mar1nel
поставил
48 плюсов и 0 минусов
126
рейтинг
1 подписчик
5 подписок
3 поста
1 в горячем
Награды:
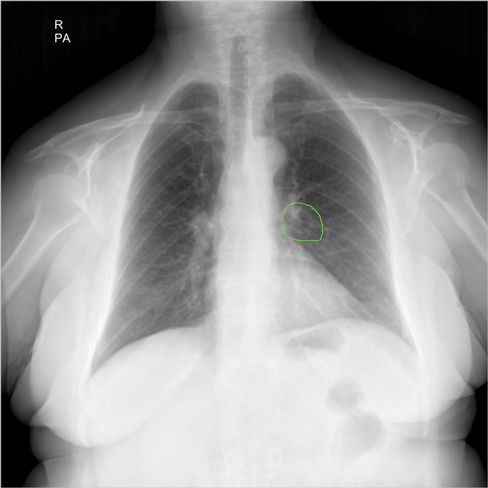
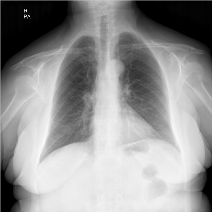
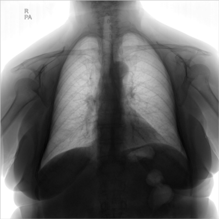
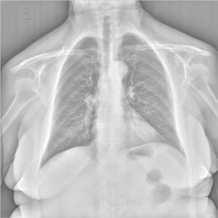
Прошу помощи у лиги медиков в расшифровке рентген снимка
Здравствуйте, я работаю лаборантом в рентген кабинете, в госпитале, в Ливий. К сожалению у нас нет рентгенолога, и в некоторый случаях мне приходиться "читать" снимки самому... Со мной вместе работает мама, она медсестра в реанимаций. Ей сейчас 67 лет, решил сделать ей рентген лёгких, на боли в груди она не жалуется. Я начал изучать снимок и увидел образование в форме круга в левом легком возле бронха, подскажите мне пожалуйста что это такое и стоит ли мне беспокоится. Фото в негативе и позитиве прилагаю ниже.
Показать полностью
4















