Как вылечить периодонтит?
Пост без рейтинга. Знаю, что на пикабу очень много хороших стоматологов, поэтому прошу совета.
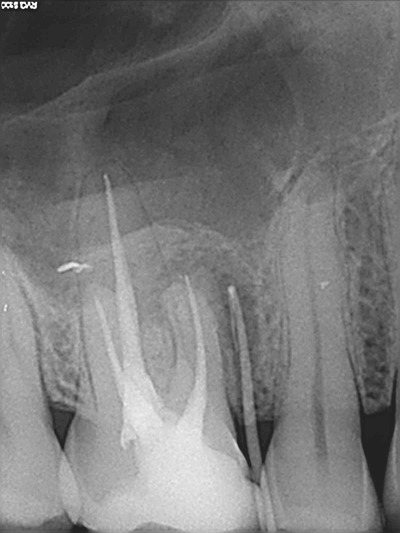
Все началось с того, что мне 13 июля небрежно за 5 минут запломбировали каналы в 1 посещение и вывели за верхушку корня силлар Н+ и гуттаперчевые штифты. Рентген в день пломбировки.
После этого у меня начались просто адские боли при прикосновении к этим зубам и кости над ними.
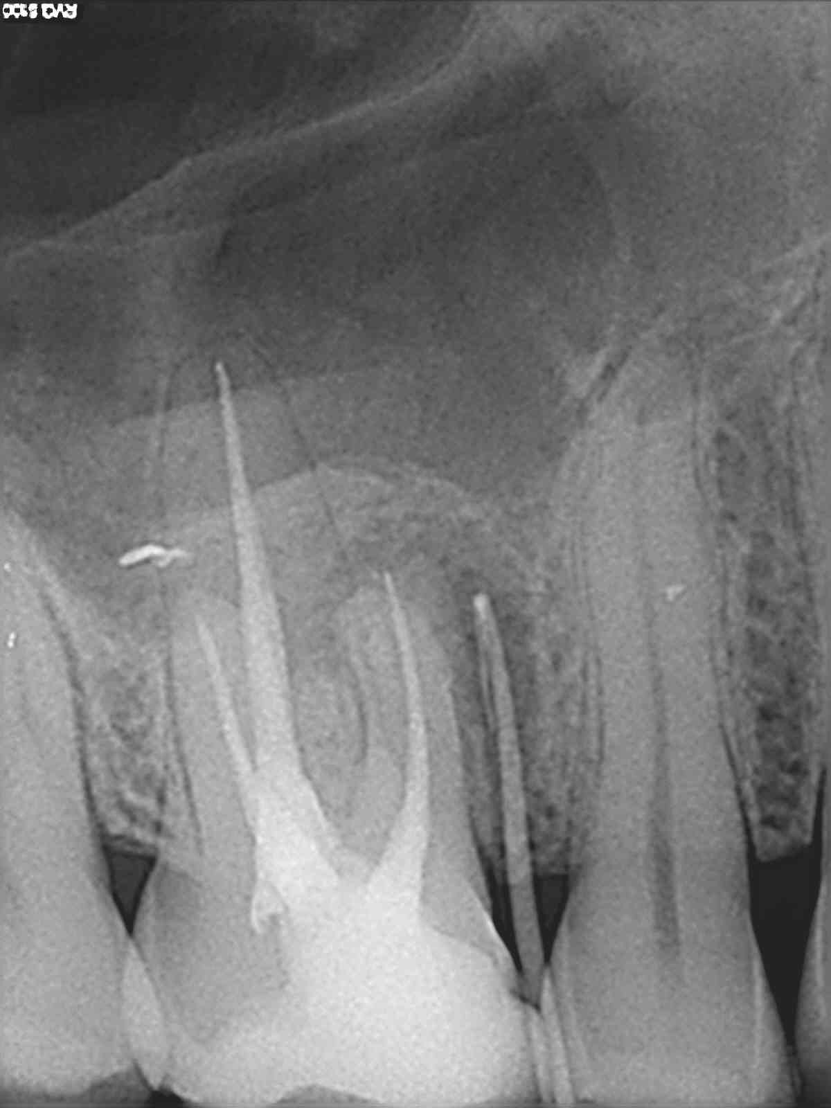
Потом я нашла врача для распломбировки каналов и 26 августа мне распломбировали каналы и положили в каналы кальцийсодержащую пасту на турундах. Рентген после распломбировки каналов.
После распломбировки боль была терпимая, но полностью не проходила, было неприятно прикасаться к этим зубам и к месту на десне, где верхушки корней этих зубов. Лечащая врач предложила мне походить месяц-два с этими турундами, а потом запломбировать каналы постоянно, без замены лекарства в каналах.
Где то с 14 октября началось ухудшение, с каждым днем все больше болела кость возле этих зубов и все больней было прикасаться к этим зубам. Боль носила характер пульсирующей, распирающей, ноющей. Я обратилась к своему лечащему врачу и она назначила мне физиопроцедуры лазером. Мне делали лазер 20 и 23 октября, но не помогало и было все хуже. 25 октября боль стала просто невыносимой, я не могла спать и лезла на стенку от боли.
26 октября моя лечащая врач открыла каналы и сказала, что не знает, что со мной делать, что больше она лекарства ставить не будет.
Я начала ходитьь с открытыми каналами, боль из острой через несколько дней стала средней, терпимой и такой и оставалась. Во время хождения с открытыми каналами я сделала свежий снимок.
Потом я нашла врача, которая якобы согласилась лечить периодонтит, но методика у нее, мягко говоря, странная.
Я пришла к ней после 2 недель хождения с открытыми каналами. У меня за 2 недели хождения с открытыми каналами кальций, который изначально был розового цвета, стал серый от грязи. В первую очередь, когда я пришла к ней на запланированный прием, я сказала:"у меня есть свежий снимок, давайте я вам покажу". На что она сказала: "не нужен мне твой снимок" и так и не посмотрела снимок.
Когда мы перешли к этапу лечения, она мне совершенно не прочистила и не промыла каналы (ни разу не ковырялась иголочками в каналах и ни разу не промыла каналы антисептиком), а вместо этого просто в грязнючие каналы положила какое-то лекарство в виде белого геля и закрыла временной пломбой. Потом она мне сделала адски болезненный укол линкомицина в десну и сказала следующее: "я назначаю тебе 10 уколов в десну, 2 раза в неделю по уколу, а если не поможет, тогда удаляй эти зубы".
Я, конечно, не врач, но мне кажется, что с таким подходом, как у последнего врача, периодонтит не вылечить.
Уважаемые врачи, подскажите пожалуйста, как должна выглядеть правильная схема лечения периодонтита? Ведь хорошие специалисты и не такое вылечивают! Очень не хочу терять эти зубы, ведь существует столько разных лекарств для каналов от воспаления периодонта.




