Долг Родине...1
Ответ на пост Обычный день в российской армии
я в армейке через такую хуйню прошел... и тоже были мысли "если переживу эту ночь, - заступлю в наряд, и ночью всех положу..." 20 человек...
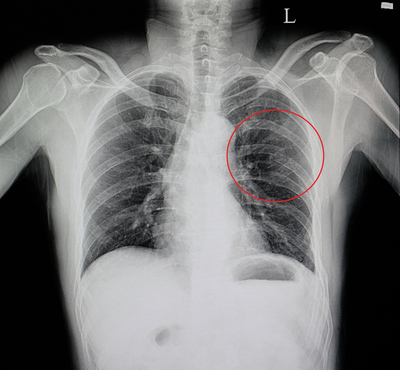
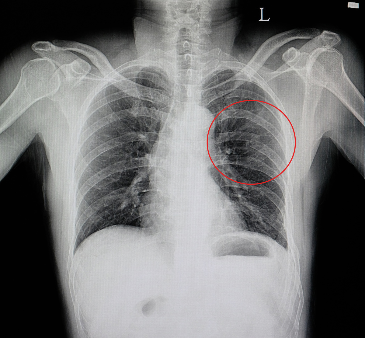
Дело было на Украине в 2002м часть называть понятно не буду, дедушки разжились бухлом, и по синему делу решили поучить жизни молодых, а так как я был из особо отличившихся, то и били меня с большим пристрастием чем остальных. В общем в одну не самую прекрасную январскую ночь, меня разбудил один из моих сослуживцев, уже прошедший экзекуцию, и я пошел в туалет, где меня уже ждали, 20 человек, бухих и скажем так, имеющие на меня зуб (это отдельная история...). Конечно прям так как на видео, лежачего не били, но... двое держат за руки спиной к стене, при этом каждый по очереди бьёт кулаком в грудь, отдельно запомнился старший сержант Сахаров - замок службы обеспечения. Я четко помню только первые два круга, третий круг уже как в тумане, помню только две мысли - молил потерять сознание, и если выживу, положу всех... Ни тому, ни другому не суждено было сбыться, хоть и не все помню, но до койки добрел сам, будить следующего не стал. Утром на зарядке пробежал 3км (перед пробежкой стянул грудь ремнями взятыми у друзей с моего призыва) брусья понятно я уже не осилил. На зарядке с нами был дежурный по части, он и инициировал телесную проверку, на которой всплыла моя грудная клетка сине-багрового цвета (мама мне в армию дала нательный крестик, оттиски от него были прямо по всей груди). Сначала меня отправили в районную, гражданскую больницу, потом ЧП разрослось аж до Генштаба, приехала проверка, полетели должности, меня отправили в окружной госпиталь, где я пролечился аж 2 дня и меня вернули обратно в часть. Дело замялось, меня лечили витаминками и йодными сеточками... Пока я отлеживался в санчасти, вся эта компания дембельнулась, и я слава богу не успел взять грех на душу (я был готов, и это чувство ненависти и бессильной ярости до сих пор со мной). Я выжил, не смотря ни на что, к переломам ребер (если правильно помню, в количестве 8-ми штук), в окружном госпитале добавили ушиб сердца, пневмоторакс и кровь в перикарде, доктор говорил, что скорее всего нужна будет операция. Служба осталась в далеком прошлом, я вспоминаю о ней даже с щемящей тоской (о плохом как-то и не вспоминается), но блядь... Отдать долг родине... Как я в свои 20 лет успел так задолжать, чтобы отдавать его такой ценой???
За 20 лет что-то могло забыться, а что-то приукраситься, но суть я думаю ясна...
Мне похуй если кто-то узнает здесь себя, горите в аду...

