Треугольная кость таранной кости(Os trigonum)
Os trigonum — это анатомический вариант развития стопы/аномалия развития, представляющая собой отдельную костную структуру, расположенную кзади от таранной кости.
Формируется из не слившегося вторичного центра окостенения таранной кости
Встречается у 5–15% населения, часто двусторонне.
Может быть бессимптомной или вызывать боль при физических нагрузках, занятии спортом.
Может вызывать задний импиджмент голеностопа — боль при тыльном сгибании стопы.
Лечение:
Консервативное: покой, НПВП, ортезы, инъекции кортикостероидов.
Хирургическое: удаление кости при стойкой симптоматике (артроскопически или открытым способом).
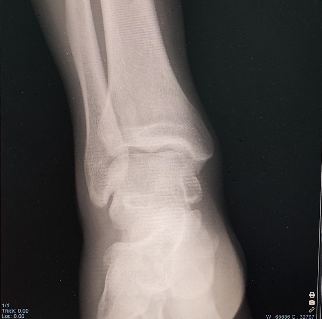
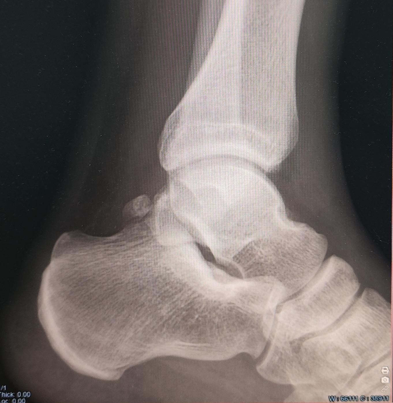
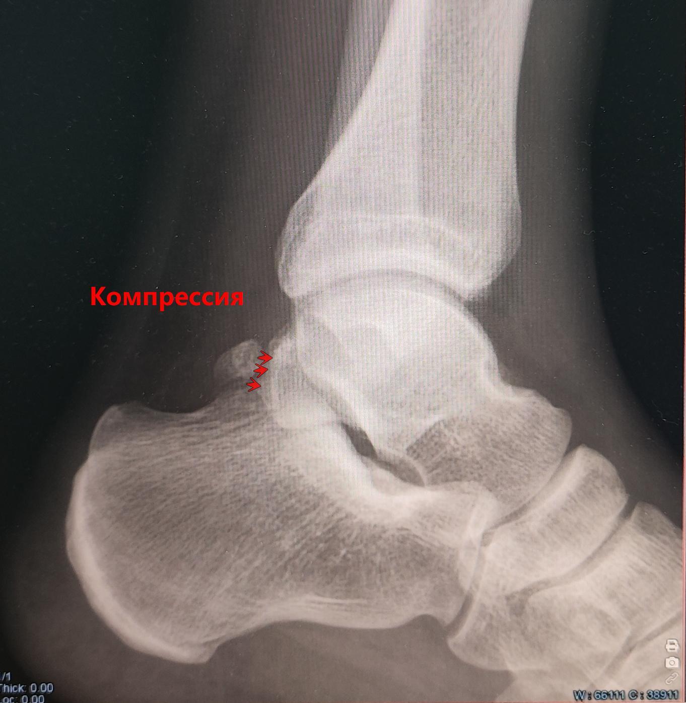
Из анамнеза-боли в левом голеностопном суставе при занятии спортом.
Описание: на Р-граммах левого гс/с в 2х проекциях суставная щель не сужена, субхондральный склероз, краевые остеофиты-не выявлены. По заднему контуру таранной кости определяется наличие дополнительной кости-os trigonum. Заключение:Os trigonum(аномалия развития левой стопы), наиболее вероятно вызывающая синдром компрессии таранной кости.
Категория годности с диагнозом Os trigonum(аномалия развития левой стопы), наиболее вероятно вызывающая синдром компрессии таранной кости-по статье 69г Б3-годен к военной службе с незначительными ограничениями.




