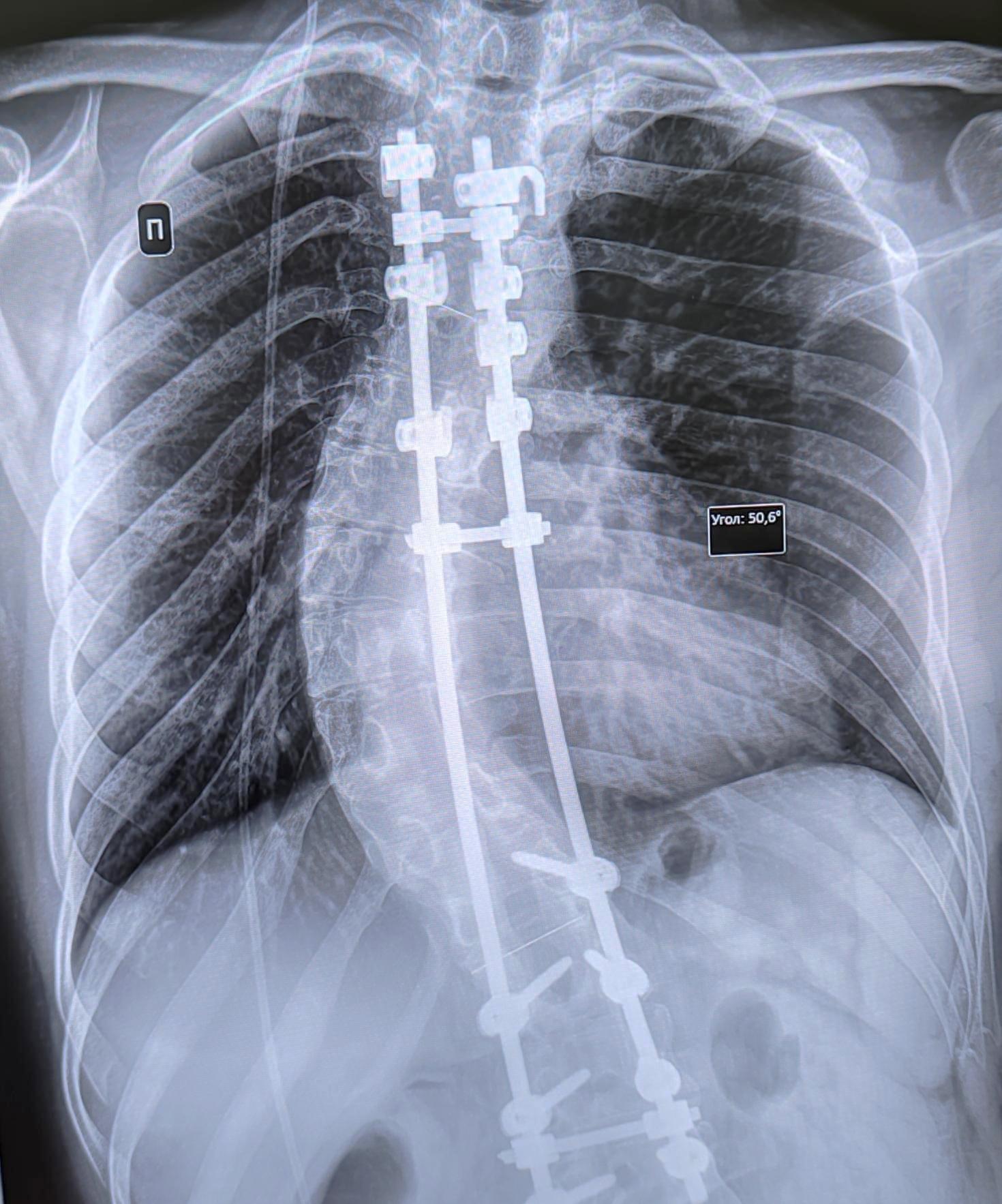
Сколиоз IV степени
Выраженная ротация, торсия тел позвонков грудо-поясничного отдела позвоночника, визуализируется правосторонняя сколиотическая дуга с вершиной на Th8-9,с углом девиации 50.6 градусов, в условиях установленной металлоконструкции для коррекции сколиотической деформации с транспедикулярной фиксацией в Th12-L3 позвонках, резорбции костной ткани вокруг металлоконструкции не выявлено. Заключение: Правосторонний сколиоз грудо-поясничного отдела позвоночника 4 (четвертой )ст. в условиях корригирующего МОС.
Категория годности с диагнозом сколиоз 4 ст. по статье 66(Болезни позвоночника и их последствия:)а-Д(не годен к военной службе) по I, II, III графам.

