Московская медицина. Часть 4
Ссылка на первую часть: Московская медицина
Ссылка на вторую часть:
Ссылка на третью часть:
24.01.2024
Проснувшись стал звонить в ГКБ им. Логинова (ГБУЗ МКНЦ им. А. С. Логинова ДЗМ).
Извиняюсь за возможно неправильные сокращения этих многоуважаемых организаций, но суть наверное не в том, какое многобуквенное сокращение имеет то, или иное заведение.
Начал звонить примерно с 15 с лишним часов. Не хочется выдумывать, но вроде как сначала трубку брал другой врач, просила подождать, я просил передать, что МРТ сделано и необходимо заключение - будут ли проводить лучевую терапию с учётом последнего обследования. Вроде как попросили перезвонить через какое-то время.
Примерно в 17 часов был продолжительный разговор (на 5 минут), в ходе которого врач сказала, что к сожалению прогрессия с момента первого МРТ (от 29.11.2023) неутешительная и с учётом размеров образования проведение лучевой терапии также может быть негативным. Помню, что сказал что-то в роде - "Ну вот как смогли сделать, так и сделали новое МРТ. Вот так оно всё медленно работает", на что получил ответ - "А от меня Вы что хотите?". Хотелось сказать - "Чтобы вы человека вылечили, вот что я хочу!". Но не стал.
Сказала, что заключение можно будет забрать на ресепшене следующим утром и с ним ехать к онкологу в Боткинскую, чтобы думать о том, что делать дальше.
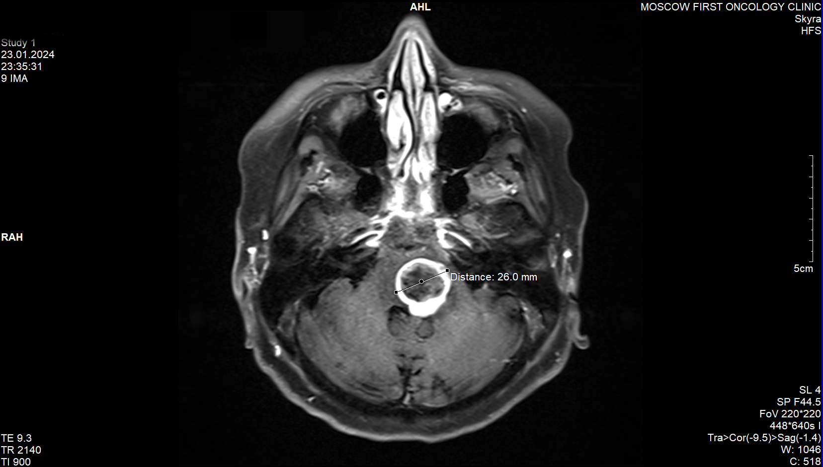
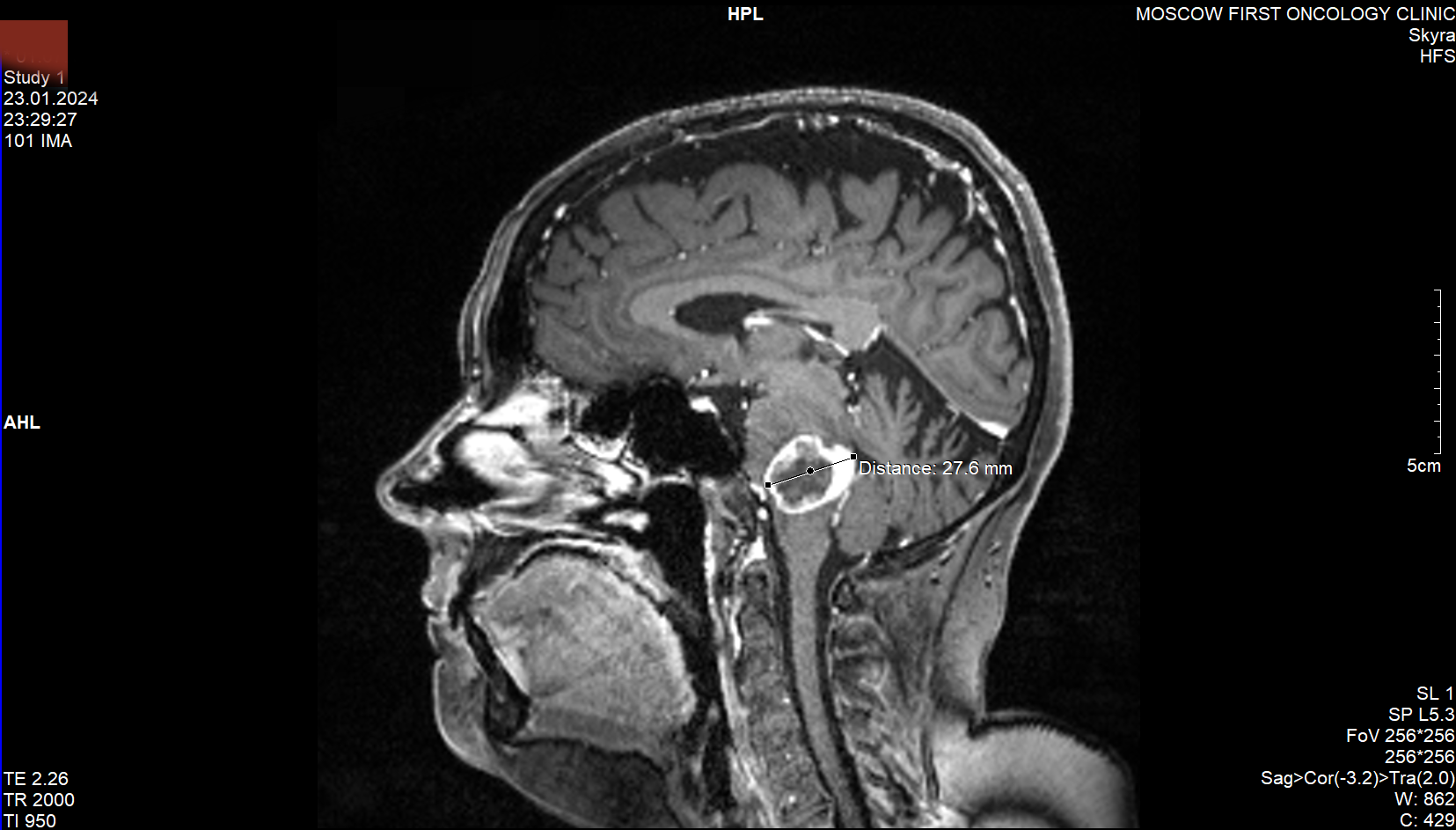
Скриншоты для наглядности прилагаю. 1я картинка - КТ.
Вторая картинка - МРТ с отметкой, как я понимаю, повреждённых тканей. Удивительно, что такое большое пространство отмечено.
