МРТ-Атрофия головного мозга
Атрофия головного мозга (церебральная атрофия) – это прогрессирующее уменьшение объема мозга за счет гибели нейронов и разрушения нервных связей. Это состояние может затрагивать как весь мозг (диффузная атрофия), так и отдельные его участки (локальная атрофия).
Основные причины атрофии головного мозга:
Возрастные изменения – естественное старение мозга.
Нейродегенеративные заболевания:
Болезнь Альцгеймера
Болезнь Паркинсона
Деменция с тельцами Леви
Лобно-височная деменция
Хорея Гентингтона
Сосудистые патологии:
Хроническая ишемия мозга (из-за атеросклероза, гипертонии)
Перенесенные инсульты
Травмы головного мозга (посттравматическая атрофия).
Инфекции (нейросифилис, ВИЧ-энцефалопатия, хронический менингит).
Аутоиммунные и метаболические нарушения (рассеянный склероз, печеночная энцефалопатия).
Токсические воздействия (алкоголизм, наркомания, отравления тяжелыми металлами).
Генетические заболевания (например, лейкодистрофия).
Симптомы атрофии головного мозга
Зависят от локализации и степени поражения:
Когнитивные нарушения: ухудшение памяти, снижение интеллекта, деменция.
Неврологические симптомы: нарушения координации, речи, мышечная слабость, тремор.
Психические расстройства: депрессия, апатия, агрессия, раздражительность.
Эпилептические припадки (в некоторых случаях).
Диагностика
МРТ или КТ головного мозга – основной метод, позволяющий оценить степень атрофии.
Нейропсихологические тесты для оценки когнитивных функций.
Лабораторные анализы (исключение инфекций, метаболических нарушений).
Лечение
Полностью остановить атрофию нельзя, но можно замедлить ее прогрессирование:
Лечение основного заболевания (например, контроль артериального давления при гипертонии).
Препараты для улучшения мозгового кровообращения и метаболизма.
Антидепрессанты или нейролептики при психических нарушениях.
Когнитивные тренировки (упражнения для памяти, речи).
Здоровый образ жизни (отказ от алкоголя, правильное питание, физическая активность).
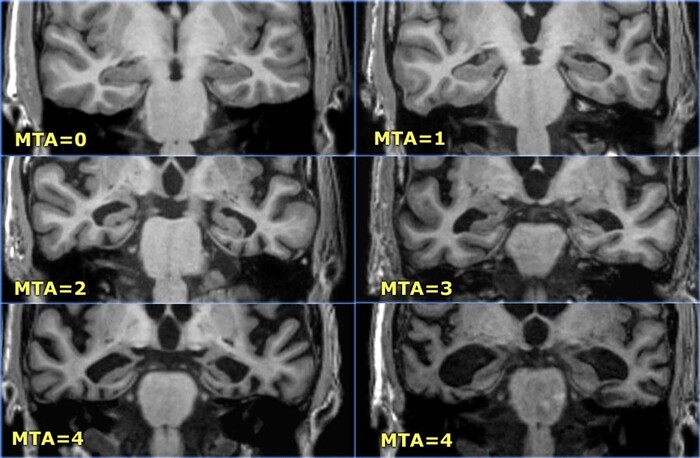
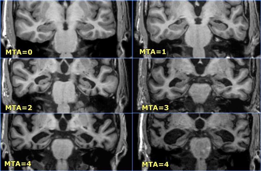
1) MTA-score (Шкала атрофии медиальных отделов височной доли)
Используемая для дифференциации умеренных когнитивных нарушений, изменений при болезни Альцгеймера от пациентов без нарушений.
Основывается на визуалиной оценке ширины хориоидальной щели, ширины височного рога и высоты гиппокампа:
0: нет атрофии
1: хориоидальная щель слегка дилатирована;
2: умеренная дилатация хориоидальной щели, слегка увеличенный височный рог бокового желудочка и слегка уменьшенный по высоте гиппокамп;
3: значительная дилатация хориоидальной щели, умеренное увеличение височного рога бокового желудочка и умеренное уменьшение высоты гиппокампа;
4: значительная дилатация хориоидальной щели, значительное увеличение височного рога бокового желудочка и значительная атрофия гиппокампа с потерей внутренней структуры.
