Само не нарастет. Только резать. Пластика рецессий десны
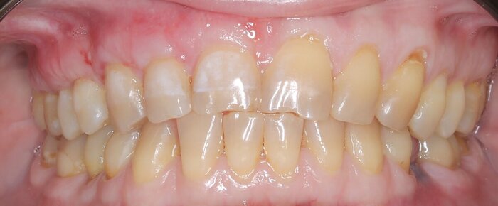
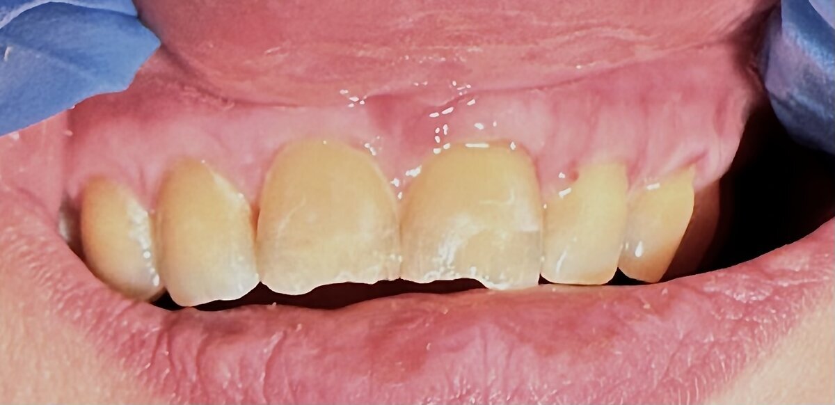
Оголение корней штука неприятная. Но только лишь для тех, кто по этому поводу «парится»: чувствительность зубов появилась или просто не устраивает такая вот эстетика.
В других случаях пациента такая проблема беспокоит мало. Беспокоятся доктора, которые его наблюдают. Иногда - сильно и чрезмерно.
И зря делают. Все эти страшилки про «выпадет» зуб, сгниет корень хоть и имеют под собой почву, но такие случаи не часты, можно постараться их игнорировать.
Если пациент говорит, что его ничего не беспокоит - оставьте его в покое. В случае с рецессиями лучше так и поступить. Конечно, если планируется какое-то дальнейшее комплексное, дорогое лечение с тотальной ортопедией, ортодонтией и важна каждая деталь - беремся за дело. Кто мы такие, что бы портить всю картину😁
Что же делать, если рецессии жить не дают?
Не паниковать, найти несколько клиник и докторов и отправляться в путь - собирать мнения, смотреть портфолио, слушать в оба уха и мотать на ус.
Разберем клинический случай из моей практики.
Пациентка планирует установку виниров на верхние фронтальные 5 зубов. С ортопедом они приходят ко мне и просят подсобить в этом хорошем деле.
Не могу отказать.
Но расширяю зону своей работы. Решаем оперировать всю верхнюю челюсть в 2 этапа.
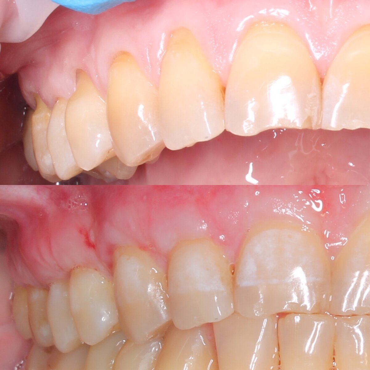
Да, лечение оперативное. Если вкратце - берём лоскут с нёба, делаем доступ в области шеек зубов - специальным инструментом десну отодвигаем, расщеплённый (срезаем кожу и жирок) лоскут с нёба закладываем в этот десневой туннель, подтягиваем наверх - вуаля, оголенные корни закрыты.
Для начала изготавливаем защитную капу на нёбо. Она будет создавать давление на донорский участок, препятствовать кровотечению, защищать от травмы при приеме пищи.
