ПРотезирование ТБС собаке. ч.3
Прошло две недели с момента операции. Рассказываю о ходе восстановления.
На 6-7 день после операции собаке заметно полегчало. Она стала более уверенно ходить по квартире, в глазах появился блеск и общее настроение стало веселым. На прогулках ее все больше стали интересовать дальние дали ,не доступные ей на текущий момент. В итоге мы рискнули увеличить дальность маршрута, т.к. общее состояние лапы не вызывало вопросов. Бася была очень довольна открывшимися перспективами, с удовольствием гуляла, нюхала и делала все свои важные собачьи дела. По лестнице муж по-прежнему носил ее на руках, но препятствия в виде бордюров Бася уже преодолевала сама. Вся забота на прогулках сводилась к тому, чтобы не дать ей скакать слишком резво. В собаке явно появились силы и борзота, так что тянула она ощутимо.
Не обошлось и без косяков, конечно. Оставляя собаку одну дома, мы баррикадировали ее в холле. Вот и в тот раз мы сделали все как обычно. Двери в комнаты, выходящие в холл, были закрыты, а на выходе из холла была сооружена внушительная баррикада из здоровой столешницы, которая ждала своего часа отправиться на дачу, и двух стульев, подпиравших эту столешницу. Таким образом выход перекрывался почти полностью. Надели на Басю воротник и уехали по делам. По возвращению домой эта "хорошая девочка" была обнаружена на диване в единственной открытой комнате. Пока я в ужасе хваталась за сердце, собачка спокойненько встала и спрыгнула с дивана. Тут же было накатано письмо доктору, собака ощупана, осмотрена. Итого минус 500 метров нервных клеток на двоих, плюс седина и довольная собака. Слава богу, обошлось. Но доктор все же попросил тщательнее следить, чтобы подобное не повторялось. Кстати, на мой вопрос на что обратить внимание, если что-то все же пошло не так, он ответил лаконично "лапа повиснет". Как эта волосатая змея в воротнике смогла просочиться сквозь баррикаду до сих пор не понятно. При условии, что вся конструкция стояла как и было задумано, можно предположить, что Бася ее перепрыгнула. Волосы дыбом от одной мысли как у нее это получилось, но тяга к дивану оказалась сильнее. По итогу мы сменили тактику. И теперь собака остается без баррикад, мы просто закрываем все комнаты. Так что владельцам более активных собак на заметку - по прошествии недели после операции собака вполне уже готова к подвигам и надзор нужно усилить.
Ну и второй косяк был не столь существенен. За пару дней до снятия швов Бася смогла найти лазейку в пластыре и всласть нализать шов минут 10-15. Но, т.к. все уже почти зажило, никаких последствий не случилось. Немного покраснела кожа, но на следующий день уже не было и следа.
По итогу вторая неделя после операции прошла значительно проще и комфортней, чем первая. Мы наконец привыкли к новым порядкам и закрыванию дверей, собака привыкла спать в холле, боли прошли, ночь проходила спокойно, а на прогулке с каждым днем она вела себя все веселее и веселее.
Съездили к нашему доктору на снятие швов. Процедура прошла быстро, он тщательно все осмотрел, покрутил лапу, проверил как собака ходит, ответил на все наши вопросы и отпустил на 1,5 месяца до контрольного рентгена.
Из нововведений:
Интенсивность и дальность прогулок нужно увеличивать. Минут 30-40 или сколько собака выдержит. В спокойном темпе, с перерывами на отдых, если требуется, но лапу надо расхаживать. Чем быстрее Бася привыкнет к новой лапе и чем быстрее нарастит мышцы, тем лучше.
Все еще обязательный контроль. Никаких рывков, бега, резких движений. Исключить контакт с другими собаками. Только на поводке.
Бася может сама преодолевать небольшие препятствия - бордюры, пара ступеней. На больших лестницах пока придерживать. Как минимум до конца месяца.
При операции стараются минимально повреждать мышцы, но часть все равно режут. Мясо заживает около месяца. Хромота, подергивание лапой, вытягивание, заваливание задницы на данном этапе - норма. Мышцы заживут, нервы привыкнут и все будет хорошо.
Ужас первых дней уже подзабылся, таблетки все доедены, ограничения не так уж и проблемны и жизнь налаживается. особенно после разрешения не носить больше воротник и не заклеивать шов. Самый сложный этап пройден.
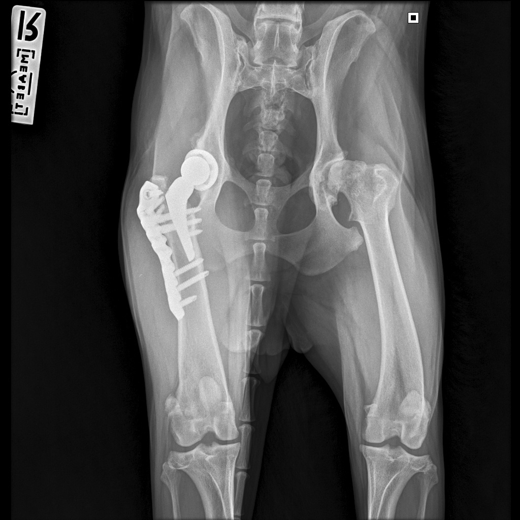
18.08.2025 мы съездили на контрольный рентген. Можно было сделать рентген и в любой ближайшей клинике, но мы предпочли не рисковать. Во-первых, делать снимки нужно было в каких-то особенных проекциях, на которых виден процесс приживления, а, во-вторых, для такого рентгена требовался наркоз. Потому мы решили не искать легких путей и сразу сделать там, где гарантированно все получится в лучшем виде. Так что записались мы в Медвет в Троицке и покатили к 9 утра.
Далее стандартная процедура: разговор с доктором о самочувствии собаки и наличии жалоб, осмотр анестезиологом и Басю забрали. Где-то через час нам вернули ее уже полностью отошедшую от наркоза, сказали, что все у нас хорошо, ограничения с нас сняты и мы можем быть свободны.
Вот как теперь выглядит ее внутренний мир
Что еще могу добавить? Конечно, второй месяц реабилитации был намного проще. Почти без ограничений и проблем. Мы ездили в деревню, на дачу, спокойно гуляли. Да, не контактировали с другими животными и не давали ей особо скакать и прыгать. Но на этом и все. И то, за недели две до рентгена мохнатая коза встретила в деревне зайца и припустила за ним на всех парах. И ничего, даже не хромала. После этого мы поняли, что все у нас хорошо. Да и в целом собака стала заметно активней. Ей больше хочется бегать, прыгать, она делает это легко и с удовольствием. Даже несмотря на то, что вторая лапа еще требует ремонта. Уже разница колоссальна по сравнению с тем, какой была Бася до операции.
П.С. Собирались мы вторую лапу чинить весной, чтобы и собака восстановилась, и мы, и деньги подкопились. Но Бася так не считала. Через неделю после контрольного рентгена вторая лапа вышла из чата. Так что мы спешно записались на самое ближайшее время и 16.09.2025 прооперировали вторую лапу. На данный момент мохнозадая коза восстанавливается и пытается скакать. Но пока нельзя, чем она крайне недовольна Так что ждем полного выздоровления.


