Вирус Эпштейн-Барра: лечить или не лечить?
Про вирус Эпштейн-Барра (ВЭБ) мне писать, если честно, страшно. Потому что вокруг него столько исследований, слухов, домыслов, что я боюсь что-нибудь пропустить или быть неточной, или ещё какие-нибудь слухи породить. Но, вопросов по ВЭБ стабильно много, поэтому приступим.
Когда я ещё была совсем молодым врачом, я долго не могла понять, почему ко мне валом направляют пациентов с антителами ВЭБ в крови? Ну есть и есть, они практически у всех есть. Это уже потом я поняла, что с ВЭБ ассоциируют всё непонятное у пациента и, обнаружив антитела в крови, направляют дообследоваться у инфекциониста. Получается очень удобно, потому что с этим вирусом встречался практически каждый человек) Что же это за ВЭБ такой, могучий, вездесущий и ужасный?
Вирус Эпштей-Барра -- это один из представителей семейства герпесвирусов. К этому семейству так же относятся вирус простого герпеса 1,2 типа, вирус ветрянки, цитомегаловирус, вирус герпеса 6 типа, 7 типа, 8 типа. Герпесвирусные инфекции иначе можно назвать "болезнями цивилизации". Сами по себе, они не очень заразны, чтобы произошла передача, нужен длительный и тесный контакт между людьми. Мы обитаем в достаточно скученных условиях, поэтому большинство людей заражается уже в раннем или молодом возрасте. К 30ти годам более 90% людей заражены одним или несколькими герпесвирусами.
У всех представителей семейства есть одна особенность -- однажды попав в организм хозяина, они остаются там навсегда. У них разные места обитания: клетки крови, нервных ганглиев, эпителия. Современная медицина пока ещё не умеет убирать вирус из клеток человека. Так как все герпесвирусы ДНК-содержащие (а у человека в качестве наследственной информации так же выступает ДНК), они могут встраивать свой код в генетический материал хозяина и таким образом существовать всю его жизнь. Иммунная система здорового человека (я имею в виду людей без ВИЧ в стадии СПИДа, онкологии, лечения иммуносупрессивными препаратами и прочих тяжелых состояний) может подавлять размножение вируса, поэтому после первичного заражения большую часть времени вирус "спит".
Однако, в случае с ВЭБ этот сон не такой уж и простой. У вируса есть два варианта размножения: литический -- это когда формируются полноценные новые вирионы, которые затем массово покидают клетку и заражают другие клетки. Второй вариант -- латентный. Полноценные вирионы не формируются, но клетка синтезирует некоторые белки вируса. Вирусу они нужны для контроля иммунной системы и выживания, а у человека эти белки могут стимулировать озлокачествление клеток либо приводить к развитию аутоиммунных заболеваний. Существуют опухоли, ассоциированные с ВЭБ -- это лимфома Беркитта, назофарингеальная карцинома, карцинома вилочковой железы, рак желудка. Так же показана роль ВЭБ при развитии рассеянного склероза. Сейчас много исследуется взаимосвязь ВЭБ с аутоиммунными заболеваниями, однако, вопросов пока больше, чем конкретных и ясных ответов.
Первичное заражение чаще всего протекает бессимптомно, но может проявляться клинически с разной степенью выраженности. В случае с ВЭБ варианты могут быть от легкого недомогания, субфебрильной лихорадки до тяжелого инфекционного мононуклеоза. Прослеживается корреляция: чем старше человек, тем чаще первичная инфекция ВЭБ протекает по типу мононуклеоза. Но в любом случае, это удел подростков и молодых людей.
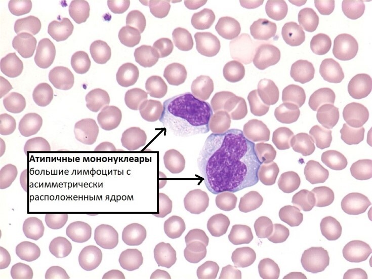
Остановлюсь поподробнее на страшном словосочетании "инфекционный мононуклеоз". На самом деле, это даже не конкретная нозологическая единица, а скорее синдром. Он включает в себя лихорадку, увеличение более 5ти групп лимфоузлов, тонзиллит (боль в горле и увеличение размеров миндалин, на миндалинах может быть налёт), увеличение печени с повышением АЛТ, АСТ, увеличение селезёнки + при микроскопическом исследовании крови обнаруживаются крупные активированные лимфоциты -- те самые, что долгое время называли "атипичные мононуклеары". Атипичные -- это огромные, с синим ободком по краю цитоплазмы лимфоциты. Мононуклеары -- лимфоциты с одним ядром.
То есть, название синдрома происходит от характера изменений клеток крови + типа заболевания (инфекционный -- передаётся от человека к человеку). Инфекционный мононуклеоз может вызывать не только ВЭБ, но и ЦМВ, и ВИЧ (в остром периоде). Поэтому, встречаясь с клиникой мононуклеоза, обязательно обследуем человека на все возможные его причины.