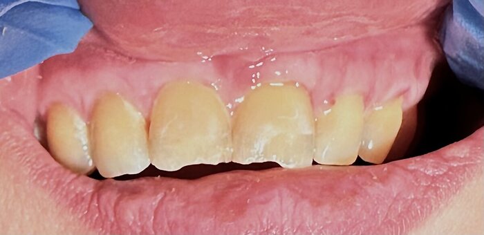
Через 2 недели снимаем швы.
Выглядит уже симпатично)
Через 3 месяца прооперировали другую сторону.
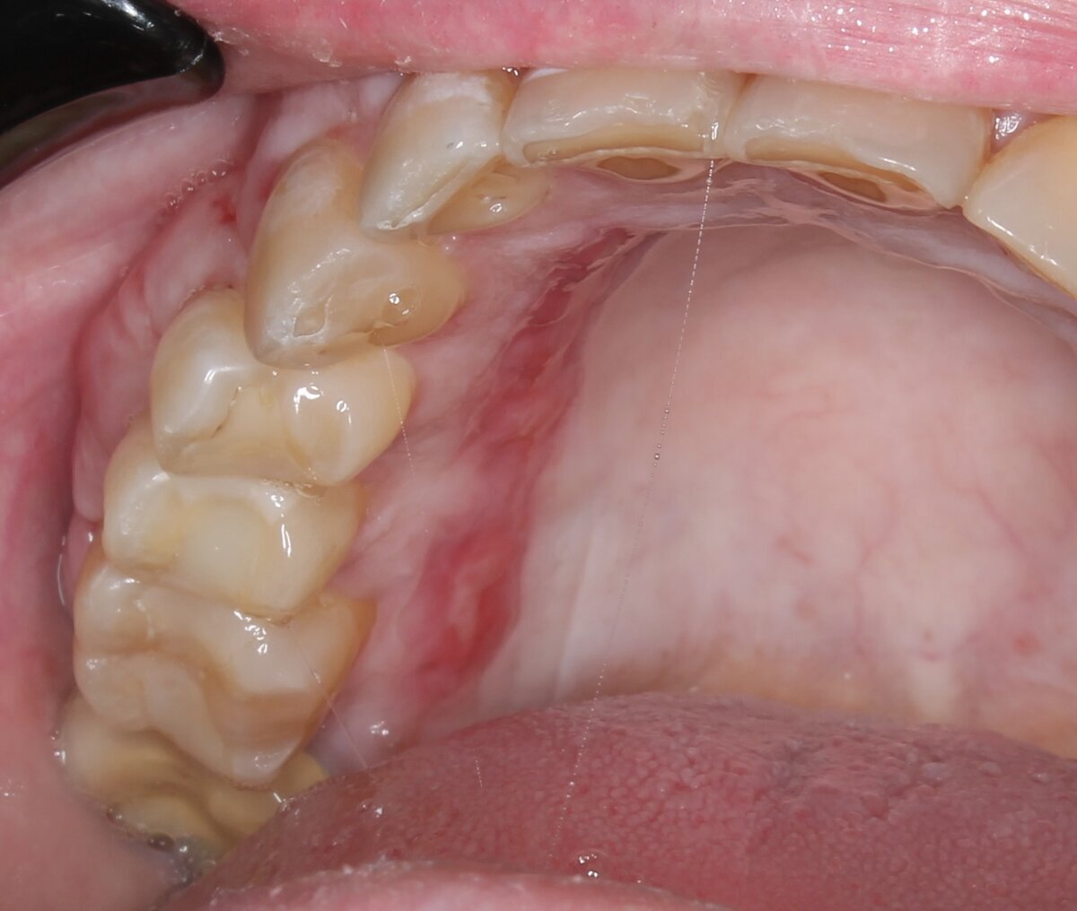
Фотографировала на телефон. Прошу простить за качество.
Как итог - пациентка очень довольна. Оказывается, она не призналась изначально, что были большие проблемы с чувствительностью зубов. Человек не верил, что операция поможет, все затевалось только ради эстетики.
А тут такой неожиданный бонус.
Впереди виниры и, можно сказать, новая жизнь.






