DoctorSevak

DoctorSevak

Хирург-имплантолог, кандидат медицинских наук. Разработал и запатентовал новейший способ имплантации всех зубов сразу. Здесь – честно, правдиво и с юмором о стоматологии и историях моих пациентов :) Добро пожаловать! САЙТ: https://clck.ru/3BeWNJ
Пикабушник
Дата рождения: 14 октября
504 рейтинг 22 подписчика 5 подписок 50 постов 1 в горячем
0

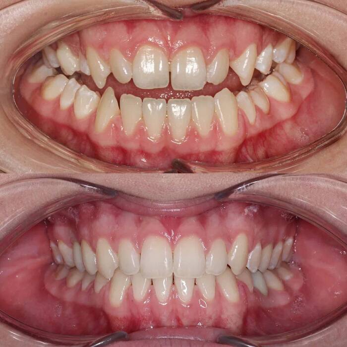
Бьюти-стоматология: как это работает?

Это тот случай, когда доктора-стоматологи отказывали в предоставлении помощи. Мы не можем объяснить их поведение. Мы можем только поделиться, как мы решили непростую или даже нерешаемую задачу для многих. Может быть, это поможет тем, кто уже отчаялся. Знайте: в стоматологии 21 века нет нерешаемых задач.

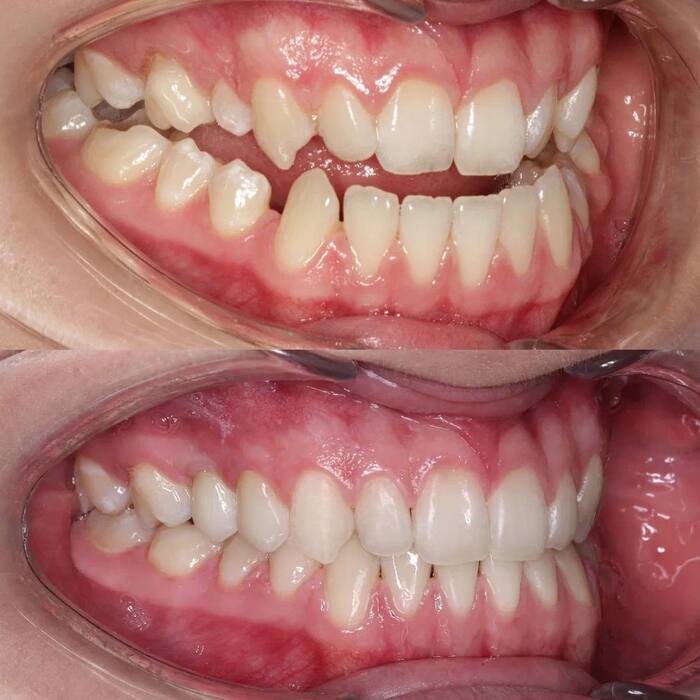
Ранее в других клиниках нашему пациенту отказывали в ортодонтическом лечении без проведения операции на челюстях. Мы же смогли добиться правильного прикуса без оперативного вмешательства, консервативным путем. По результатам лечения нам удалось улучшить не только прикус, но и лицевые параметры тоже.

В конечном итоге пациент получил правильный прикус и красивую улыбку, не прибегая к операции на челюстях.

Рассказывает лечащий врач В. А. Манукян:

До или клиническая ситуация : нижние зубы перекрывают верхние (обратное перекрытие), наличие щелей между верхними и нижними зубами, несовпадение центров верхнего и нижнего зубных рядов, нарушение смыкания боковой группы зубов, кривизна резцов, практически полное отсутствие места для правого верхнего клыка.

Диагноз: мезиальный прикус, обратная резцовая окклюзия, трансверзальная резцовая окклюзия, дизокклюзия в области 1.3, 1.2, 2.2 и 2.3, перекрестная палатиноокклюзия в области боковой группы зубов, скученность и ретрузия резцов обеих челюстей.

