Из практики. Биопсия лёгкого
Что хорошего в моей работе радиологом я уже писал тут. Также упоминал про то, что работа моя не заканчивается описанием исследований и чрезмерным потреблением кофе с периодическими гипертоническими кризами, но мы проводим также различные пункции (как диагностические, так и не очень), т.е. имеем законную возможность безнаказанно тыкать в людей ножами (скальпелями) и иголками, что, безусловно, делает нашу жизнь разнообразней и интересней.
Всегда радуешься, когда интервенция идёт без сучка без задоринки: быстро вошёл и быстро вышел, пациент розовенький, довольный, хлопает глазками, собирается домой. Но, конечно же, бывает и не так. Как всё в жизни: в какие-то моменты ты на коне, в какие-то ты - конь, а в какие-то - под конём.
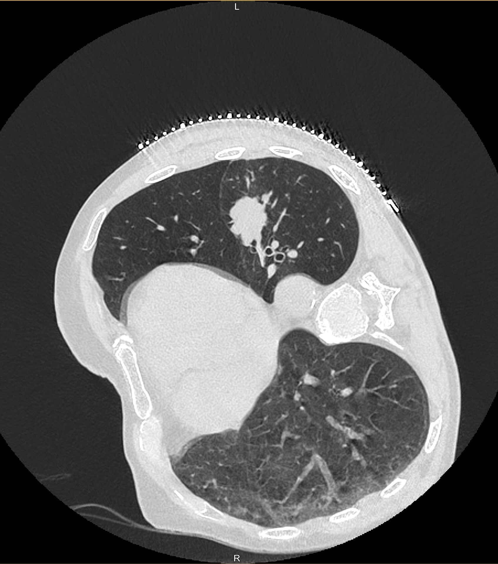
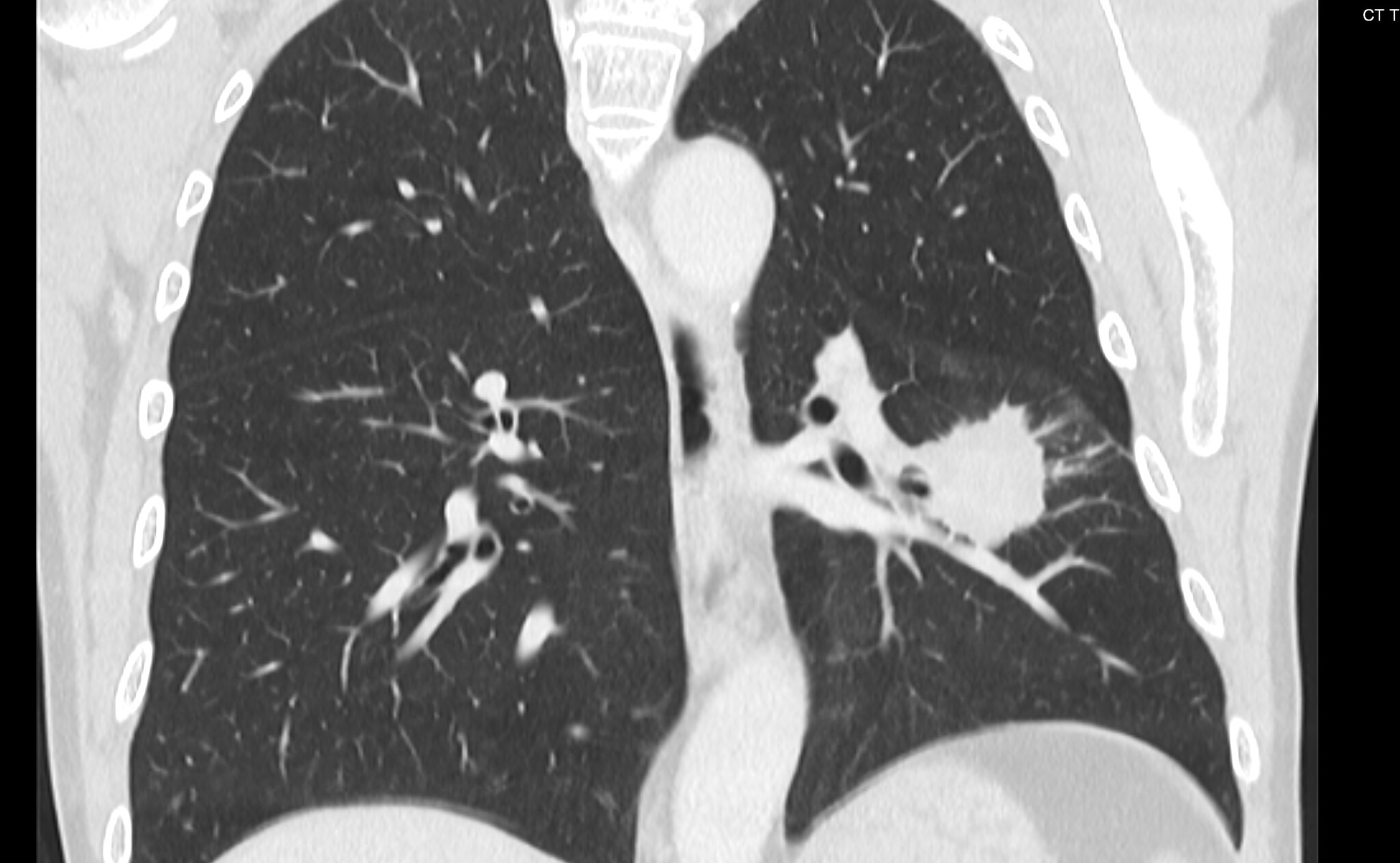
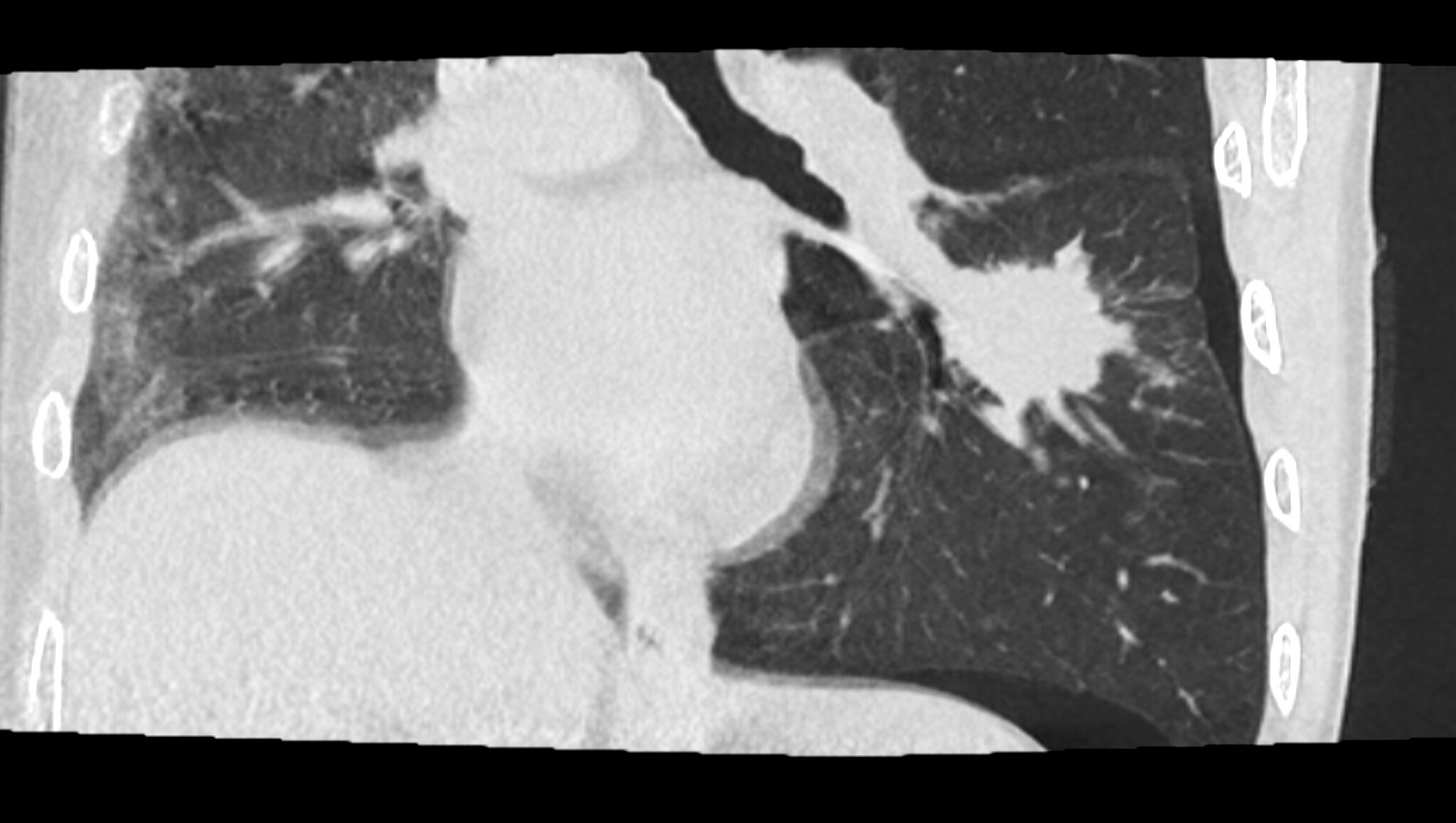