< 75 лет: результат 2 или больше – патологические изменения.
> 75 лет: результат 3 или больше – патологические изменения.
2)Шкала Фазекас (Fazekas)-это шкала оценивающая "неполные" инфаркты головного мозга, характеризующиеся демиелинизацией, гибелью олигодендроцитов, утратой аксонов, глиозом, но не формированием очагов некроза:
Fazekas 0: Нет изменений или единичные мелкие очаги повышения МРС белом веществе
Fazekas 1: Множественные очаги повышения МРС белом веществе
Fazekas 2: Очаги с тенденцией к слиянию
Fazekas 3: Сливные фокусы и зоны
3)Шкала глобальной кортикальной атрофии (GCA-шкала) или шкала Pasquier, используемая для количественной оценки церебральной атрофии у пациентов с нейродегенеративными заболеваниями. Данная шкала предусмотривает оценку 13 разных зон головного мозга, обобщая изменения головного мозга в целом
Оценка следующих анатомических структур:
1. Расширение борозд:
лобное (слева и справа);
теменно-затылочное (слева и справа);
височное (слева и справа);
2. Расширение желудочков:
лобное (слева и справа);
теменно-затылочное (слева и справа);
височное (слева и справа);
третий желудочек;
Каждая из вышеперечисленных анатомических структур оценивается, используя следующие балльную систему:
0: нормальный объем/нет расширения желудочков;
1: расширение борозд/умеренное расширение желудочков;
2: потеря объема извилин/существенное расширение желудочков;
3: атрофия по типу «лезвие ножа»/тяжелое расширение желудочков;.
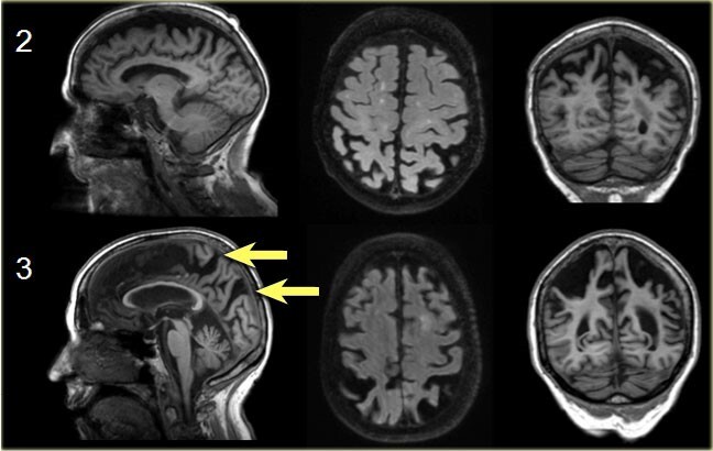
4)Шкала Коэдама (Koedam), используемая для оценки теменной атрофии при атипичной форме болезни Альцгеймера или ранним началом данного заболевания
Необходимо выполнить сканирование в 3 плоскостях для оценки анатомических структур:
1. сагиттальная проекция:
задняя часть поясной борозды,
теменно-затылочная борозда,
преклиновидная извилина;
2. корональная проекция:
задняя часть поясной борозды,
теменная извилина;
3. аксиальная проекция:
задняя часть поясной борозды,
теменные доли.
Подсчет в баллах (от 0 до 3) на основании выявленных отклонений:
Степень 0: борозды маленькие, нет атрофии извилин;
Степень 1: умеренное расширение борозд, умеренная атрофия извилин;
Степень 2: существенное расширение борозд и атрофия извилин;
Степень 3: еще большее расширение борозд, атрофия извилин по типу «лезвие ножа».