Решение: дистализировать (смещать назад) весь нижний зубной ряд целиком с опорой на два ортодонтических винта для нормализации смыкания боковой группы зубов. Увеличить наклон резцов верхней челюсти до нормальных значений для получения правильного перекрытия резцов в сагиттальной и вертикальной плоскостях. Использовать раскрывающую пружину для раскрытия места под правый верхний клык и сопоставления косметических центров верхнего и нижнего зубных рядов между собой. Расширить верхний зубной ряд для коррекции перекрестного прикуса в боковых отделах и добычи пространства для правого верхнего клыка.

Ход лечения:

- удаление зубов мудрости

- использование 2 ортодонтических винтов в области щечного выступа нижней челюсти для опоры

- установка брекет-системы

- завершение лечения с последующей ретенцией

Результат: получили физиологический прикус, нормализовали смыкание фронтальной группы зубов во всех плоскостях (сагиттальной, вертикальной и трансверзальной). Добились правильного смыкания зубов в боковых отделах. Расширили зубные ряды и нормализовали наклон резцов верхней челюсти.

Мы осуществили большую мечту нашего пациента и подарили этому миру еще одну красивую и здоровую улыбку!

Показать полностью 1
3

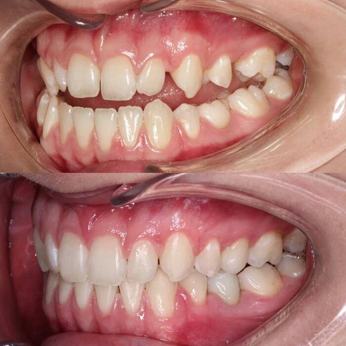
Разбор ортодонтического кейса

Разбор ортодонтического кейса

Доктор: Хачатрян Лариса Рубеновна
Проблема:
-Дисфункция височно-нижнечелюстного сустава
-Мезиальная окклюзия (выступание нижней челюсти вперед)
-Открытый прикус
-Сужение верхнего зубного ряда
-Ретенция зубов 1.5, 2.5 (непрорезавшиеся зубы)
-Первичная адентия 3.5 (отсутствие зачатка постоянного зуба)

Разбор ортодонтического кейса
Разбор ортодонтического кейса
Разбор ортодонтического кейса

Решение: лечение дисфункции сустава с последующим ортодонтическим на брекет-системе
Этапы лечения: миорелаксирующая каппа на 3 мес (сплинт-терапия). Далее ортодонтическое лечение на брекет-системе
В результате:
Нормализовали прикус пациентки, добились правильного смыкания зубов.
Сопоставили центральные линии верхнего и нижнего зубных рядов, получив красивый, а главное, функциональный результат.

Как вам итог?
Пишите в комментариях, как вам изменение улыбки?

Показать полностью 4

От детской мечты до клиники Estetus!

От детской мечты до клиники Estetus!

Врач-ортодонт - Манукян Ваагн Альбертович

1.Как вы пришли в профессию?

Так уж получилось, что во время учебы на стоматологическом факультете в медицинском университете ни одна стоматологическая специальность мне не нравилась. Терапия, ортопедия, хирургия - было стойкое ощущение того, что это все не мое. Продолжалось это ровно до тех пор, пока на четвертом курсе университета не начался последний цикл занятий - по ортодонтии. Я сразу же полюбил этот предмет, с первого же дня. Далее очень усиленно изучал его, впитывал информацию, ходил на научные кружки. Для меня уже тогда стало очевидным, что это будет моей будущей профессией. Ортодонтия очень сильно отличается от всех остальных стоматологических специальностей - и это всегда является поводом для гордости. Я очень люблю свою профессию!

2.Если бы не стоматология, какую отрасль вы бы выбрали?

Я всегда очень хотел быть связанным с международными отношениями. Думаю, я стал был дипломатом. Возможно, послом. Считаю, что у меня хорошо получается находить общий язык с людьми, выстраивать коммуникации - это те качества, которые очень важны для дипломатии. Помимо всего прочего, я люблю изучать языки, историю и культуру других стран и народов - думаю, что подобные увлечения также сыграли бы свою роль в выборе профессии, если бы я не стал врачом.

3.Что помогает вам сохранять мотивацию в ежедневной работе?

Если честно, я считаю, что когда человек искренне любит свою работу, ему не нужна никакая дополнительная мотивация. Как говорится, если ты любишь свою работу, ни одного дня в своей жизни ты работать не будешь.

