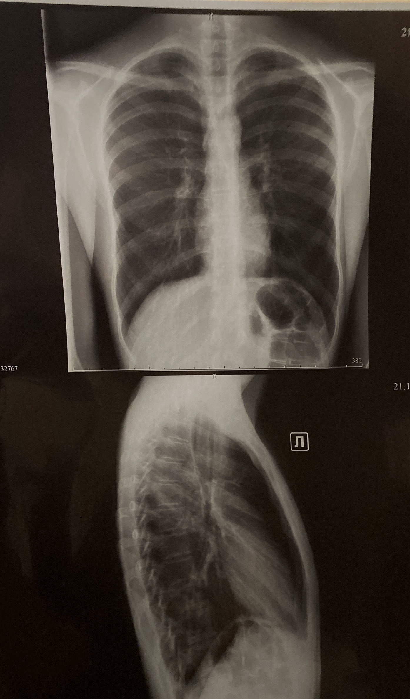
4 user11257984 4 дня назад Лига врачей Так есть ли увеличение ВГЛУ или нет? Терапевт сказал, что на снимке есть увеличенные лимфоузлы в легких, а рентгенолог в заключение написал что вглу нет, кто может подсказать правду [моё] Вопрос Спроси Пикабу Медицина Рентген Лимфоузлы 1 Ещё 0
Лига врачей
2.5K пост4.7K подписчика
Правила сообщества
1)Оскорбления запрещены
2)Взаимоуважение в комментариях и публикациях
3)Все материалы носят рекомендательный характер, так как данный сайт и сообщество не носят медицинский характер
4) Токсические негативные комментарии не по теме поста против авторов оригинальных постов не допустимы