Сегодня мне посчастливилось сделать биопсию лёгкого у мужчины, 68 лет, с подозрением на рак в апикальном сегменте левой нижней доли (на картинках ниже смотрим на правую часть, белое пятно и есть возможное зло). Вроде и образование не шибко маленькое и пункция особых проблем не обещала, но настораживала близость очага к междолевой борозде, которую имелись все шансы повредить, что, статистически, является предпосылкой к пневмотораксу (воздух в плевральной полости):
Началась пункция как по маслу:
- позиционирование пациента (в данном случае на правом боку, чтобы левый бок был сверху, т.к. колоть удобнее свеху-вниз)
- разметка для определения места доступа
- дезинфекция и локальная анестезия (пациент всё время в сознании)
- надрез скальпелем через верхние слои кожи (иначе затупим пункционную иглу)
- ввод коаксиальной иглы, постоянно контролируя по КТ где оне находится и корректируя траекторию.
Видео с постепенным позиционированием иглы:
Игла непосредственно в образовании: можно брать пробы.
Работаю я, кстати, напрямую от стола, т.е. управляю системой (КТ-сканы и режимы, передвижения стола, просмотр) сам, как на картинке снизу:
Здесь небольшое отступление: мы делаем часто трукат- или трепан-биопсии. Для этого сначала вводится коаксиальная игла - полая игла, которая служит неким тоннелем для биопсийной иглы - до целевого образования, затем после подтвертждения правильного позиционирования, вводится биопсийная игла и проводится забор тканевых "цилиндров", которые и отправляются патологоанатомам для дальнейшей диагностики. Для этого используем подобные сеты:
- ввод биопсийной иглы: 3 жирных цилиндра - лучше и быть не может.
- клеим пластырь на место пункции.
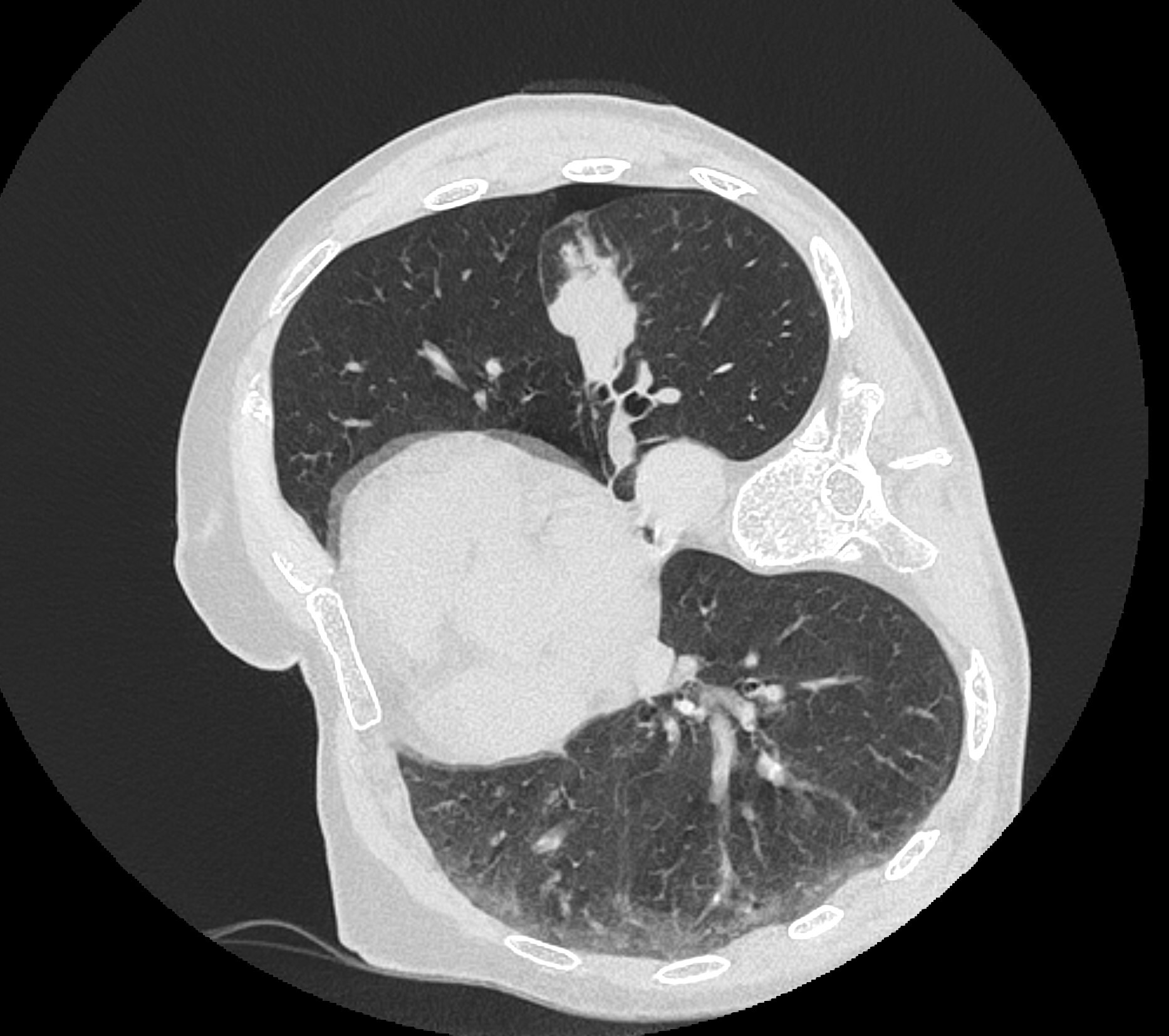
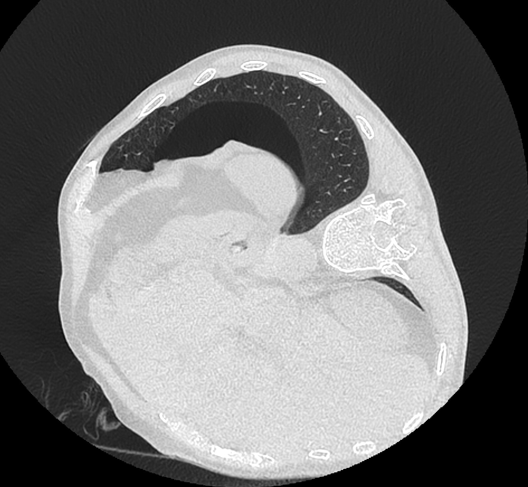
Но вот контрольный скан после интервенции показал небольшой пневмоторакс (черная область в лёгком):
Беда конечно, но без паники! Он небольшой, так что ещё не всё так плохо. Уложили больного на левый бок, чтобы место пункции было придавлено весом пациента, попросили лежать так 1 час и отправили его в дневной стационар (пункция амбулаторная).
Через 2 часа сделали контроль рентгеном, пневмоторакс ещё виден, но только апикально т.е. на верхушке лёгкого (тут придётся мне поверить, т.к. я смотрел на спец.мониторе с высоким разрешением):
На контроле ещё через 2 часа (т.е. в целом через 4 часа после пункции) пневмоторакс особо не изменился и даже немного уменьшился, что говорит о его стабильности и небольшом рассасывании:
Я поговорил с пациентом, рассказал что к чему (с ним мы в этот день много общались: до пункции ведь надо получить информированное согласие, в процессе пункции я рассказывал что делаю и что ему делать, также информировал его о пневмотораксе и о наших дальнейших действиях), предупредил что делать, если ему станет хуже (тут просто сдаваться своему семейному врачу или прямиком в больницу!) и отпустил домой.
Вот такие дела.











