Здравствуйте. В качестве вступления – несколько общих фраз из области стоматологической анатомии.
Норма для здорового зрелого человека – 32 постоянных зуба. Врачи условно делят эти зубы на четыре части, по принадлежности к правой или левой стороне верхней или нижней челюсти. Каждая из «четвертинок» содержит 2 резца – медиальный (центральный) и латеральный (боковой), 1 клык, 2 премоляра (малые коренные зубы) и 3 моляра (большие коренные зубы, третий из которых зуб мудрости).
Врачи-стоматологи за каждым зубом закрепили определенное число, для вычисления которого используются две методики. Согласно первой «зубной формуле» оно может быть однозначным и соответствовать порядковому номеру зуба от центра челюсти, то есть медиальный резец – №1, а зуб мудрости – №8. Второй способ предполагает двузначное число: к порядковому номеру добавляется цифра от 1 до 4, обозначающее ту зону, где растет зуб. Так что, услышав от врача что-то про свой тридцать пятый премоляр или сорок шестой моляр, не паникуйте.
Так выглядит стандартная стоматологическая формула:
Вот таким образом она выглядит в полости рта:
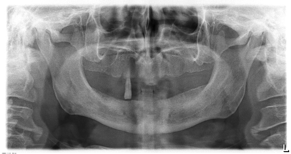
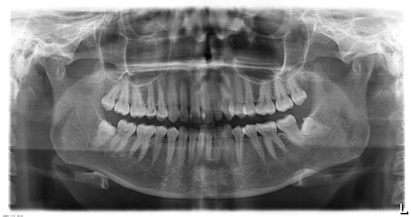
На обзорной рентгенограмме (ОПГ или ОПТГ - ортопантомограмма) это выглядит вот так:
К случаям как на последней картинке мы ещё неоднократно вернемся, а пока давайте рассмотрим такое явление как кариес.
Кариес коварен тем, что поначалу не вызывает серьезной обеспокоенности со стороны человека. На ранней стадии он не причиняет беспокойства и у пациента складывается впечатление о несерьезности заболевания.
Так точно. И лишь когда пораженный зуб начинает болеть, большинство обращаются к стоматологу за помощью. А лечить последствия в запущенной стадии гораздо сложнее, чем вылечить начальный кариес.
Несмотря на кажущуюся простоту, кариес — сложное и опасное заболевание. Без своевременного лечения он грозит полной потерей зубов — поражая эмаль, болезнь постепенно проникает вглубь зуба, поражая дентин и вызывая его полное разрушение. Если на этом этапе развития болезнь не вылечить, поражение может проникнуть очень глубоко в зуб и вызвать серьезные осложнения.
Для понимания проблемы, давайте рассмотрим строение зуба.
Рассмотрим подробнее, чем опасны кариозные поражения зубов и каковы могут быть последствия без надлежащего лечения.
Кариес коварен тем, что поначалу не вызывает серьезной обеспокоенности со стороны человека. На ранней стадии он не причиняет беспокойства и у пациента складывается впечатление о несерьезности заболевания. И лишь когда пораженный зуб начинает болеть, большинство обращаются к стоматологу за помощью. А лечить последствия в запущенной стадии гораздо сложнее, чем вылечить начальный кариес.
Начальный кариес (так называемый, кариес в стадии пятна) часто остается незамеченным. Но если вовремя начать лечение больного зуба, то можно ограничиться щадящими методами лечения — такими, как реминерализация зубной эмали. Поэтому следует внимательно следить за состоянием своих зубов, систематически посещать стоматолога, а при первых признаках кариеса записываться на прием к стоматологу.
Кариес в начальной стадии протекает практически бессимптомно. Пораженный зуб, на первый взгляд, выглядит совершенно здоровым: он не болит, не реагирует на прикосновение, на нем незаметны внешние повреждения. По сути, начальный кариес — это процесс деминерализации. В местах поражения эмаль становится тусклой, рыхлой, теряет свой блеск, на зубе появляется светлое пятнышко. Чаще всего, поражение появляется у шейки зуба, ведь там эмаль самая тонкая и, следовательно, уязвимая перед кариесом.
Поначалу кариозное пятно сравнительно небольшое, но без соответствующего лечения оно очень быстро увеличивается в размерах. Со временем, кариозное пятно может приобретать более темные оттенки за счет проникновения красящих веществ внутрь эмали, которая к тому времени становится более рыхлой и пористой.
Чаще всего начальный кариес диагностируется у детей и подростков с ослабленным иммунитетом, поскольку снижение иммунитета ускоряет течение процессов деминерализации зубной эмали. Именно поэтому стоматологи рекомендуют после перенесенных заболеваний обязательно обращаться к врачу на предмет проверки состояния зубов. Ведь коварство этого заболевания в том, что на начальных стадиях развития заболевание протекает бессимптомно, и пациент может даже не подозревать о том, что заболел.
Пораженный зуб обычно не реагирует острой болью на температурные раздражители. Иногда встречается чувствительность зуба, которая быстро проходит. Кариозное пятно окрашивается, если на зубную эмаль нанести 2% раствор «метиленового синего», это наиболее распространенный способ диагностики раннего кариеса в случае, если у стоматолога возникли подозрения на наличие заболевания.