Но если все же попытаться ответить на этот вопрос, то я бы сказал так: мне помогает сохранять мотивацию в ежедневной работе мое постоянное стремление к развитию и самосовершенствованию. Стремление к повышению собственного уровня квалификации. Желание становиться лучше изо дня в день.

Помимо этого, очень большую мотивацию мне придают отличные результаты лечения моих пациентов. Возможность наблюдать, как меняется улыбка человека в ходе лечения, как человек перестает стесняться своих зубов, как растет его уверенность в себе. Я считаю, что это очень ценно, когда врач может быть причиной каких-то изменений в лучшую сторону в жизни своих пациентов.

4.Помните ли вы своего первого пациента?

Да, конечно, помню. Недавно, кстати, видел ее. У нее получился очень классный результат лечения - невероятно красивая улыбка и правильный прикус!

5.Какой вы видите отрасль стоматологии через 10 - 25 лет?

Динамично развивающейся, с новыми технологиями. С еще более точными механизмами диагностики, позволяющими свести к минимуму потенциальные ошибки при постановке диагноза и выборе тактики лечения. С еще более инновационными методами лечения, позволяющими, возможно, уменьшить сроки лечения. С еще большим уровнем комфорта лечения для пациента.

От детской мечты до клиники Estetus!

Врач общей практики - Нахапетян Ваан Саятович

1.Как вы пришли в профессию?

Расскажу  небольшие истории из детства:
Первая
У нас есть детский праздник. Когда прорезывается первый зуб, собираются все друзья, садятся вокруг тебя, и в этот круг кто-то из родителей сыпит конфеты на голову, а гости их собирают. Потом на выбор кладут предметы.  Например, ручка, градусник, молоток, поварешка, мяч. И в зависимости от того, какой предмет выберешь,  в такую сферу и пойдешь.
Я выбрал градусник, тем самым судьба моя была определена.
Вторая
Когда у друзей были подвижны молочные зубы я помогал им их удалить с помощью нитки и двери, потому что они боялись стоматологов, а меня нет.
Третья
Приходя в стоматологию на лечение, я чувствовал себя комфортно, не боялся, не переживал. Даже с врачом как с другом общался. И вот пройдя через это, я стал стоматологом.


2.Если бы не стоматология, какую отрасль вы бы выбрали?

C детства была миссия стать стоматологом, поэтому другой отрасли я и не рассматривал.

3.Что помогает вам сохранять мотивацию в ежедневной работе?

В первую очередь, это помощь пациенту, который доверился именно мне  и пришел на лечение.
Второе, это общение с пациентами, ведь каждый человек индивидуален и каждый рассказывает разные интересные жизненные истории, в каком-то роде стоматолог, как психолог, должен выслушать, дать совет, рассказать про свою какую-нибудь схожую ситуацию. найти общий язык. Я считаю, что врач должен лечить не только с помощью манипуляций, но и хорошим, добрым словом.

4.Помните ли вы своего первого пациента?

Первым моим пациентом был друг, которому я сделал гигиеническую чистку. Не совсем, конечно, качественно и безболезненно, но все же сделал.

5.Какой вы видите отрасль стоматологии через 10 - 25 лет?

Думаю, что будут  электронные установки, роботы, которые сами будут лечить, а человек будет за этим наблюдать.

От детской мечты до клиники Estetus!

Врач-гигиенист - Сорокина Мария Сергеевна

1.Как вы пришли в профессию?

После рождения сына я захотела начать строить карьеру в медицине, мне всегда была интересна эта отрасль, и я устроилась в многопрофильный центр в Москве. Это была работа в 5 минутах от дома, мне предложили отделение стоматологии, так я и попала к своему учителю к.м.н хирургу-стоматологу Авдиенко Ольге на 8 лет

2.Если бы не стоматология, какую отрасль вы бы выбрали?

Думаю это была бы хирургия общего профиля. В этой профессия есть вдохновение, творчество, сама хирургия - это. как искусство.

3.Что помогает вам сохранять мотивацию в ежедневной работе?

