FredCooper
В ответ на пост pikabu. ru/story/muzhchina_s_10_mozga_zhivet_normalnoy_zhiznyu_4371131 и небольшое опровержение.
Здравствуйте. Давно по сети гуляет история этого француза и его снимки, которые не совсем соответствуют действительности. Сегодня мы узнаем немного нового о нейрохирургии и разберем истинную историю болезни.
Сначала обратимся к первоисточнику.
http://www.thelancet.com/journals/lancet/article/PIIS0140-67...
Volume 370, No. 9583, p262, 21 July 2007
Brain of a white-collar worker
Dr Lionel Feuillet, Henry Dufour, PhD, Jean Pelletier, PhD
44-летний мужчина с 2-недельными жалобами на легкую слабость левой ноги. В возрасте 6 месяцев ему выполнено вентрикулоатриальное (из желудочков головного мозга в правое предсердие) шунтирование, из-за послеродового гидроцефалии неизвестной этиологии. Когда ему было 14 лет, появилась атаксия и парез левой ноги, которые регрессировали после ревизии шунтирующий системы. Его неврологический статус и истории болезни были в норме. Он женат, отец двоих детей, а также работает в качестве гражданского служащего. На нейропсихологического тестирования, он показал коэффициент IQ=75, his verbal IQ was 84, and his performance IQ 70 (без понятия, как точно это перевести). КТ показала расширение боковых желудочков; МРТ также показала, расширение боковых, третьего и четвертого желудочков, тонкий мозговой парус и кисту задней черепной ямке. Мы ставили диагноз окклюзионной гидроцефалия с вероятным блоком на уровне отверстия Мажанди. Слабость ног регрессировала после нейроэндоскопической вентрикулоцистерностомии (смысл операции заключается в создании сообщающихся отверстий между кистой и желудочками головного мозга), но вскоре повторялась; Однако, после вентрикулоперитонеального (из желудочков головного мозга в брюшную полость, вся система находится под кожей) шунтирования, неврологический статус стал нормальным в течение нескольких недель. Данные нейропсихологического тестирования и КТ-картина не изменилась.
P.s. Здесь описан удачный исход течения и лечения окклюзионной гидроцефалии (такое бывает нечасто, но бывает). С опровержением закончили, переходим к познавательной части.
Разберем снимки, к сожалению на них не указана дата и хронологический порядок.
Снимок А: Это КТ-картина головного мозга (аксиальный снимок). LV-боковые желудочки, правый и левый. Красным отмечен вентрикулярный конец шунта. Синим извилины головного мозга, опосредовано это нам говорит об отсутствии отека головного мозга и компенсации процесса.
Снимок B: Т1 режим МРТ с контрастом (гадолиниум), коронарный снимок
Цифра III - третий желудочек, IV - соответственно четвертый желудочек.
Снимок С: Саггитальный срез, также Т1 режим МРТ с контрастом (гадолиниум)
Здесь видим боковой желудочек головного мозга, вероятно правый. Красным отмечено место стояния помпы шунтирующей системы в точке Кохера, одно из типичных мест для постановки помпы. Здесь шунта нет: не видно самой помпы и шунта, они удалены, скорее всего для оценки зависимости пациента от шунта, вовремя ревизии системы.
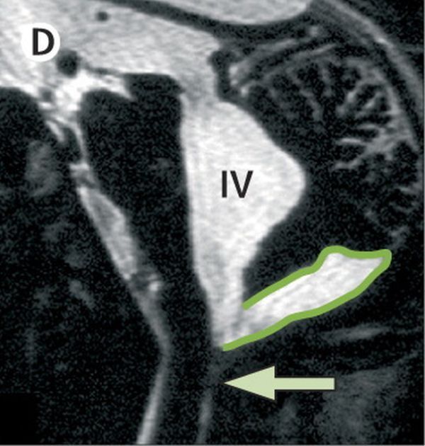
Снимок D: Т2-режим МРТ область задней черепной ямки.
Здесь ничего не стал дорисовывать. Зеленым указана киста (она может быть, как и причиной возникновения водянки головного мозга, так и ее следствием за счет атрофии головного мозга). Стрелкой указан уровень блока, отверстие Мажанди (один из основных сбросов ликвора).
В итоге мы разобрали клинический случай удачного лечения окклюзионной гидроцефалии, никакого чуда в этом нет. Пациент лечится с 6-месячного возраста, перенес ряд операций, также в обязательном порядке получал консервативное лечение всю жизнь (только операция не поможет). На фоне лечения и реабилитации, хороших компенсаторных механизмов головного мозга, длительного и медленного течения заболевания, пациент относительно нормально себя чувствует и социализировался. Без лечения окклюзионная гидроцефалия приводит к летальному исходу.
Спасибо за внимание и будьте здоровы) Ваш нейрохирург FredCooper)







