Новости стоматологии

Стоматологическая клиника, симпатичная девушка-администратор звонит в страховую, чтобы подтвердить оплату оказанных мне услуг – чистку зубов и пломбу на моляре. В распечатанном врачом документе написано: гигиеническая чистка верхней и нижней челюсти, реконструкция мол. зуба. Девушка убедительно диктует в трубку: «Чистка верхней и нижней челюсти и реконструкция молочного зуба». Оператор от страховой переспрашивает, девушка выходит из себя: «Да, 35 лет, да, это врач так написал!».

Я хотела было ей сказать, а потом передумала. Молочный, так молочный.

1
Автор поста оценил этот комментарий

Вопрос принудительного выкорчевывания молочных зубов достаточно сложен. Это далеко не всегда работает на пользу. Например в данном случает легче дожить с этими пятерками лет до 30-40 и когда они придут в негодность - заменить имплантатами ну или коронками.

раскрыть ветку (1)
0
Автор поста оценил этот комментарий

А эстетическая сторона? Молочные по размеру меньше, детская челюсть может остаться?

показать ответы
0
Автор поста оценил этот комментарий

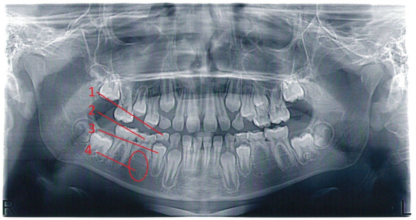
Снимок челюсти найденный в интернатах. На снимке цифрами обозначены:

1. Молочный первый моляр. Он же 4 зуб.

2. Молочный второй моляр, он же 5 зуб.

3. Постоянный первый премоляр, он же 4 зуб, который растет на смену молочному 4 зубу и уже почти его выпихнул. Корни молочного полностью рассосались

4. Область, где должен был быть второй постоянный премоляр, но его там нет. Соответственно у молочного моляра есть корни (многие считают что у молочных зубов нет корней, есть и еще какие! И этот моляр имеет все шансы достоять до 35 лет.

Иллюстрация к комментарию
раскрыть ветку (1)
0
Автор поста оценил этот комментарий

Чего только не бывает. Мне кажется именно для этого принудительно выкорчевывают невыпавшие молочные зубы в подростковом возрасте, чтобы челюсть развивалась правильно и успели выйти коренные.

показать ответы
1
Автор поста оценил этот комментарий

А для тупеньких? Что за мол.?

раскрыть ветку (1)
0
Автор поста оценил этот комментарий

Там написано чуть выше - молярный зуб.