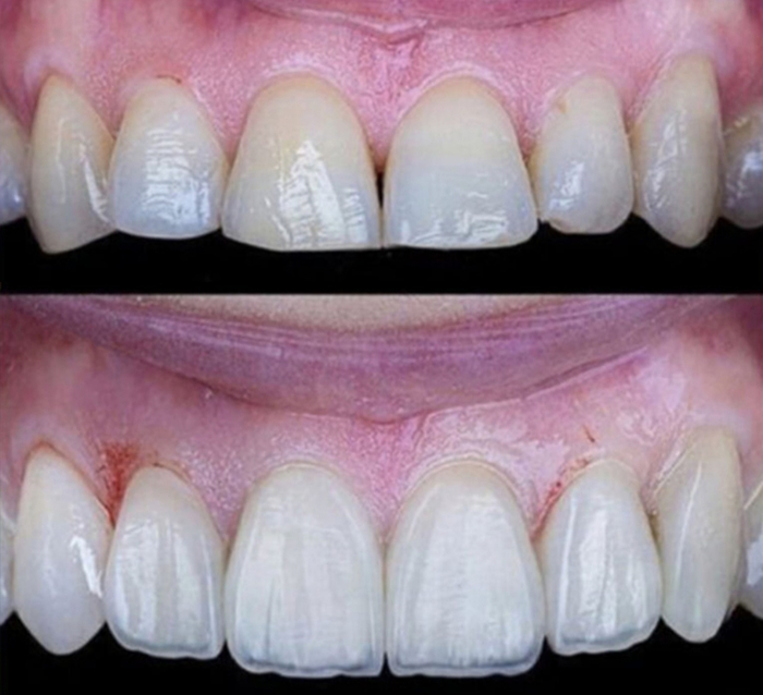
Преобразите свою улыбку за один день: реставрационные виниры без обточки зубов
Тенденция на улучшение эстетики улыбки становится всё более популярной. Современные стоматологические технологии предлагают новые решения для пациентов, стремящихся к идеальному внешнему виду зубов. Одним из таких новшеств являются реставрационные виниры, представляющие собой композитные послойные конструкции. Эти виниры не только привлекают внимание своим внешним видом, но и обещают ряд значительных преимуществ, которые делают их привлекательными для широкого круга пациентов.
Преимущества реставрационных виниров
Реставрационные виниры, как композитные послойные конструкции, выигрывают в сравнении с традиционными методами лечения. Первым и, пожалуй, самым заметным преимуществом является стоимость. По сравнению с керамическими винирами, которые часто имеют высокую цену, композитные виниры являют собой более доступное решение для желающих скорректировать свою улыбку. Экономия бюджета не означает компромисс по качеству, что делает этот вариант особенно привлекательным. Следующим важным аспектом является необходимость минимальной подготовки зубов. В отличие от традиционных виниров, которые могут требовать обтачивания зубной поверхности, реставрационные виниры позволяют сохранить естественную структуру зубов. Процедура нанесения виниров заключается в их поэтапной накладке без значительного ущерба для самого зуба. Это является важным фактором для тех, кто хочет избежать инвазивных вмешательств. Кроме того, время, необходимое для изготовления и установки реставрационных виниров, значительно сокращено. В отличие от стандартных виниров, которые могут потребовать несколько визитов к стоматологу, компоненты композитных виниров могут быть созданы и установлены в течение одного дня. Таким образом, пациенты экономят время и могут быстро наслаждаться результатом.
Как выполняется процедура?
Процесс установки реставрационных виниров становится еще одним значимым плюсом. Сначала стоматолог проводит тщательную диагностику и оценку состояния зубов пациента. Затем на основе полученных данных подбирается индивидуальная цветовая палитра и форма виниров, что позволяет обеспечить их естественный вид и идеальное соответствие анатомическим и эстетическим требованиям. После этого осуществляется процесс наложения композитных материалов по слоям, что позволяет добиться максимальной прочности и долговечности конструкции. Каждый слой запечатывается с применением специального оборудования, что обеспечивает надежную фиксацию и защиту от внешних воздействий.
"Современные композитные виниры позволяют не только восстановить эстетичный вид зубов, но и значительно улучшить их функциональность и долговечность."
Такой подход к реставрации зубов позволяет не только скрыть их недостатки, но и сохранить здоровье и структуру зуба, что делает данный метод заслуживающим внимания и доверия.
Почему выбор падает на реставрационные виниры?
Реставрационные виниры завоевали популярность благодаря своим универсальным возможностям применения.
Эти современные конструкции решают сразу несколько важных задач:
Косметическая коррекция — эффективно маскируют различные дефекты: трещины, пятна и неровности эмали
Терапевтическое воздействие — помогают в лечении определённых стоматологических заболеваний
Ортодонтические функции — способствуют коррекции прикуса и устранению промежутков между зубами
Эстетическая реставрация — значительно улучшают общий внешний вид улыбки
Особую ценность представляет надёжность конструкции. Высококачественные композитные материалы, из которых изготавливаются виниры, отличаются:
Повышенной прочностью
Устойчивостью к механическим воздействиям
Длительным сроком службы
Современные стоматологические центры, такие как ZiZi Dent, предоставляют пациентам возможность воспользоваться этой инновационной технологией реставрации. Профессиональные специалисты помогут оценить целесообразность применения виниров и обеспечат качественное выполнение всех этапов процедуры.
Такой комплексный подход делает реставрационные виниры оптимальным выбором для тех, кто стремится к совершенству улыбки и заботится о здоровье своих зубов.
Что выбрать?
В современном мире стоматологии существует множество вариантов улучшения внешнего вида зубов, и выбор подходящего метода может стать непростой задачей. Как же определиться с оптимальным решением для создания идеальной улыбки?
Первый и самый важный шаг — это консультация с опытным специалистом. Только квалифицированный врач сможет:
Провести тщательную диагностику
Оценить индивидуальные особенности
Выявить имеющиеся проблемы
Предложить наиболее подходящий вариант решения
Реставрационные виниры выделяются среди прочих методов благодаря сочетанию доступности и эффективности. Они становятся всё более популярным выбором для тех, кто стремится:
Улучшить внешний вид улыбки
Исправить эстетические дефекты
Получить качественный результат
Успех процедуры напрямую зависит от профессионализма врача, который:
Учтёт все индивидуальные особенности
Сможет правильно подобрать материал
Обеспечит качественное выполнение работы
Инновационный подход к стоматологическому лечению, который предлагают реставрационные виниры, открывает новые возможности для пациентов. Этот метод сочетает в себе:
Эстетическую привлекательность
Безопасность процедуры
Долговечность результата
Комфортность использования
В результате реставрационные виниры становятся всё более востребованным решением для тех, кто мечтает о совершенной улыбке и доверяет современным стоматологическим технологиям.











