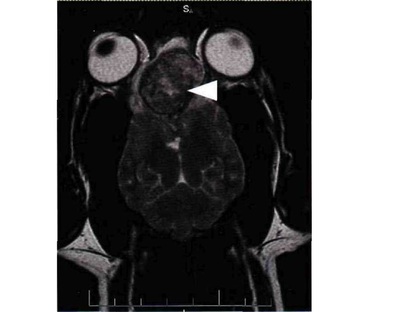
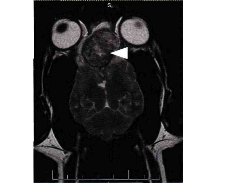
хм...мрт стоит примерно как новый мопс... ну или как половина мопса.
наверное проще нового...
короче после второго мрт это дело теряет рентабельность
Я купил змею. из-за того что купил с "дефектами" потратил еще столько же денег как змея на Ветеринара . и да . не проще купить нового. когда привыкаешь и любишь старое.
Жесть? Мопсы - прикольные, храпят, пердят... И любят хозяев. А фотка - явный фотошоп, хотя и прикольный.
Размещение вакансий на сайте запрещено.
https://pikabu.ru/information/rules#5
контент, вредный для сайта:Пост должен иметь самостоятельную ценность, а не быть просто ссылкой на сторонний ресурс.
- флуд или спам. Повторяющиеся сообщения и посты, не несущие смысловой нагрузки и/или мешающие обсуждению. Злоупотребление призывом аккаунтов администрации может расцениваться как флуд;
- распространение программ по обходу систем аналитики, необходимых для анализа работы Пикабу;
- использование программ и сервисов для манипуляций с рейтингом;
- побуждение и призывы к сетевым атакам;
- посты и комменты, созданные исключительно с целью выпрашивания денег;
- пиратский контент, ссылки на распространение пиратского контента и пиратские ресурсы, а также инструкции по скачиванию пиратского контента;
- размещение коммерческих вакансий, за исключений вакансий, размещенных на внутренних проектах Пикабу.
https://pikabu.ru/information/rules#8
8.2 Пост ссылкой. Посты ссылками либо фрагменты статей со ссылкой на продолжение на стороннем ресурсе запрещены. Контент должен быть полностью доступен в посте, видео при наличии технической возможности - корректно встроено в тело поста. При добавлении ссылок на опросы и краудфандинговые платформы пост должны иметь описание, подробно раскрывающее его суть.
Если в размещённом видео содержатся какие-либо заявления, требующие подтверждения, к ним должны быть приложены ссылки на источники.
https://pikabu.ru/information/rules#7
7.1 Подтверждение информации. Посты, требующие обязательного подтверждения из достоверных источников:
- новостные остросоциальные посты;
- политические информационные посты.
7.2 Достоверность информации. Пост, требующий подтверждения, должен содержать в себе ссылку на достоверный источник:
- российское издание, имеющее лицензию СМИ;
- известное зарубежное новостное издание;
- заявления государственных органов, публичных лиц и организаций;
- показания непосредственных свидетелей;
- видеоролик, который не вызывает сомнения в его подлинности.
В резонансных постах и постах с обвинениями в обмане или мошенничестве модерация может запросить дополнительные доказательства.
Спасибо большое за разъяснения. Вакансии не будем размещать тогда. Призыва сбора Денежных средств так же не будет. В видео не будет "неподтвержденной информации", только небольшая информация о деятельности фонда. Еще раз спасибо. Сделаем пост не противоречащий правилам. хорошего дня
@moderator Добрый день, Хотел узнать правила размещения деятельности Благотворительного фонда (Поддержка Бойцов ВСРФ в зоне проведения СВО). Имеются все необходимые документы (подтверждающие что проект не Скам). ИНН 5031149754 ОГРН 1235000017053 . Хочу разместить небольшой пост + видео + вакансии фонда. Могу ли я это сделать? Если могу то по каким правилам и что мне стоит соблюдать, что бы не было Бана и тд