Мне нравится то, что я делаю, я люблю результат своей работы, сам процесс это как медитация, главное чтоб пациент чувствовал себя спокойно и не испытывал неприятных или болезненных ощущений, тогда это будет потрясающий результат:)

4.Помните ли вы своего первого пациента?

Да конечно, это была я. Я училась на себе проводить гигиену, первый раз у меня ушло часов 5. Я делала перерывы, это было довольно сложно, зато работа с зеркалом отточилась в первый день.

5.Какой вы видите отрасль стоматологии через 10 - 25 лет?

Стоматология никогда не стоит на месте, усовершенствованный материал и оборудование, возможно ИИ:) все больше комфорта и меньше боли.

Показать полностью 3

Кейс стоматолога-хирурга, имплантолога Сидорова Данила Владимировича

Стоматологи часто сталкиваются с ситуацией, когда пациенты обращаются за помощью только тогда, когда терпеть боль становится невозможно. Каждый врач принимает решения, основываясь на своем опыте и интуиции, ведь одна и та же проблема может быть решена различными методами. Предлагаемый к рассмотрению кейс интересен тем, что требует всестороннего подхода из-за своей сложности — нам пришлось одновременно решать функциональные и эстетические задачи.

Кейс стоматолога-хирурга, имплантолога Сидорова Данила Владимировича

Пациентка: женщина, 38 лет

Елена долго откладывала восстановление улыбки - частичное отсутствие зубов, пародонтит, страх перед сложным вмешательством. Она решилась на первый шаг — записалась на онлайн-консультацию в клинику ESTETUS.

Врач стоматолог-хирург, имплантолог Сидоров Данил Владимирович оценил клиническую ситуацию пациентки и составил план лечения.

На консультации Елене рассказали обо всех удобствах для иногородних пациентов: собственный стационар, питание и трансфер до клиники.

Доктор установил ей постоянную конструкцию All-on-6 с немедленной нагрузкой за 3 дня на обе челюсти.

Кейс стоматолога-хирурга, имплантолога Сидорова Данила Владимировича

Описание данного клинического кейса мы бы разбили на три отдельные «истории»:

  • первая «история» –диагностика и консультация,

  • вторая «история» –сначала подготовка к имплантации: профессиональная гигиена, удаление несостоятельных зубов и затем сразу же установка имплантов,

  • третья «история» – фиксация постоянных зубов, изготовленных в нашей зуботехнической лаборатории.

Обычно после таких историй к нам поступают вопросы о цене. И комментарии о “квартире в рот”. Давайте и это разберем здесь.

Стоимость: Восстановление зубов по методике All-on-4 с постоянной зубной конструкцией - 499 000 руб за 1 челюсть под ключ!

Теперь Елена улыбается без стеснения и со смехом вспоминает то, как волновалась в самом начале.

Примеры лучших работ наших докторов представлены здесь

Показать полностью 6
Отличная работа, все прочитано!

Темы

Политика

Теги

Популярные авторы

Сообщества

18+

Теги

Популярные авторы

Сообщества

Игры

Теги

Популярные авторы

Сообщества

Юмор

Теги

Популярные авторы

Сообщества

Отношения

Теги

Популярные авторы

Сообщества

Здоровье

Теги

Популярные авторы

Сообщества

Путешествия

Теги

Популярные авторы

Сообщества

Спорт

Теги

Популярные авторы

Сообщества

Хобби

Теги

Популярные авторы

Сообщества

Сервис

Теги

Популярные авторы

Сообщества

Природа

Теги

Популярные авторы

Сообщества

Бизнес

Теги

Популярные авторы

Сообщества

Транспорт

Теги

Популярные авторы

Сообщества

Общение

Теги

Популярные авторы

Сообщества

Юриспруденция

Теги

Популярные авторы

Сообщества

Наука

Теги

Популярные авторы

Сообщества

IT

Теги

Популярные авторы

Сообщества

Животные

Теги

Популярные авторы

Сообщества

Кино и сериалы

Теги

Популярные авторы

Сообщества

Экономика

Теги

Популярные авторы

Сообщества

Кулинария

Теги

Популярные авторы

Сообщества

История

Теги

Популярные авторы

Сообщества