Хондроматоз коленного сустава
Хондроматоз – это патологическое изменение сустава, причиной которого становится перерождение синовиальной оболочки в хрящ. Это заболевание довольно редкое, может поражать любой сустав, но чаще всего страдает именно коленный сустав. Заболевание характерно для спортсменов и людей, подвергающихся регулярным тяжелым физическим нагрузкам, четкая причина возникновения неизвестна. Симптомы- боль, хруст и заклинивание сустава.
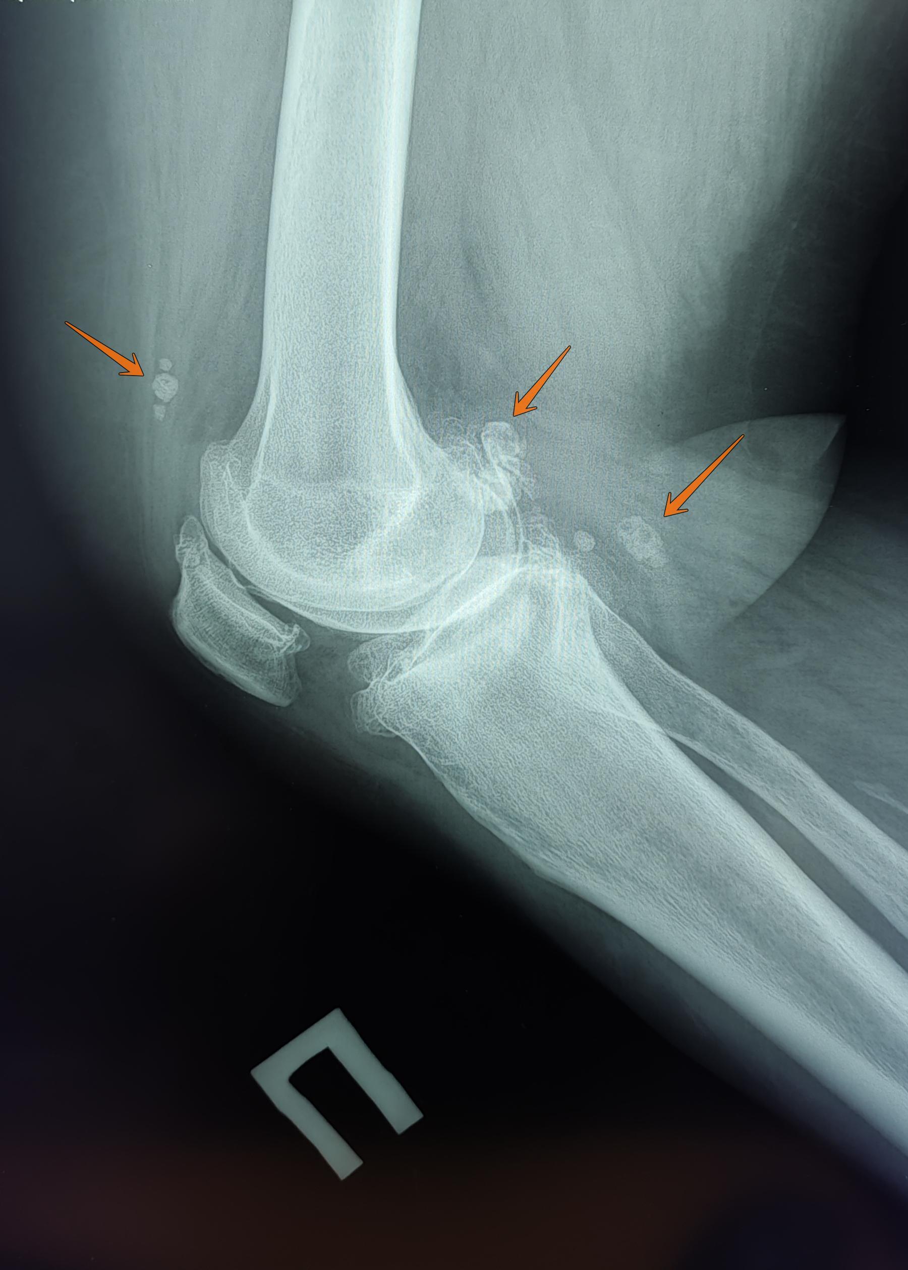
Описание: На Р-граммах правого к/с в 2х проекциях: Значительное сужение суставной щели в медиальных отделах до 1.6 мм, субхондральный склероз, краевые костные разрастания, заострение полюсов надколенника, уплотнение его внутренней поверхности ,по ходу внутренней поверхности синовиальной оболочки визуализируются единичные округлые хондроматозные тела №~7,размером от 5 мм до 25 мм в диаметре. Заключение: Хондроматоз правого коленного сустава. Гонартроз справа 3 ст. по Kellgren.Пателло-феморальный артроз.
Лечение оперативное: артроскопическое удаление хондроматозных тел.
Категория годности с вышеописанным диагнозом: ст.65а-Д(не годен к военной службе),по I, II, III графам.






