Darth.Malgus
32К
рейтинг
257 подписчиков
71 подписка
259 постов
28 в горячем
Награды:
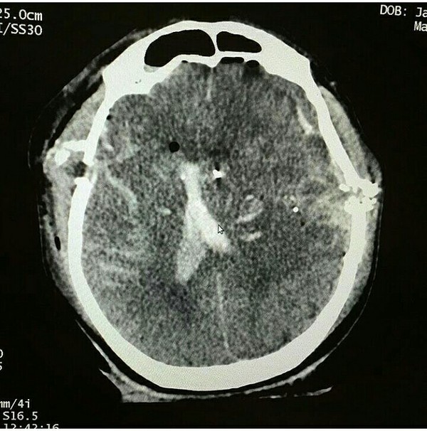
Любовник Фортуны.
Пистолетная пуля 38 калибра прошла сквозь черепную коробку, не задев жизненно важных центров. Опасность при пулевых ранениях представляет не столько раневой канал, сколь контузия окружающих тканей. Данному пациенту повезло, пуля прошла на высокой скорости и не "виляла". Таким образом его шансы на выживание весьма высоки.
Показать полностью
1