Антитела к ВЭБ в крови -- это защитные белки иммунной системы, за счёт которых, в том числе, иммунитет контролирует размножение вируса. Ранее была информация, что при количестве Ig G к капсидному белку ВЭБ (VCA EBV) более 640 следует искать хроническую активную инфекцию ВЭБ, но сейчас этот критерий признан недействительным. По сути, нет никакого референсного значения, сколько антител к ВЭБ должно быть в норме, а сколько уже считать патологией. Если антитела к ВЭБ есть, значит, человек уже встречался с инфекцией и уже носит в своих клетках генетический материал вируса. Если антител к ВЭБ нет, значит, еще не встречался.
Ig M к ВЭБ -- это первичный иммунный ответ, он свидетельствует об острой инфекции либо о том, что с момента заражения прошло более 7 дней, но менее 3-5 месяцев.
Ig G к ВЭБ (к любому из его белков) свидетельствует о том, что с момента заражения прошло более 14 дней и иммунная система уже успела разобраться, как подавлять вирус. Чтобы удостовериться, что антитела к вирусу зрелые и качественного его связывают (обезвреживают), можно ещё проверить авидность Ig G к ВЭБ. Если она высокая, значит, с момента заражения прошло более 6 месяцев и уже есть зрелый, эффективный иммунный ответ. Антитела циркулируют в крови пожизненно, потому что сам вирус с хозяином пожизненно.
Анализы на ДНК ВЭБ -- это поиск самого вируса. Можно искать в крови, в мазках из зева, в биоптатах со слизистой желудка. Вспоминаем, что сам вирус появляется где-то в ходе литического цикла размножения, чтобы заражать другие клетки. Периодически такие прорывы происходят в норме, чаще всего абсолютно бессимптомно. Иногда они свидетельствуют о нарушении местной иммунной защиты слизистых оболочек. Иногда о нарушении работы иммунной системы в целом. По одному только положительному результату анализа на ДНК ВЭБ далекоидущие выводы сделать не получится, надо рассматривать всю картину целиком. И ещё вспоминаем, что к раку приводит вовсе не литический цикл, а латентный -- когда ДНК ВЭБ отрицательный, потому что никакой вирус из клетки не выходит.
Почему нет смысла кормить человека валацикловиром при ВЭБ?
Потому что он действует только на литическую стадию -- на размножение вируса с формированием новых вирусных частиц. В такой ситуации мы подсовываем ВЭБу дефектный строительный материал в виде ацикловира/валацикловира и новые вирионы не собираются. Однако, все стандартные проблемы от ВЭБ происходят, когда вирус активно не размножается, а гадит потихоньку из клетки. На латентный цикл жизнедеятельность вируса наши препараты никак не действуют. Поэтому можно съесть тонну валацикловира, но это не излечит назофарингеальную карциному или лимфому. Излечит только полное удаление генов вируса из клеток, что до сих пор невозможно.
Даже инфекционный мононуклеоз -- это не разрушительное действие самого ВЭБа, а избыточная реакция иммунитета на вторжение вируса. Поэтому лечение сводится к устранению симптомов и предотвращению осложнений, вплоть до назначения препаратов, подавляющих активность лимфоцитов. Да, хроническая активная инфекция ВЭБ действительно, существует. Но, это очень редкое смертельно заболевание, которое лечится пересадкой костного мозга, а не противовирусными препаратами.
Уважаемые коллеги, если вы поделитесь своими соображениями, наблюдениями, опытом лечения ВЭБ, я буду вам очень признательна.
P.S. Вспомнила, что ещё хотела рассказать. В случае с герпесвирусными инфекциями следует различать первичное заражение и реактивацию.
Первичное заражение -- это когда в наивный организм вирус попадает впервые. Это происходит либо бессиптомно, либо со смазанной клиникой (слабость, вялость, недомогание), либо с характерной клиникой: -- вирус простого герпеса 1,2 типа -- локальные везикулярные высыпания на коже, повышение температуры тела; -- вирус варицелла зостер -- ветряная оспа; -- вирус Эпштейн-Барра, цитомегаловирус -- инфекционный мононуклеоз.
Реактивация -- это когда тот вирус, который уже живёт в человеке, снова начинает размножаться и проявляться клинически: -- вирус простого герпеса -- везикулярные высыпания в типичной локализации; -- вирус варицелла зостер -- опоясывающий герпес; -- вирус Эпштейн-Барра -- волосатая лейкоплакия языка, лимфома; -- цитомегаловирус -- ретинит, энцефалит, острый гепатит.
Как можно увидеть, реактивация отличается по клинике у всех герпесвирусов, кроме вируса простого герпеса. Откуда я знаю, как реактивируется ВЭБ или цитомегаловирус? Видела у ВИЧположительных пациентов в стадии СПИДа. У людей с нормальным иммунитетом или близко к нему, я таких проявлений не встречала.

Все о медицине
14.5K постов41.8K подписчиков
Правила сообщества
1)Не оскорбляйте друг друга
2) Ув. коллеги, при возникновении спора относитесь с уважением
3) спрашивая совета и рекомендации готовьтесь к тому что вы получите критику в свой адрес (интернет, пикабу в частности, не является медицинским сайтом).