Тотальное протезирование в стоматологии
Всем привет!
Наконец-то дошли руки до написания очередной статьи. Ну как дошли… Начать писать ее можно было бы еще полгода назад. А я люблю рассказывать о полностью завершенном клиническом случае с долгосрочными наблюдениями. Поэтому большинство моих статей это в среднем 2 года, описанные в 5 минутном очерке.
Было решено, что если я хочу баловать вас своими статьями, то стоит публиковать их пусть и незавершенными, но интересными, заставляющими ждать продолжение. Прямо как сериал, который уже изрядно подзаебал, но досмотреть надо. Ах да…мат… Если это первая моя статья, которую вы начали читать - да не сгорит ваш пукан.
-----------------------------------------------------------------------------------------------------------------------
-----------------------------------------------------------------------------------------------------------------------
ВНИМАНИЕ!-Uwaga!-Pažnju!-Attention!-Achtung!-Attenzione!-ВНИМАНИЕ!-Uwaga!-Pažnju!
Ниже будут представлены фотографии, сделанные во время приема! С видами зубов, дёсен, крови и расчлененки. Слабонервных прошу отказаться от прочтения данной статьи!!!
-----------------------------------------------------------------------------------------------------------------------
-----------------------------------------------------------------------------------------------------------------------
Сегодня я делюсь с вами очередным клиническим случаем, который берет свое начало в декабре 2024 года.
Стояла поздняя осень. Конец ноября. Стоял и я. На улице снежок, морозец жмёт, поднял воротничок… Как вдруг приходит сообщение от моего читателя. Да-да, я своего рода популярный писатель. Не помню, что именно было в тот день, но помню точно – смеркалось. А закат был ал, был ал как коленочки…
Возможно, именно сейчас Владислав читает эти строки вместе с вами и вспоминает, как все начиналось. Как же мне было приятно услышать положительные отзывы о моих работах и уж тем более то, что Владислав доверил мне лечение своего папы.
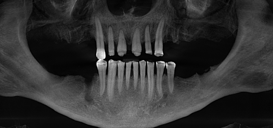
Я подготовился к приему заранее, посмотрел компьютерную томографию, которую он мне прислал.
И будет фарш,
И будет мясо,
И будет закат.