3,4я картинки - первое МРТ без специфических обозначений.
5,6я картинки - второе МРТ.
25.01
~11:06 приехал в ГКБ им. Логинова.
~11:13 на ресепшене радиотерапии сказал, что надо забрать заключение.
Заключение - писанина на листе А4 с двух сторон. Каждый раз удивляюсь всеобъемлющей осведомлённости врачей при написании эпикризов/заключений (сам бывал в стационаре). И давление взглядом измерят и укажут, что в экзотических странах за последние полгода не бывал, наверное мысли читают. И живот при визуальной пальпации оценят. Никогда не понимал, зачем это пишут. Если обязательно это надо писать, то возможно и обязательно надо делать процедуры? А если нет, то зачем вообще писать? Сидеть и что-то выдумывать. А если написано, что всё хорошо, а на самом деле нет (но это не проверили), не может это отразиться на адекватности заключения (Риторический вопрос)?
Как бы то ни было, заключение было следующим (текст сохранён): "По данным МРТ головного мозга с к/у от 24.01.24 пло сравнению с МРТ от 29.11.23- увеличение размеров очага в стволе головного мозга до 2, 6х2, 5х2, 4см (ранее-1.3х1.6х1.5см)... Рекомендована консультация онколога на предмет назначения лекарственной терапии (темозоломид± бевацизумаб). Врач-онколог. На предварительном заключении та-же фамилия значилась за "врач-радиотерапевт". Но это, наверное, не важно.
~11:23 поехал к маме. Объяснил ситуацию.
У каждого свои, индивидуальные отношения со своими родителями. Кто-то относится к ним, как к друзьям, кто-то как к врагам. Кто-то их очень сильно любит. В моём случае сказать, что я заливался соплями - ни сказать ничего.
~14:00 поехал в Боткинскую. На приём к дежурному онкологу.
