Гидронефроз
Гидронефроз
Что такое гидронефроз?
Это заболевание почки, возникающее вследствие стойкого нарушения оттока мочи, характеризующееся атрофическими изменениями ее паренхимы и снижением ее функции.
(Паренхима — простыми словами это совокупность клеточных элементов органа.)
Если нарушение оттока мочи происходит внезапно (например, вследствие закупорки мочеточника камнем), то развивается почечная колика, характеризующееся интенсивным болевым синдромом. Гидронефроз же развивается вследствие не выраженного, постепенного и длительного нарушения пассажа мочи, отчего болевой синдром чаще всего отсутствует.
Пиелокаликоэктазия и гидронефроз?
Пиело(калико)эктазия в переводе на русский язык обозначает «расширение лоханки (и чашечек)» почки. Это симптом, выявляемый при УЗИ, КТ и других визуализирующих методиках. Этот термин не характеризует наличие/отсутствие изменений паренхимы почки. В то время как гидронефроз - это состояние, и обозначает как расширение чашечно-лоханочной системы, так и атрофию почечной паренхимы. Иногда можно услышать «гидронефроз почки», что является тавтологией, поскольку nephros переводится с греческого как почка. И вместо «гидронефроз правой почки» грамотнее будет сказать «гидронефроз справа»
Причины
Как уже было сказано, причиной гидронефроза является длительное нарушение оттока мочи из почки. Нарушение оттока мочи может быть обусловлено препятствиями, которые могут располагаться
1) в мочевом пузыре и мочеиспускательном канале;
аденома простаты, сужение (стриктура) мочеиспускательного канала
2) располагающиеся по ходу мочеточника, но вне его просвета;
чаще всего на мочеточник давит извне нижнеполярная добавочная артерия почки (часто в молодом возрасте), также мочеточник может быть сдавлен кистой почки, опухолью, лимфатическим узлом, рубцовой (фиброзной) тканью. Мочеточник может быть случайно перевязан при оперативных вмешательствах, что, к сожалению, встречается чаще, чем хотелось бы, а также может быть сдавлен сосудистым протезом при аортокоронарном бифуркационном шунтировании.
3) находящиеся в просвете мочеточника;
камни и опухоли мочеточника
4) возникающие вследствие отклонения положения и хода мочеточника;
ретрокавальное и ретроилиакальное расположение мочеточника, его перегиб и перекручивание,
5) возникающие вследствие каких-либо изменений в стенках мочеточника и лоханки.
уретероцеле, дисплазия стенки, врожденные клапаны
Последствия
Нарушение оттока мочи независимо от вызвавшей его причины приводит к развитию типичных изменений в почке и верхних мочевых путях. Длительное расширение чашечно-лоханочной системы приводит к нарушению циркуляции мочи и крови в клубочках, что в итоге приводит к нарушению кровотока в паренхиме почки, ишемии, в конце концов, к атрофии почечной паренхимы. (Ишемия - уменьшение кровоснабжения участка тела, органа или ткани вследствие ослабления или прекращения притока артериальной крови.) На поздней стадии гидронефроза почка представляет собой расширенный истонченный мешок с жидкостью. Такая почка не функционирует и может создавать большие проблемы, например, в такой почке легко развивается инфекция и нагноение (пионефроз).
Двустороннее поражение почек приводит к тяжелым последствиям - к хронической болезни почек. Кроме того, ишемия почки приводит к увеличению артериального давления (нефрогенная артериальная гипертензия).
Симптомы
Как уже было сказано, на начальных стадиях симптомы могут быть отсутствовать вовсе. Болевой синдром при гидронефрозе незначительный, и может быть представлен чувством тяжести или дискомфорта в пояснице. Боль ноющая, может быть постоянной или волнообразной. Иногда в анализах мочи обнаруживается кровь (не забываем об онкологической настороженности при обнаружении крови в моче). Нарушение оттока мочи создает предпосылки для роста камней, а также развития инфекции в почке, потому пациенты с гидронефрозом могут жаловаться на частые обострения пиелонефрита. Гидронефроз может осложняться повышением артериального давления.
Диагностика
Включает в себя сбор жалоб, анализы мочи и крови, УЗИ почек и мочевого пузыря, экскреторную рентгенографию почек, иногда ретроградную уретеропиелографию, КТ почек, а также динамическую нефросцинтиграфию для уточнения функции сохранившейся паренхимы.
Чаще всего расширение чашечно-лоханочной системы обнаруживается при выполнении планового УЗИ или обследовании по поводу других заболеваний.
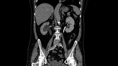
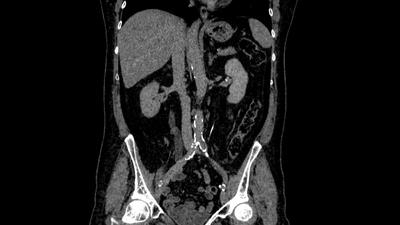
Наиболее информативное КТ с контрастированием: показывает степень расширения, уровень обструкции, функцию почек.
Лечение
Хирургическое. Зависит от стадии гидронефроза. Если по данным исследований выявлено, что почка не функционирует, и проблем от такой почки больше, чем пользы, то её лучше удалить. При относительно сохранной функции почки оперативное лечение направлено на устранение причины нарушения оттока мочи. Если стриктура располагается на уровне чашечно-лоханочного сегмента, то выполняют пластические операции (по Хайнсу-Андерсену, Кальп-де-Вирду). Если сужение выявляется в нижних отделах мочеточника, то выполняют иссечение суженного участка с пересадкой мочеточника в мочевой пузырь (уретероцистонеоанастомоз), при этом если дефект мочеточника слишком большой, то недостающий дистальный участок мочеточника замещают лоскутом из мочевого пузыря (операция по Боари), или подтягивают мочевой пузырь к поясничной мышце (psoas hitch). Такие операции чаще всего выполняются с установкой мочеточникового стента, который необходимо удалить через 1-2 месяца через мочеиспускательный канал.
Возможно также дренирование почки установкой нефростомы. Это трубочка, которая устанавливается через прокол на теле прямо в почку, отводящая мочу. Такую операцию выполняют при остро текущих воспалительных явлениях, когда пластическая операция противопоказана, при невозможности восстановить отток мочи иным способом (например, при прорастании опухоли шейки матки в мочеточник), у пожилых, ослабленных больных с тяжелой соматической патологией, которые не перенесут иного оперативного вмешательства.
Прогноз
Благоприятный, у больных с односторонним гидронефрозом, при условии своевременного оперативного вмешательства; неблагоприятный, при двустороннем гидронефрозе из-за риска развития хронической почечной недостаточности.
PS
Необходима консультация специалиста, данный пост лишь краткий экскурс в проблему гидронефроза. По возможности, постараюсь ответить на все вопросы в комментариях. Берегите себя.









Все о медицине
14K поста41.6K подписчиков
Правила сообщества
1)Не оскорбляйте друг друга
2) Ув. коллеги, при возникновении спора относитесь с уважением
3) спрашивая совета и рекомендации готовьтесь к тому что вы получите критику в свой адрес (интернет, пикабу в частности, не является медицинским сайтом).