Аномалия(мальформация) Арнольда-Киари 1(первого) типа
Это врожденное заболевание, при котором часть мозжечка (миндалины мозжечка) смещается вниз через большое затылочное отверстие (foramen magnum) в позвоночный канал. Это может приводить к сдавлению ствола головного мозга, нарушению циркуляции спинномозговой жидкости (ликвора) и появлению неврологических симптомов.
Основные характеристики:
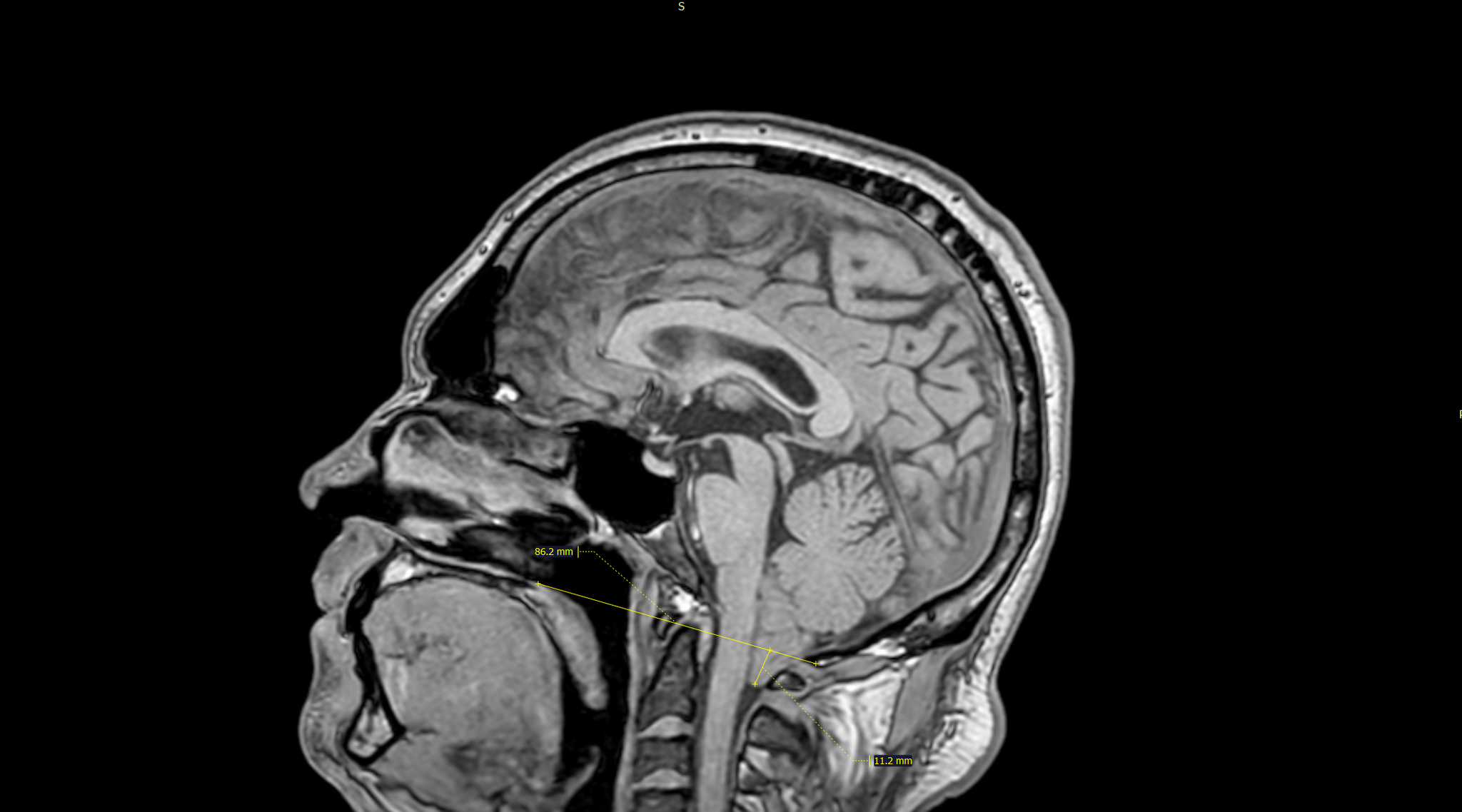
Смещение миндалин мозжечка ниже уровня большого затылочного отверстия (более чем на 5 мм).
Часто сочетается с сирингомиелией (образованием кист в спинном мозге).
Может быть врожденной или приобретенной (например, вследствие травмы или гидроцефалии).
Симптомы:
Симптомы аномалии Арнольда-Киари I типа могут варьироваться в зависимости от степени смещения и сдавления структур мозга. У некоторых пациентов заболевание протекает бессимптомно и обнаруживается случайно при обследовании. Возможные симптомы включают:
Головные боли (особенно в затылочной области, усиливающиеся при кашле, чихании или физической нагрузке).
Головокружение и нарушение координации.
Слабость в конечностях.
Нарушение чувствительности (онемение, покалывание в руках или ногах).
Нарушение зрения (двоение в глазах, нистагм).
Нарушение глотания и речи (дисфагия, дизартрия).
Шум в ушах.
Сирингомиелия (при наличии кист в спинном мозге) может вызывать дополнительные симптомы, такие как потеря чувствительности к боли и температуре, слабость в мышцах.
Лечение:
Лечение зависит от выраженности симптомов:
Бессимптомное течение — наблюдение у невролога, регулярное проведение МРТ для контроля состояния.
Консервативное лечение — при умеренных симптомах может включать:
Обезболивающие препараты.
Миорелаксанты.
Физиотерапию.
Хирургическое лечение — показано при выраженных симптомах или прогрессировании заболевания. Основная цель операции — декомпрессия структур мозга и восстановление циркуляции ликвора. Виды операций:
Декомпрессия задней черепной ямки (удаление части затылочной кости и дуги первого шейного позвонка).
Шунтирование (при наличии гидроцефалии или сирингомиелии).
Прогноз:
Прогноз зависит от степени выраженности аномалии и своевременности лечения. При своевременной диагностике и адекватном лечении (особенно хирургическом) возможно значительное улучшение состояния и устранение симптомов. Однако в некоторых случаях симптомы могут сохраняться или прогрессировать.
Смещение миндалин мозжечка ниже линии Чемберлена на 11мм.Заключение:Аномалия Арнольда-Киари 1 типа.
В Расписании болезней отсутствует указание по поводу выше представленной аномалии. Следовательно освидетельствование будет осуществляться по сопутствующим неврологическим нарушениям, степени их выраженности.