~15:40 сел с талончиком у кабинета
~16:07 зашёл. Показал заключение. Он сказал, что несмотря на то, что там написано о рекомендации онколога, он не может дать направление на химиотерапию и нужно обращаться к заведующему дневного химиотерапевтического стационара.
Должен сказать, что по ощущениям, этот дежурный онколог (к которому я попадал не первый раз), наверное единственный, к которому не стало развиваться отвращение во всей Боткинской. Возможно ещё нейрохирурги из начала истории.
~16:15 был за дверью заведующего химиотерапией. Постучал. Раз, два, три. Насколько помню - ни ответа, ни привета. Но какие-то голоса за дверью были слышны. Смотрю на записку на двери.
Первая мысль - "Наверное как же довели вот эти, непонятно ходящие туда-сюда, со своими вопросами, раз пришлось аж целую памятку порядка хождения написать". Потом думаю - "наверное на консилиуме?". Как говорит один известный Татьяныч - "Верстали полные... Некомпетентности", но зацепок других небыло. Хотя не понятно, кто в кабинете тогда жужжит. Подхожу к стойке администратора. Да нет, говорят. У себя. С консилиума вернулся. Ждите. Жду в "мягкой зоне для ожидания". Очень изредка только кто-то из врачей пробегал внутрь.
~17:35 из кабинета выходит тётя-врач, заглядываю я.
-"Ждите, я позову".
~17:47 всë же оказываюсь внутри. И начинается ещё одно объяснение основных моментов, передача для ознакомления заключений, в том числе онколога-радиолога из Логинова. Но тут уже, как я понимал, или делать химию, или не делать уже ничего.
Зав. позвонил уже известному онкологу-бывшему радиологу. Ну и разговор был примерно "Еë знаешь? Да, надо направить. Добавим её в группу, да".
Дело в отношении, что на тот момент я уже был вымотан невероятно. Опять же - постоянные волнения, переживания, беготня за этим, за тем. Держать в голове "Что, куда, когда, какая запись, какие анализы ещё нужны, не просрочились ли эти, или те", почти полное отсутствие сна. Работу опять-же никто не отменял. Всё это создавало такое внутреннее давление, что дни ощущались неимоверно долгими и в то же время неимоверно короткими.
Разговор был довольно продуктивным и многообещающим. Зав. сказал, что на данный момент записать на саму процедуру не может, но может дать направления на анализы перед самой процедурой для того, чтобы иметь возможность её провести. И как УСЛЫШАЛ Я, всё должно будет произойти в один день. И анализы и курс химии. В глубине я удивился, ведь анализы как правило моментально не делаются, но не стал уточнять этот вопрос. Наверное в надежде на какое-то чудо.
~18:05 ушёл.
~ в 20:00 приехал в поликлинику. Вроде как забирать анализы от 19го (УЗИ вен нижних конечностей, простого УЗИ).
26.01
9:45 приём у онколога-бывшего радиолога. Поехал отец и мама. Направдение на анализы дали. И даже сделали в этот же день. Попросил узнать о самой химии. Оказалось, что не сегодня. Как я и написал выше, разумом я понимал, что навряд ли всë случится в один день, но был взбешён. Вчера я УСЛЫШАЛ другое. Отец поднялся к заву. химии, ему сказали, что всё помнят и запись будет в ближайшее время. Еще сильнее был расстроен из-за того, что снова надо будет возить человека не в самом бодром состоянии туда-обратно. Ведь ещё с момента нашей поездки в ГКБ Логинова в начале месяца, по возможности передвигались уже в кресле-каталке. Насколько помню, в тот день взяли биоматериалы, сделали ЭКГ. УЗИ уже было, ведь на тот момент готовились к радиотерапии и также проходили заранее обследования, чтобы не терять времени. Как я и говорил, трудно вспомнить всë, помимо основных событий. То и дело всплывают какие-то обстоятельства, про которые можно было бы упомянуть, но на момент написания ты про них не помнишь.
