации. Тут всем уже становится интересно: для этого гипоталамус должен работать и вырабатывать определенные гормоны. Энцефалограмма и ангиограмма по-прежнему показывают смерть всех отделов мозга.
Август 2014. Девочку выписывают и из этой клиники, родители перевозят ее в съемную квартиру. Ей предоставляется портативный аппарат ИВЛ, монитор основных показателей и прочее оборудование, а также круглосуточный сестринский пост (три медсестры в три 8-часовые смены в сутки). Все оплачивается по страховке. Случай широко освещается в прессе. Граждане поднимают волну протеста: считают, что хватит на их налоги оплачивать это дорогостоящее глумление над мертвым телом (американцы вообще очень неравнодушно относятся к тому, как расходуются их налоговые отчисления).
Сентябрь 2014. Плановая МРТ. Всех удивляет, что мозг да, мертв, но во многих отделах цел — обычно у пациентов со смертью мозга, так долго находящихся на вентиляции, в черепе уже просто плещется жижа. А тут практически разрушен ствол, почти не визуализируются волокна, связывающие полушария, но в самих полушариях сохранны обширные участки коры. В лабораторных условиях сердцебиение учащается при звуке голоса матери. Мать заявляет, что дома девочка иногда правильно реагирует на просьбы пошевелить рукой или ногой, снимает эти шевеления на видео. Эксперты смотрят видео, но затрудняются ответить, действительно ли это сознательная реакция или рефлекторные подергивания.
Начало 2015. Возникают юридические уже проблемы. Девочка, напомним, считается живой по законам штата Нью-Джерси, где она находится, но мертвой по законам штата Калифорния, где ей выписано свидетельство о смерти. Налоги семья платит в Калифорнии, по месту основного жительства. В очередной налоговой декларации мать указывает несовершеннолетнюю дочь в числе иждивенцев. Декларацию ей возвращают как содержащую ложные сведения: ваша дочь же умерла.
Весна 2015. Семья подает в суд на калифорнийскую больницу, где была выполнена та неудачная операция, и требует возмещения их дочери морального и физического ущерба, причиненных и поныне испытываемых страданий и текущих медицинских расходов. Юристы больницы отвечают, что трупы не испытывают страданий и не могут подавать судебные иски, а родственники издеваются над давно умершим телом. (Тут тоже денежный вопрос: в США в случае врачебной ошибки, повлекшей смерть пациента, компенсация может составлять до 250 000 долларов. В случае инвалидизации пациента, но не смерти, такого «потолка» нет, сумма может быть любой, в том числе и больше). Семья предоставляет те же видеозаписи шевелений, кардиограммы с учащением пульса в ответ на голос матери, МРТ с сохранной на больших участках корой и мнение одного из осматривавших девочку врачей, профессора UCLA, совершенно феерическое: что на момент постановки диагноза «смерть мозга» состояние девочки соответствовало критериям смерти мозга, но сейчас уже больше не соответствует и требует пересмотра, что она «технически жива». На энцефалограммах по-прежнему все прямо, никаких ритмов.
Дело имеет общественный резонанс и социальные последствия. Ссылаясь на него, родственники молодых пациентов, у которых диагностирована смерть мозга, начинают чаще отказывать в отключении их от ИВЛ. Особенно чернокожие семьи, подозревающие везде расизм, «за белого пациента еще поборолись бы». Врачи беспокоятся, что из-за этого случая люди начинают заметно реже подписывать прижизненное согласие на посмертное донорство органов — меньше доверяют. Неврологи, которые ставят под сомнение окончательность смерти мозга в этом случае, и трансплантологи на научных конференциях доходят до взаимных оскорблений и чуть не до драк.
И продолжается все это до сих пор. Девочка, которой сейчас уже 17, лежит дома на ИВЛ ни жива ни мертва, радует родителей движениями пальцев, которые иногда совпадают с просьбами пошевелить пальцем, а иногда нет. Вся соматика функционирует. Тело растет и взрослеет, это уже не девочка, а девушка. Жизнеобеспечение девушки оплачивается страховкой, родителям помогают благотворители, в том числе из интернета. Общественное мнение продолжает вялое противостояние между теми, кто за «Спасите ребенка, ребенок хочет жить» и за «Прекратите издеваться над трупом за наши налоги». Очередной суд, который должен был постановить, жива она или мертва с точки зрения закона, был назначен на март 2018. Судебное заседание состоялось, рассмотрело в очередной раз показания свидетелей, не приняло никакого решения, назначило следующее заседание через месяц... конца-края делу не видно.
Оригинал: https://topbloger.livejournal.com/30927121.html с моими коментариями
Вики: https://en.wikipedia.org/wiki/Jahi_McMath_case
пресса: http://www.crimeonline.com/2017/09/07/jahi-mcmath-teen-decla...
UPD. девочка умерла 22 июня 2018 года в результате кровотечения из-за отказа внутренних органов#comment_158215620






