Бегал марафоны с тромбом и даже не подозревал об этом!
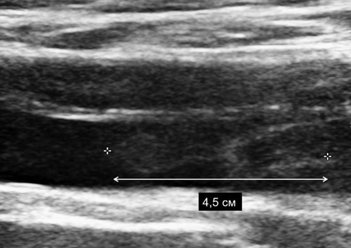
Ко мне на амбулаторный приём обратился пациент 40 лет с жалобами на увеличение в объёме левой нижней конечности. Нога ниже колена стала отекать пару недель назад, особенно после бега, а бегает он каждый день. Провоцирующий фактор выявить не удалось, получается "на ровном месте". Травм не было, длительных перелётов тоже. Пациент спортсмен, бегает марафоны, правильно питается, не имеет лишнего веса и вредных привычек, не принимает никаких препаратов на постоянной основе. Так же отмечает, что в последнее время появилась одышка при привычной физической нагрузке (плохой звоночек). При осмотре меня насторожила синюшная, отёчная голень, болезненная при пальпации (ощупывании руками). Приглашаю на УЗИ, ставлю датчик в проекции глубоких вен, и сразу бросается в глаза огромный тромб от голени почти до паха, болтающийся в просвете вены. Боюсь лишний раз надавить датчиком, чтобы от тромба не оторвался кусок и не полетел в лёгкие. (У каждого есть история, где у какого-то знакомого тромб "оторвался"). Крайне неприятная ситуация и для пациента и для врача. Удивляюсь, как пациент с таким огромным тромбом бегал ежедневно, ведь любая из этих пробежек могла стать для него последней. Говорю, что с такой картиной нужна госпитализация, пациент отказывается, ведь ничего особо не болит! Объясняю, что в любой момент может случиться "отрыв" и Бог знает, чем это закончится. Всё-таки всеми правдами и неправдами удаётся убедить молодого мужчину, что нужно ехать в больницу. Вызываю 103, бригада через 10 минут на пороге клиники, без разговоров забирают.
Мораль: если заметили у себя новые симптомы , которых раньше не было, обратитесь к врачу, не тяните! Особенно если какие-то жалобы появились «на ровном месте».
Больше информации про тромбозы в моем тгк https://t.me/serebrennikova_surgeon. Берегите себя!

История болезни
5.9K постов6.7K подписчиков
Правила сообщества
1. Нельзя:
- 1.1 Нарушать правила Пикабу
- 1.2 Оставлять посты не по теме сообщества
- 1.3 Поиск или предложения о покупке/ продаже/передаче любых лекарственных препаратов категорически запрещены
2. Можно:
- 2.1 Личные истории, связанные с болезнью и лечением
- 2.2 Допустимы и не авторские посты, но желательно ссылка на источник информации
- 2.3 Давать рекомендации
- 2.4 Публиковать соответствующие тематике сообщества, новостные, тематические, научно-популярные посты о заболеваниях, лечение, открытиях
3. Нужно
- 3.1 Если Вы заметили баян или пост не по теме сообщества, то просто призовите в комментариях
- 3.2 Добавляйте корректные теги к постам
4. Полезно:
- 4.1 Старайтесь быть вежливыми и избегайте негатива в комментариях
- 4.2 Не забываем, что мы живем в 21 веке и потому советы сходить к гадалке или поставить свечку вместо адекватного лечения будут удаляться.
5. Предупреждение:
- В связи с новой волной пандемии и шумом вокруг вакцинации, агрессивные антивакцинаторы банятся без предупреждения, а их особенно мракобесные комментарии — скрываются