Однако вспомнил разговор, когда мама рассказывала про это посещение. Делились впечатлениями - что, где и как выглядит. Сошлись на мнении, что весь тот ремонт, который устраивают в больницах, поликлиниках выглядит абсолютно непрезентабельно. Лучше конечно, чем облупившаяся краска с побелкой, но вызывает недоумение. А логика открывать в каждой открывшейся после ремонта поликлинике кофейню - мне вообще недосягаема. Вроде поликлиника, больница - это медицинское учреждение, а не жральня. И как-то странно открывать заведение общепита в месте, куда концентрированно приходят люди с кашлем, гепатитом, опостылевшем коронавирусом и тд. Как это работает? На расстоянии пяти метров одни едят пончики с кофе, а другие кашляют и чихают? У людей в плохом самочувствии могут быть обострены рецепторы восприятия и резкое неприятие к тем-же запахам. Даже у меня самого начинала болеть голова на первом этаже онкологического крыла в Боткинской при постоянном зловонии кофе. По моему мнению тот, кто это придумал - полнейший идиот.
Но маме горячий шоколад после процедур понравился.
27.01
Несмотря на какие-то продвижения, внутреннее напряжение росло и росло. Вспомнилось сообщение мамы от начала месяца, когда она прислала фото горячей линии избирательного штаба Путина (какраз на носу был избирательный процесс) и написала - "Надо туда позвонить, может хоть там помогут". Саму идею я никак не прокомментировал в тот момент. Ну позвоню и позвоню, а как это повлияет? Прилетит волшебник на голубом вертолёте?
Но в тот день хотелось что-то сделать. Как-то помочь. И все-таки решил позвонить. После нескольких секунд гудков меня поприетствовал (судя по голосу) молодой человек и спросил, в чем заключается мой вопрос. И я ответил - "Я бы хотел узнать, почему медицинское обслуживание в городе Москве устроено таким бездарным образом". И рассказал общую историю. Госпитализация, невозможность оперативного и целенаправленного лечения. Два месяца беготни и консультаций, а фактического продвижения - ноль. Меня переспрашивали, уточняли, поблагодарили за звонок. Не знаю, какого результата я хотел добиться. Наверное, высказаться. Как и сейчас. Понимаю, что далеко не первый звонил туда и рассказывал свои наболевшие проблемы.
Примерно такой же вопрос задал через "портал мэра" в Департамент Здравоохранения города Москвы. Ответ может быть и пришёл, но даже желания читать пустую отписку (а я даже не сомневаюсь, что она именно такая), желания не появилось до сих пор.
29.01
~9:53 приехал в Боткинскую на приём к онкологше. Попросил написать некое заключение с её стороны для приёма 02.02 в Бурденко. Изложить ситуацию как она её видит, получить направления к их специалистам. Ещё раз описал ситуацию состояния мамы. Врачиха сказала, что хотела бы с ней снова пообщаться, на что я ей сказал - "Она тоже имела такое желание при первой встрече. И очень расстроилась, когда Вы бросили на неё короткий взгляд, а потом будто даже не слушали и просто направили к нейрохирургу". Попросила ещё внести справки и заключения в электронную мед.карту на ресепе 2го этажа.
Оттуда поднялся к зав.химией. на этот раз без долгих ожиданий. Честно, в тот момент хотелось высказать эмоции про вчерашний день - "почему не начали сразу химиотерапию?!", но понимая, как это глупо будет звучать - не стал. Просто спросил - "Когда же все-таки ожидать первой процедуры и не придётся ли снова ездить, сдавать кровь, анализы и тд. и проходить всё по кругу". Получил ответ, что на завтра есть свободное место и на данный момент все необходимые анализы есть. Надо спуститься на первый этаж, подойти к специальной стойке регистрации и записаться там. Спустился - записался.
~11:05 уехал.
30.01
~8:40 Брат с отцом поехали в Боткинскую вместе с мамой. Дабы помочь в передвижении, решить какие-то возможные вопросы. Я оставался на связи, потому что в основном я занимался всеми этими делам и был более-менее в курсе - что, как, куда. Оказалось, не зря они поехали вдвоём.
Дневной стационар для проведения химиотерапии был назначен на 10:40. Приехали пораньше. И тоже, как оказалось, не зря.
В 11:30 только зашли в процедурную. И потом брат поведал целую историю, почему. На это утро была запись к онкологше из начала истории для написания рецепта и получения препарата для проведения химии. Рецепт выписали. Брат пошёл в другой корпус в аптеку его забирать (на другом конце территории Боткинской). Отец остался с мамой. Придя в аптеку ему сказали, что рецепт написали неправильный. Льготу указали неверную и прописали скидку в 50%, посоветовали переделать на бесплатный. Брат позвонил отцу, тот пошёл на ресепшен онкологии - узнавать. Несколько раз звонили они друг-другу. Один находясь в корпусе онкологии, другой в аптеке. Если честно, все истории с этой "врачихой" выглядят как какой-то подлог.