По снимку видно, что необходим комплексных подход к проблеме, который будет включать в себя мою работу, как хирурга, так и смежных специалистов. Гигиениста, ортопеда и терапевта.
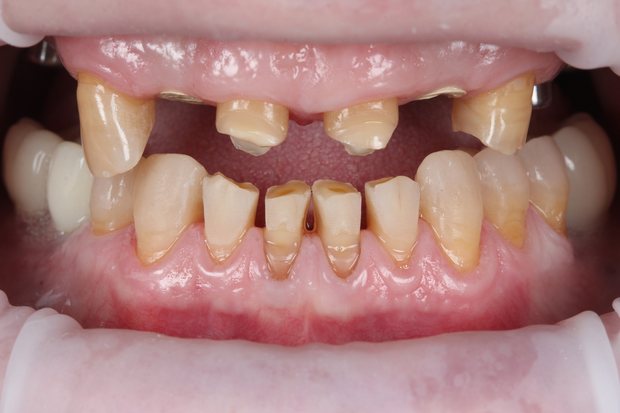
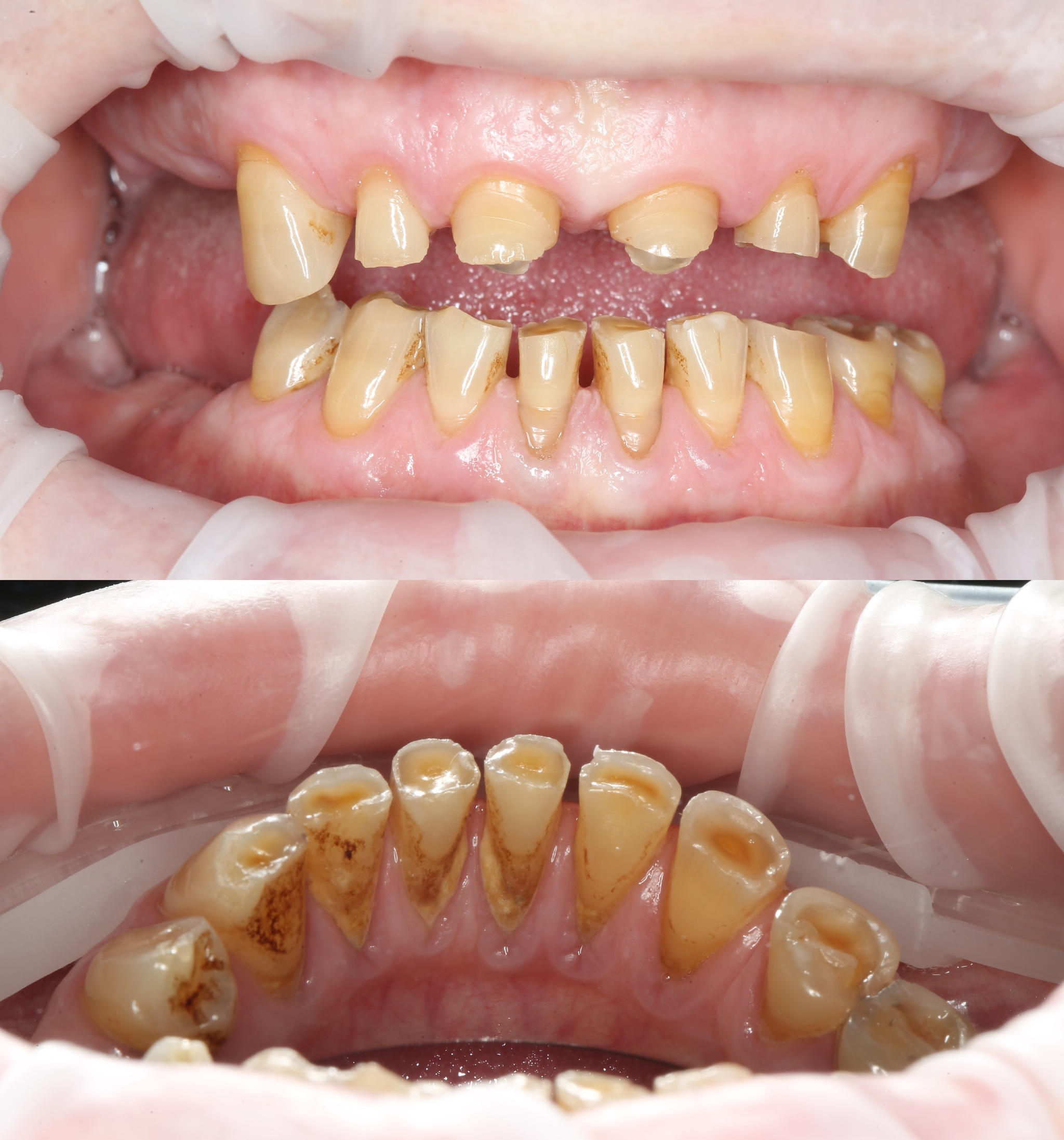
В полости рта ситуация выглядит так:
Отмечается сильная истираемость зубов в связи с длительным отсутсвием полноценного контакта в жевательном отделе.
В связи с тем, что Руслан приезжает из другого города, первым делом я провел удаление всех зубов, которые невозможно было сохранить. Потому как часики тикают, а заживление после удаления занимает около 2 - 3 месяцев.
И вот спустя 2.5 месяца в феврале 2025 Руслан снова приехал в Москву.
Первым делом была проведена профессиональная гигиена полости рта. Соглашусь, ее нужно было сделать еще до удаления зубов, но мы не укладывались в сроки.
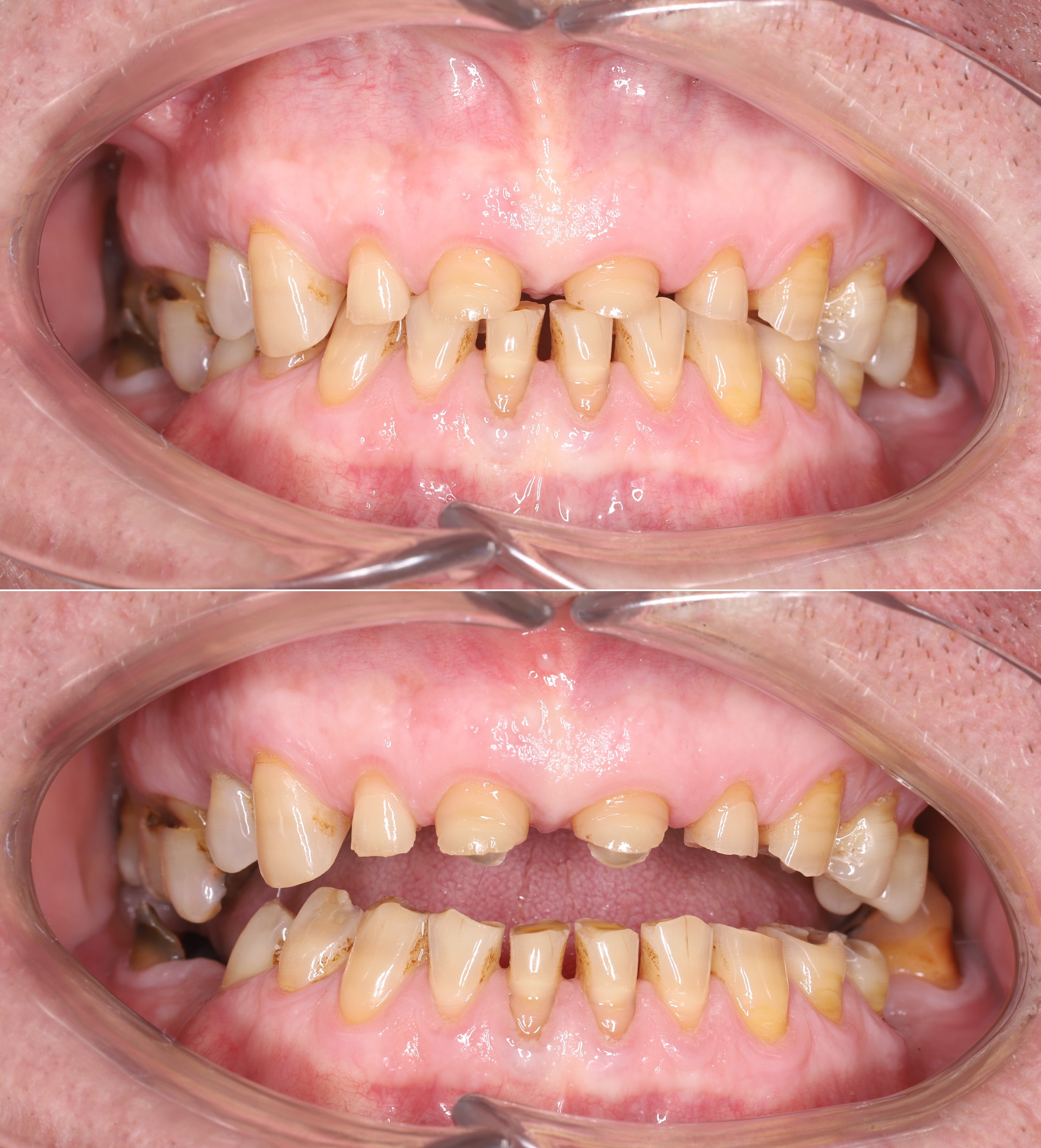
Отмечается пигментированный зубной налет и отложения солей камней в области зубов на нижней челюсти с язычной стороны.
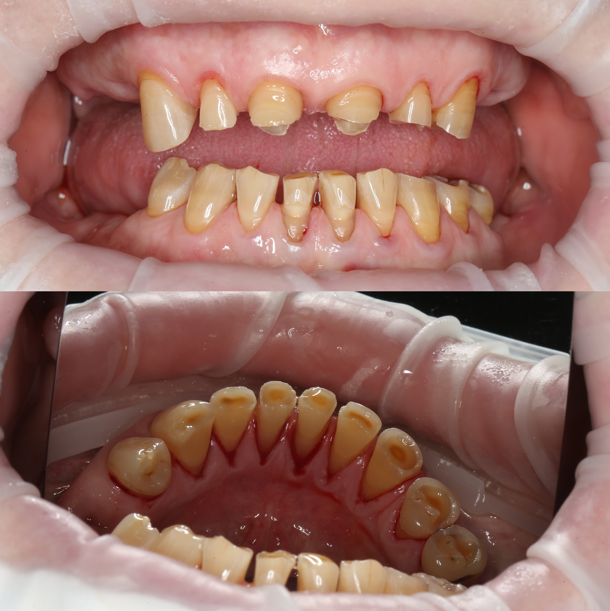
После чистки:
Уже на следующий день была запланирована имплантация.
