Пациентка пришла с кашлем а ушла с букетом очень редких болезней
Я врач-пульмонолог в московской поликлинике. Эта история болезни пациентки ещё не закончилась, но настолько интересная, что ждать окончания нет сил.
Итак, пациентка 43 лет обратилась ко мне впервые в декабре 2024 года.
На момент первичного осмотра жаловалась на кашель в любое время суток (ночью тоже) с большим количеством слизисто-гнойной мокроты, хрипы в грудной клетке и эпизоды затруднения дыхания летом 2024.
В начале декабря 2024 простудилась и обратилась к терапевту. В связи с низкой эффективностью лечения направлена ко мне - подозрение на ХОБЛ.
Из анамнеза: курила 20 лет по 20 сигарет. Работала маляром, в настоящее время в клининге. Аллергии: когда-то была непонятная сыпь на коже по неуточненной причине.
При осмотре я выслушал грубые свистящие и жужжащие хрипы на выдохе.
Подозрение на ХОБЛ и/или бронхиальную астму, возможно бронхоэктазы. - решил я.
Так как терапевт обследованием особо не заморачивался, пришлось назначать большой список. В том числе КТ грудной клетки (исключить или подтвердить эмфизему и бронхоэктазы)
И тут начинается самое интересное!
Множественные воздушные кисты в лёгких - случаются только при очень редких и очень серьезных болячках.
По другим обследованиям тоже были некоторые изменения, но всё отошло на второй план.
Так как в дифференциальном ряду было подозрение на гистиоцитоз и лимфангиолейомиоматоз, значит нужно искать изменения в брюшной полости и в малом тазу. - таковы были мои рассуждения.
Было проведено КТ грудной, брюшной полостей и малого таза с контрастом.
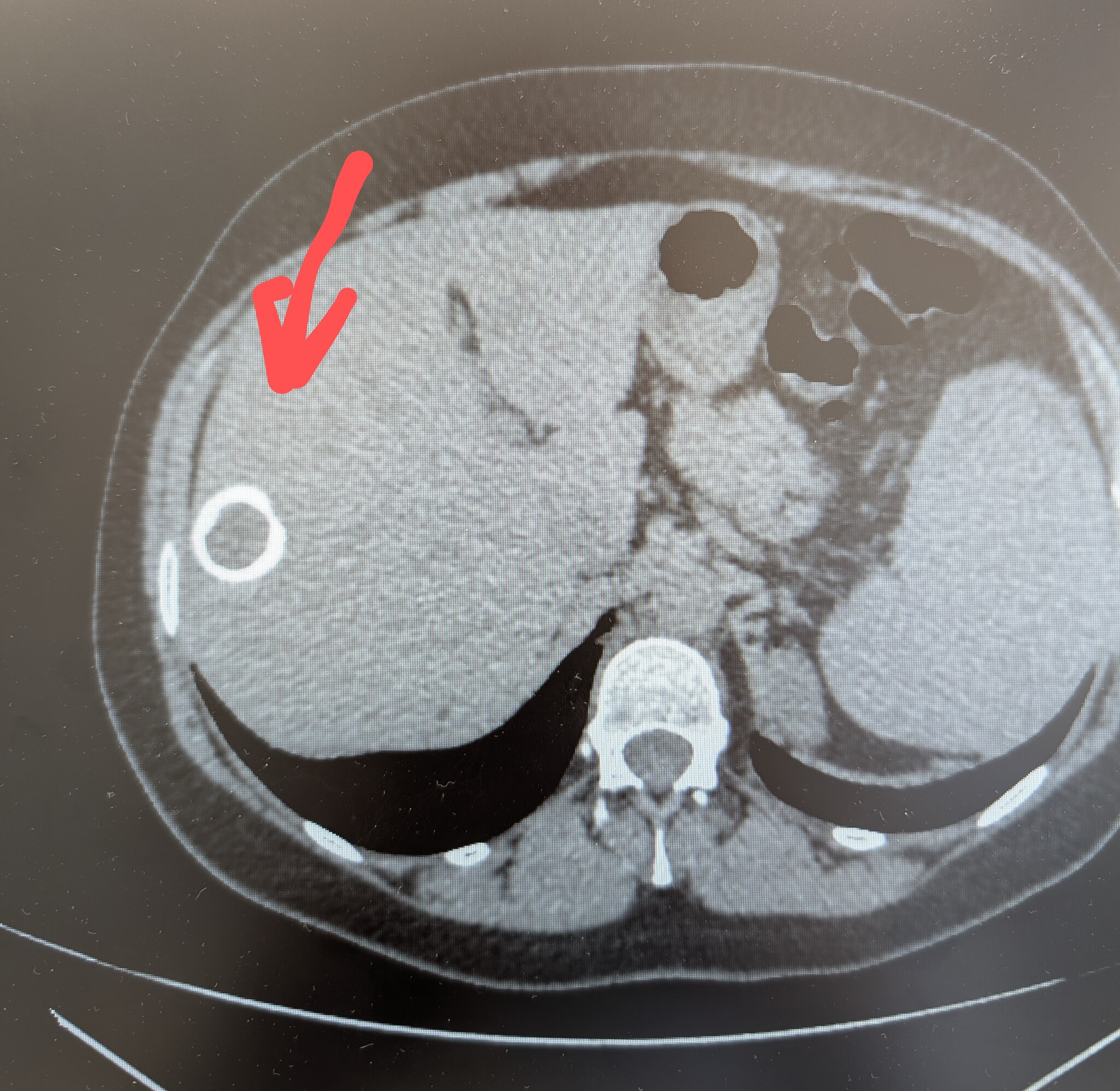
Кисты в лёгких, естественно, никуда не делись. В брюшной полости нечто (липома?), в шейке матки ещё одно нечто. А в печени вот такая красота:
Дальше, с подозрением на эхинококкоз печени, за дело взялись инфекционисты и хирурги.
В апреле 2025 пациентку благополучно прооперировали, и таки да, это был эхинококк:
Сейчас пациентка принимает альбендазол (противоглистный препарат) и будет принимать не менее 1 года, каждый день.
Параллельно с паразитарной историей пациентка была проконсультирована пульмонологом из НИИ пульмонологии. Остаётся подозрение на гистиоцитоз и лимфангиолейомиоматоз.
Для постановки окончательного диагноза необходимо провести биопсию лёгкого и морфологическую верификацию. Но, в связи с недавней операцией на печени, было решено отложить эту идею (пока до октября).
А ещё у неё, скорее всего, бронхиальная астма.