В конечном итоге получилось им решить этот вопрос и брат забрал препараты. Авегда биокад 2х100 мг (4мл), 1х400мг (16мл). Сам препарат вливали 1,5 часа.
Во время процедуры отец вышел перекурить. И по возвращению застрял в лифте онкологического корпуса. С лифтами одни проблемы.
По рассказу, ощущения во время процедуры весьма специфические. Ощущение жара, разливающегося по венам. Перед процедурой санитарка сказала какие-то подбадривающие слова в духе "бодро выглядите", но воздействие это произвело противоположенное. По словам мамы, она так долго ждала начала уже хоть чего-то, что боялась даже ответить что-то в ответ, вдруг скажут - "Ну у Вас вроде всё нормально" и отменят все процедуры. По окончании ей сказали, чтобы она не забыла записаться на повторное посещение через две недели. Отцу сказали примерно тоже - 13го Февраля приезжать.
31.01
~17:35 снова приехал в Боткинскую. На приём к онкологу, у которого никогда до этого небыл. Уточнить вопросы, какие анализы снова понадобится сдавать перед второй процедурой (выйдут ли сроки), надо ли будет снова утром записываться на получение рецепта, или можно получить сейчас. И когда, собственно, вторая процедура будет. Т.к. до сего момента он не общался ни со мной, ни с мамой, разговор был сухой. Какие-то анализы надо будет сдать, какие-то нет. Рецепт выдаётся в день процедуры, запись на новую процедуру открыли. А вот вопрос проведения встал ребром. Он упомянул, что вторая процедура будет 20го. Я помнил разговоры, что доза химии большая и необходим период в 3 недели между ними. Вспомнил, что говорили про 13е. В общем - несостыковка. Подошёл на стойку записи на химиотерапию и записал на 20е.
Вопрос времени проведения засел в голове. Ещё и учитывая, что этого онколога я вижу первый раз. Но на тот момент была мысль разобраться чуть попозже, некое эмоциональное облегчение всё же наступило.
По ощущениям мамы (возможно это самовнушение), ей также стало полегче. Стало получаться концентрировать свой взгляд, шумы стали меньше, даже появилась некая бóльшая подвижность в рамках возможного. Уколы, таблетки продолжали колоться и питься.
02.02
~11:35 приехал на консультацию в Бурденко к нейрохирургу 7го отделения. Диски, эпикризы, анализы - взял с собой всё.
~11:52 оказался на приёме.
Снова объяснил ситуацию. Он посмотрел заключения других врачей. Сказал, что нужно продолжать консультации врачей, который назвал ещё нейрохирург Бурденко до него. Дошли до диска новейшего МРТ и он передумал. -"Нет. Я думаю консультации Радиотерапевта не нужны".
Я сказал, что химию уже проводят, но уточнил про теоретическую возможность лучевой терапии. Сказать он не может, но маловероятно, чтобы кто-то взялся. Я спросил про перспективы. Ответ уклончивый. И я его могу понять - в таких случаях что-то обещать или прогнозировать дело очень неблагодарное.
В 12:04 покинул кабинет.
05.02.
~8:40 приехал в Боткинскую. Все-таки разъяснить ситуацию с проведением химиотерапии. Уточнить, какие анализы надо будет сделать, какие переделать, чтобы небыло внезапных сюрпризов. Возможно ли подать направления в какие-нибудь другие центры радиологии - может они займутся. И почему рецепт выписали "не так".
На приëм к онкологше попал в ~8:57. В ~9:04 вышел.
Поднялся к заведующей отделения по этим же вопросам. Десять минут подождал, пять минут поговорили. Все-таки следующая химия - 20.02. Всё подтвердили.
~9:23 уехал. И поехал к маме.
В этот период ощущения у мамы были странные. То ей казалось, что становится лучше, то чуточку хуже. Естественно шутили, друг-друга подбадривали. В один день у неё резко поменялись ощущения. Гудящий железный шум в ушах исчез. Как и исчезло ощущение онемения правой половины тела, про которое я писал в самом начале. Которое было, по описанию, будто ты долго сидел и нога покрылась сильно облегающей сеткой. "Затекание", у каждого такое наверное бывает. Появилось ощущение... ничего. Вся правая половина тела от макушки до кончиков пальцев ног стала абсолютно неощутимой. При этом, расслабления мышц не произошло, как бывает при инсультах и часть лица будто обмякает. Внешне всё было вполне нормально, с учётом всего происходящего.
