Туберкулёз под микроскопом
Вопрос от подписчика: Покажите бактерий, которые вызывают туберкулёз.
Ответ биолога: Туберкулез - это инфекционное заболевание, вызываемое различными видами микобактерий (Mycobacterium tuberculosis complex).
Бактерии вызывающие туберкулёз. Сканирующий электронный микроскоп. Увеличение: x8600
Обычно эта бактерия попадает в легкие, но может поражать и другие органы: почки, лимфоузлы, позвоночник, кости и даже мозг.
Альвеолярный макрофаг (клетка иммунной системы) поедает и переваривает бактерий вызывающих туберкулёз (жёлтые). Сканирующий и просвечивающий электронный микроскоп.
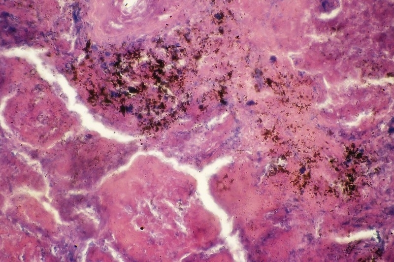
После заражения в поражённом органе возникают очаги воспаления, образуются уплотнённые бугорки, а ткани деградируют и распадаются.
Очаги туберкулёза в лёгочной ткани (чёрные бугорки), содержащие бактерий.
Бонус: Короткое научно-популярное видео про строение дыхательной системы.



Лига биологов
11K поста18.6K подписчиков
Правила сообщества
‣ Правила сайта никем не отменялись.
‣ Будьте вежливы и сдержаны.
‣ Не разводите политоту, не тащите спам.
‣ Пост-определялка. Если хотите определить представителя флоры или фауны, можете спросить там, я обязательно постараюсь помочь.
‣ Выносятся посты содержащие антинаучные и другие сомнительные идеи. Их авторы караются на месте.
‣ Так как в сообществе отключена премодерация, могут проходить посты по тем или иным причинам не подходящие под формат сообщества. Такие посты переносятся в общую ленту.
‣ Администратор иногда переносит в сообщество посты подходящей тематики, которые ей особенно понравились, не серчайте, считайте комплиментом.
‣ Если в пост закралась грубая ошибка, не удивляйтесь, если администратор попросит её исправить.
‣ Вбросы антинаучных идей и попросту различная глупость в комментариях расцениваются как развлечение для публики. Такие сообщения отдаются на растерзание толпе, как и их авторы, будь то тролли, адепты всех мастей или просто недальновидные личности.
‣ Политика сообщества не предусматривает раздачу банов направо и налево, однако, если вы нарушаете покой пользователей, и на вас пожаловались – не обижайтесь.