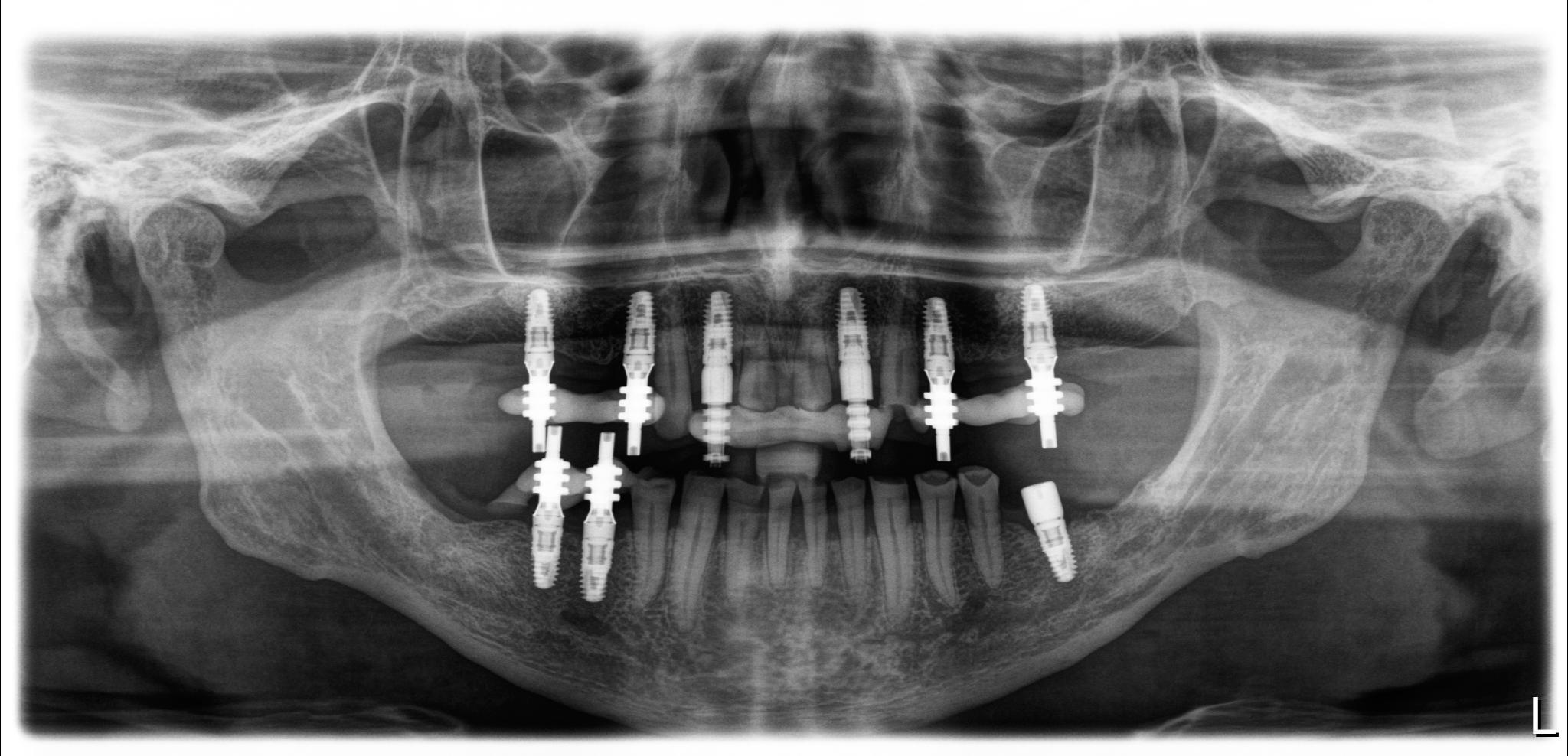
Дабы не перегружать вас обилием одинаковых картинок, я оставлю один рентгеновский снимок, но отмечу, что установка имплантатов на верхней и нижней челюсти проводилась с разницей в 10 дней.
На верхней челюсти было дополнительно удалено два боковых резца с одномоментной установкой имплантатов, так же они были установлены в области четверок и шестых зубов. Дополнительно было проведено наращивание костной ткани - двусторонний синус - лифтинг. О том, что это такое, можно почитать ТУТ и ТУТ.
После нехитрых манипуляций мы прощаемся с Русланом на 4 месяца.
Этого времени достаточно на приживление имплантатов.
Правда продолжили мы лишь через полгода, а именно в августе 2025. Так пожелал Руслан.
Снова была проведена профессиональная гигиена:
После чего пациент был направлен к ортопеду на слепки:
Спустя две недели произведена фиксация временных коронок.
Коронки на имплантатах на нижней челюсти:
Параллельно я удалил два центральных верхних резца, после чего были зафиксированы все остальные временные коронки.
Подчеркну - коронки временные (!), все они будут заменены на постоянные.
Будут одинакового цвета и тд и тп.
Именно поэтому я люблю публиковать статьи с законченным лечением. Чтобы вы могли насладиться результатом в полной мере.
Так как завершение работы может растянуться еще на полгода - год, я решил, что начну-ка я эту статью уже сейчас. Но обещаю, как только у меня будут фотографии итоговой работы, я сразу с вами поделюсь.
Контрольный рентгеновский снимок:
Вот так было:
А как стало на промежуточном этапе:
Согласитесь, выглядит очень даже неплохо, если опустить цвет.
Спасибо за внимание.
С уважением, Андрей Дашков
-----------------------------------------------------------------------------------------------------------------------
-----------------------------------------------------------------------------------------------------------------------
К слову, поставьте галочку в настройках - показывать статьи с тегом"жесть"! В противном случае, многие мои статьи вы не увидите.
-----------------------------------------------------------------------------------------------------------------------
-----------------------------------------------------------------------------------------------------------------------
Что еще почитать?
Про имплантацию зубов и костные пластики:
Про зубы мудрости и их удаление:
Про профессиональную гигиену полости рта:
И, конечно:
- Голая правда (статья о формировании стоимости лечения в стоматологической клинике)

