07.02.
~0:45.
Общались "о том, о сëм". Рассуждали - хорошо, или не очень, что появились такие новые "ощущения". Мама подняла разговор, что " Ещё чуть-чуть потерпеть и на вторую процедуру поедем". Она запомнила слова акушерки (санитарки, или кто там был во время первой химиотерапии) и ждала 13го Февраля.
Учитывая ситуацию, я не видел смысла "утаивать", что химия будет 20. О чем ей и сообщил. Сказал, что несколько раз ездил к врачам, специально уточнял дату и все сказали, что - "Да, доза большая и мы хотим чтобы организм адаптировался и имел больше времени на восстановление".
Несмотря на то, что я старался её проинформировать как можно более подбадривающим тоном и даже соглашался "Да, организму действительно надо всë " переработать"" выражение лица, удивление и даже оттенок отчаяния я не забуду. Как и комментарий, что она еле держится и ждала неделю а тут, оказывается, ещё две недели ждать.
Легли спать.
~02:04
Я услышал стон из соседней комнаты и просьбу подойти. Лицо было красное, щëки просто горели. Она сказала, что чувствует непереносимую боль в левой ноге. Я помог поудобнее устроиться на постели, попытался помассажировать место, где болит, но становилось только хуже. Изначально я подумал, что это спазм мышцы, который изредка случается и у меня самого, когда помогает только резко встать и постоять пару минут. Попытался еë поднять, но она ни в какую этого не могла сделать. Попросила вызвать скорую. Сняв тёплые носки, чтобы как-то уменьшить стеснение ноги ниже щиколоток был удивлëн тем, что обе ноги абсолютно бледные и тут дело явно не в спазме мышц.
В 2:23 скорая уже приехала.
Быстрые вопросы и ответы. Краткое описание про опухоль, бесчувствие правой части тела, прохождении химии недавно, непередаваемой боли в ноге. Вкололи обезболивающее. Затем спросили - "вы госпитализироваться будете?" -"Конечно, да", ответил я.
Даже с помощью, встать на ноги она не могла. Просто взять и понести мы с братом тоже были не в состоянии. Специальных носилок "на всякий случай" дома нигде припрятано небыло, а на вызов приехали две скромного телосложения женщины. Вызвали МЧС. Фельдшер предложила найти помощь для переноски "со стороны". Позвать соседей, или кого-то с улицы. Но кто, скажите, будет шляться по улице в 2:50 в Феврале? Пару "праздных" в окно я приметил и только. Соседи - бабушки, девушки, мигранты, которые скорее подумают, что это полиция к ним ломится.
Оставалось ждать МЧС. Впрочем, не долго. ~в 2:57 машина МЧС приехала. Трое, крепкого телосложения мужчины, со специальными носилками смогли начать переноску. Лифт обычный, не грузовой, но в этот рад хотя-бы работал. Кое-как уместившись в нём, поехали вниз. Я побежал по лестнице. На первом этаже к помощи подключился водитель скорой, положили на носилки. И лично я им выразил огромную благодарность, но если вы читаете - спасибо вам всем большое ещё раз.
~в 3:10 сели в скорую и поехали. В дороге сознание мама не теряла. Просила то поднять ногу, то опустить. Несмотря на обезболивающие уколы, боли продолжались.
~в 3:25 приехали во Флагманский центр ГКБ №15.
Вопросы "что, как, почему" отвечены, ~в 3:30 увезли в реанимацию.
То что вокруг происходило, не совсем давал понять мозг. Как я писал стресс, переживание, сон урывками давали о себе знать. Чувствовал себя просто функцией. Просто опустошение. И несмотря на то, что глубоко внутри переживания были, ощущения были будто в трансе.
Ожидал, что выйдет врач и скажет - что происходит. Подходил на ресепшн к дежурному врачу, спрашивал, что происходит. Объяснял в общих чертах состояние, что необходимо принимать дексаметазон, дабы небыло отëка головного мозга и тд. Меня попросили ожидать. Ожидал.
Примерно в 6 часов утра вышел врач, попросил пройти в переговорную комнату и начал объяснять, что вообще происходит.