Врач обязательно должен прозондировать поверхность кариозного пятна, при этом пациент может не испытывать неприятных ощущений, а сама поверхность на ощупь будет несколько шероховатой.
Следует отметить, что стоматолог может диагностировать кариозное пятно, которое расположено на открытых поверхностях эмали. Если же оно расположено между зубами, то его практически невозможно заметить до тех пор, пока не образуется кариозная полость.
Для того, чтобы со стопроцентной уверенностью диагностировать начальный кариес, стоматолог должен сначала удалить с поверхности зуба налет (провести чистку), затем промыть его поверхность раствором перекиси водорода. После этого следует сполоснуть ротовую полость и высушить зуб воздухом. Участки, пораженные кариесом в стадии пятна, приобретут яркий белый оттенок и будут сразу же заметно выделяться на фоне здоровой зубной эмали.
Если кариозное пятно расположено в труднодоступном для обозрения месте и его не удалось диагностировать на начальной стадии, очень важно не пропустить раннюю стадию образования кариозной полости. Поэтому очень важно своевременно посещать стоматолога, даже если нет видимых причин для визита. На ранней стадии образования кариозной полости опытный врач сразу же заметит участки с размягченным дентином — они более шероховаты, а зонд при зондировании поверхности зуба как бы застревает на пораженном участке. При подозрении на наличие кариеса стоматолог может назначить рентген зуба.
После диагностики кариеса в стадии пятна стоматолог принимает решение о возможных способах лечения. Если удалось обнаружить заболевание в самом начале его развития, можно избежать традиционного лечения зуба и ограничиться реминерализацией зубной эмали.
Следует отметить особо, что в некоторых случаях развитие заболевания останавливается само по себе. Если у пациента от природы высокая резистентность твердых зубных тканей, развитие кариеса может остановиться на стадии кариозного пятна и не превратиться в кариозную полость.
С целью профилактики возникновения кариеса могут применяться специальные фтор-содержащие зубные пасты. Врач хорошо очищает и просушивает поверхность зубов, после чего на 15 минут накладывает аппликацию из фтор-содержащей зубной пасты, после этого поверхность зубов снова очищается.
После процедуры реминерализации зубной эмали пациентам не рекомендуется в течение двух часов после завершения процедуры принимать пищу и полоскать рот. Необходимо тщательно следить за гигиеной полости рта, чистить зубы два раза в день, используя противокариозные зубные пасты. Следует также ограничить потребление сладкой и кислой пищи и увеличить потребление молочной и растительной пищи.
В целом, заболевание характеризуется полным отсутствием симптомов, которые предупреждают о его развитии. Пациент может совершенно искренне не подозревать о наличии у него болезни. Обнаружить кариес на ранних стадиях может только опытный врач. Поэтому важно следовать рекомендациям стоматологов и посещать врача как минимум 1-2 раза в год.
Итак, к каким же неприятным последствиям может привести кариес, если его не лечить:
Возникает опасность возникновения таких грозных осложнений, как пульпит и периодонтит. Пульпит — это острое воспаление пульпы, при котором боль становится просто невыносимой. Периодонтит является воспалительным заболеванием тканей и также сложно и долго лечится. Острые формы кариеса вызывают воспалительные процессы в мягких тканях десен, а иногда и лица, и у пациента может опухнуть не только десна, но и щека. Подробнее об обоих случаях я обязательно расскажу в последующем материале, если Вас заинтересует развитие темы.
Также серьезным последствием кариеса, особенно если его не лечить совсем, является наличие постоянного источника инфекции в человеческом организме, а это чревато уже более серьезными последствиями – такими, как развитие заболеваний сердечно-сосудистой системы, а также воспалительных заболеваний суставов. Согласитесь, что все это выглядит довольно устрашающе, и гораздо проще вовремя обратиться за помощью к стоматологу.
Наличие постоянного источника инфекции во рту может привести к развитию разнообразных хронических аллергических реакций. Порой пациент и сам не может понять, на что у него аллергия, так как кажется, что организм реагирует буквально на все. И каково же удивление пациента, когда оказывается, что причиной аллергии является банальный кариес!
ез должного лечения кариес постепенно полностью разрушает зуб. Отсутствие зуба сказывается на качестве пережевывания пищи. А если пищу как следует не пережевывать, то это неблагоприятно сказывается на состоянии желудочно-кишечного тракта, а если потерян не один, а сразу несколько зубов, и такая ситуация длится годами, могут возникнуть серьезные заболевания желудка.
Немаловажную роль играет и эстетическая сторона вопроса. Красиво выглядит улыбка, если у человека здоровые и крепкие зубы. Если они поражены кариесом, потемнели, разрушились или выпали, о красивой улыбке не может идти и речи. Вы начинаете стесняться своих зубов, избегать общения с друзьями, неуютно чувствовать себя в компании. Все это негативно сказывается на качестве жизни, неизбежно приводя к депрессиям. Так не проще ли вовремя обратиться за помощью и вылечить зубы, чем страдать и мучиться долгие годы?
Данная статья создавалась с целью объяснить — чем же опаснен кариес в перспективе. И если эта информация позволила Вам задуматься и принять решение о посещении стоматолога — это моя маленькая победа.