Живность
Как и обещала, пилю пост про моих, если можно так выразиться, питомцев.
Давно желала вырастить маленькую колонию микроорганизмов. Заказала стерильные чашки в своих интернетах. Пока они летели ко мне домой, я искала агар-агар. Его в моем городе достаточно сложно найти, но всё же возможно.
Итак, чаши прилетели, питательная среда есть — я готова к эксперименту.
В начале было 5 чашек:
Пронумеровала их для себя, естественно, нигде не записав, в какой чаше что есть. Доверяю своей памяти.
Первую пришлось выбросить сразу — Накосячила, пока заливала агар. Поверхность была неровной, и сколько я не ожидала, никаких пятнышек, полосочек не появилось.
Вторая была с почвой.
Я заносила на уже застывшую поверхность среды ватной палочкой образцы.
И эту чашу тоже пришлось потом выбросить, потому что прекраснейшие куски земли на агаре не давали мне покоя.
Третий образец — то, что мы называем сукровицей.
Я нанесла её на питательную среду, потому что решила проверить, есть ли в ней микроорганизмы, и если да, то какие.
Ничего не появилось спустя месяц после начала эксперимента, и я бросила в мусорное ведро и этот образец.
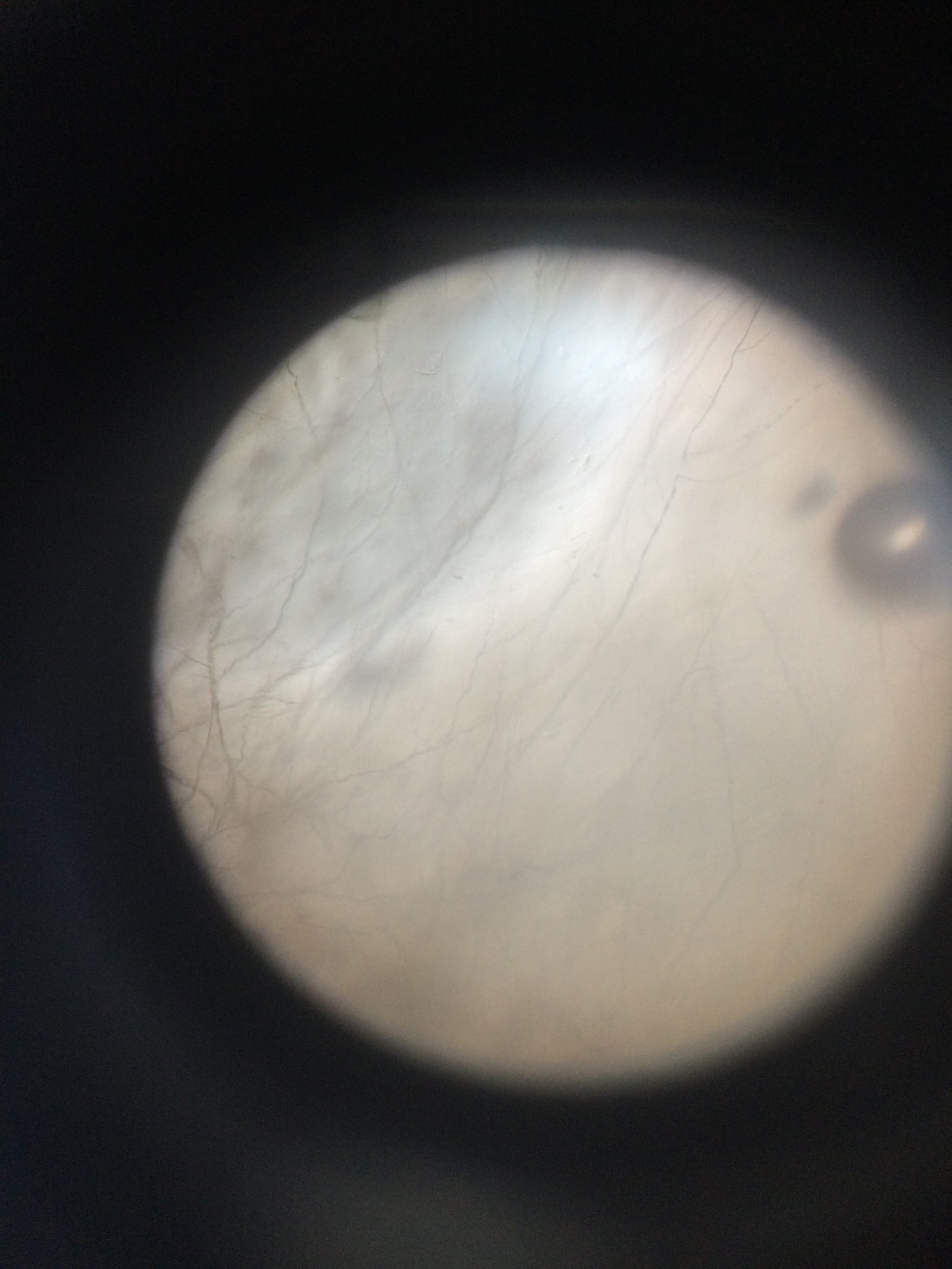
В четвертую чашу я покашляла :)
Но результата особого не было... Посему и сию чашу я отбраковала. Но только после того, как посмотрела её содержимое под микроскопом.
Пятый образец — мой самый любимый.
Это была пыль.
Я обильно нанесла её на агар-агар, и спустя два месяца меня порадовало очень разнообразное содержимое чаши №5.
Это фото сегодняшнее (остальные из поста — оставшиеся в архивах). На снимке видно, как микроорганизмы съели среду (заливается агар до краев чаши, да и в высоту слой был толще).
Живность пятой чаши под микроскопом:
Вот это было с краю:
Сейчас на чаше эти штуки пропали и их не видно, но выглядело это как тоненькая белая паутинка по краю среды (рисунок схематичен, надеюсь, тут всё понятно):
Остался в живых только пятый образец, сейчас я делаю новую "партию". Могу написать пост с фото о том, как это делается.
Спасибо за внимание.