Как оказалось, в обеих ногах нашли тромб. В одной - артериальный, в другой венозный. В какой - какой сейчас не вспомню. Один должен рассосаться медикаментозно, со вторым будет операция в ближайшие сроки. "Если бы вы ещё денëк подождали, пришлось бы ампутировать", сказал он мне. "А ещё у неё пневмония, поэтому она так тяжело дышыт, с одышкой". Тут уже я перестал понимать - какая пневмония и откуда она взялась? В последние недели да, дышала глубоко, но я считал что из-за общего, не совсем нормального состояния. Нигде ведь не мёрзла, была дома, под одеялком.
Спросил, как у неё могли оказаться целых два тромба, если недавно делали УЗИ ног и ничего не нашли? Могла ли химиотерапия как-то повлиять на их образование? Врач ответил, что тромб мог быть в области таза и "спуститься". А химия могла повлиять на образование другого (которые - не помню), но это маловероятно.
Врач сказал, что отправляется готовится к операции. Через некоторое время меня позвали и отдали вещи. Ещё раз подошёл на ресепшн и напомнил дежурному врачу про дексаметазон.
~6:46 уехал.
Все последующие дни следил за тем, что назначают и какие процедуры проводят по электронной мед.карте. А делали, по крайней мере по отчётам, много чего.
8 или 9 числа звонил на горячую линию больницы, чтобы узнать состояние. Без подробностей, но сказали, что состояние тяжёлое и мама до сих пор в реанимации. Попросил поговорить с врачом. Сказали, что сейчас все заняты. Я и не настаивал - наверное мало времени врачам в реанимации на телефонные разговоры. Пусть лучше работают.
Затем позвонил числа 10, или 11. Оператор сказала, что соединить с врачом не может, сейчас только дежурные врачи (выходные дни), но можно оставить заявку и перезвонят в понедельник, 12го.
В эти дни зашёл в мед.карту и увидел, что аппарат искусственного дыхания отключили. Видимо после операции она была на нём. Дексаметазон, вроде как, под капельницей ежедневно вводят.
12.02
~13:00 из больницы звонит, насколько помню, заведующая реанимацией. Сказала, что состояние тяжёлое. В основном спит. Врачи не могут понять, когда она приходит в режим бодрствования - понимает ли она их речь и происходящее вокруг. Только иногда поднимает руку.
Я вспомнил, как советовал ей разрабатывать "онемевшую" руку, чтобы она сжимала-разжимала эспандер для поддержания мышечного тонуса.
Спросил, может ли быть проведена химиотерапия, ведь она назначена на 20е число. Конечно получил ожидаемый ответ, что в таком состоянии об этом не может быть речи.
Несмотря на то, что врачи не могут понять осознанность еë действий и восприятия окружающего, попросил передать, что "Мы очень еë любим и очень сильно за неë переживаем".
Доработать я в тот день просто не мог. Придя домой стал думать, как получить возможность еë навестить. Побыть рядом. Хоть и понимал, что в реанимацию не пускают. Зашёл на сайт больницы, чтобы найти телефон главврача и позвонить по этому вопросу. На сайте красовалось объявление, что вообще все посещения ограничены по причине коронавируса и общей обстановки распространения ОРВИ.
13 Февраля.
Придя домой после работы, пытался отвлечься от всего происходящего. От мыслей, домыслов, перебороть усталость.
Но всёравно думал - что значит слово "Держаться", которое мама сказала перед тем, как она 7-го стала жаловаться на боль в ноге? Она и раньше эту боль ощущала но боялась сказать, потому что госпитализируют и второй химии не будет? Или она думала что это побочный эффект, пока не стало непереносимо больно? Почему не реагировала на врачей в реанимации? Понимала, но не могла ответить? Или могла, но не хотела тратить силы? Почему поднимала руку? Это было неосознанно, или старалась следовать моим советам?
В 18:46 очнулся телефон. Незнакомый и неопределённый номер. Городской. Как правило если не ожидаю звонка, я игнорирую неизвестные номера или даже не обращаю на них внимания, так как звук всегда выключен. Но тут увидел загоревшийся экран телефона и после пары секунд промедления решил ответить.
На той стороне трубки удостоверились что говорят с тем, с кем надо. И после нескольких фраз я понял что случилось то, чего я 28-27 лет назад просил не совершаться. Когда мне было 5-6 лет. Когда ей было 27-28. - "Мам, я не хочу, чтобы ты умерла" и не спал всю ночь из-за этого.
А теперь мне сказали, что мамы больше нет.






