Из жизни рентгенолога. Часть 18.
Давно не было постов – сначала учился месяц на факультете повышения квалификации, потом был в отпуске.
Сегодня в посте:
- “золотые нити” в мягких тканях лица и шеи
- перелом ключицы со смещением у ребенка
- синовиальный остеохондроматоз
- грыжи Шморля
- метастазы рака нисходящей кишки в легкие
История 1. Золотые нити
Женщина, 52 года, жалобы на боль в шее (патология не связана с нитями, если кто-то вдруг может так подумать). Смотрю первый снимок и не могу понять, что не так. Спрашиваю, были ли у нее операции? Да, говорит была косметическая процедура вплетения “золотых нитей” в мягкие ткани лица и шеи. Выглядит довольно криповато)
Сразу отвечу на вопрос, выглядит ли она моложе своих лет - нет. А то и старше)
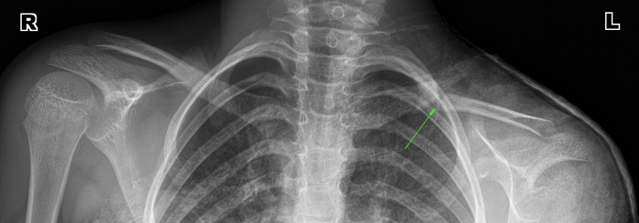
История 2. Перелом ключицы со смещением у ребенка
Травма случилась 6 марта, в предпраздничный день в детской больнице после рентгена сказали, что обычный перелом, смещения нет, наложили гипс и отпустили. Однако сегодня, 24 марта на контрольном снимке я вижу выраженное смещение каудального отломка книзу до 6 мм, ось кости деформирована углом, открытым книзу, до 40 градусов, Консолидация слабая. Рекомендую пока гипс не снимать, сходить к нормальному детскому травматологу-хирургу, наверняка он будет рекомендовать операцию с установлением пластины. Иначе срастется как попало, плечо будет ниже, испортится осанка и будет еще много разных проблем.
История 3. Грыжи Шморля
Грыжа Шморля - это прорыв хрящевой ткани из межпозвонкового диска в тело позвонка.
При возникновении грыжи Шморля хрящ из межпозвонкового диска оказывается прочнее самого позвонка и продавливает его (продавливает кость). То есть, по сути, грыжа Шморля - микроперелом костной ткани позвонка. Этот микроперелом чаще происходит у тех людей, у которых кости позвонков слабые, непрочные. Иногда грыжи Шморля появляются у пожилых людей из-за сильного остеопороза - возрастного снижения плотности и прочности костей. Или у здоровых молодых людей - в результате сильного удара (падения) вертикально сверху вниз, а также при подъеме чрезмерных тяжестей и некоторых редких заболеваниях. Рентгенологи предпочитают писать в заключении не "грыжи", а "узелки", дабы не сильно пугать пациента.
Вот как это выглядит на схеме:
А вот как это выглядит на снимке. Женщина, 35 лет, травм не было. Обратите внимание, грыжи Шморля указаны двумя нижними стрелочками, а верхней указано обызвествление межпозвоночного диска.
История 4. Синовиальный остеохондроматоз
Синовиальный хондроматоз (синдром Лотша, коралловый сустав) относят к группе костных и хондроматозных новообразований. Это сравнительно редкое, длительно прогрессирующее доброкачественное заболевание, характеризующееся образованием множества хрящевых новообразований – хондроманозных телец в толще синовиальной оболочки суставной сумки, которые в дальнейшем отделяются в суставную полость и обызвествляются.
Хондромы возникают изнутри синовиальной оболочки как скопления хрящевых клеток, которые растут, выпячиваются в полость сустава, приобретают ножку. В конце концов ножка обрывается и хондрома (остеохондрома) оказывается свободным телом, продолжающим расти, увеличиваясь в размере. Когда в суставе только одно или два свободных тела, то первым симптомом может оказаться блокада сустава.
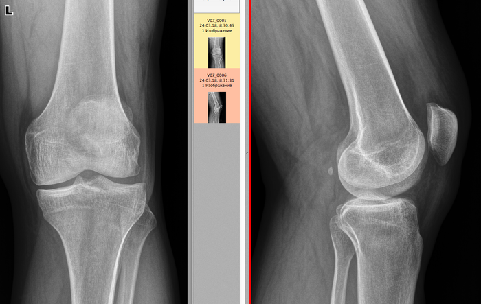
Вспомним, как выглядит сравнительно здоровый коленный сустав:
А теперь к вышеописанному заболеванию. Мужчина, 60 лет, в анамнезе множественные травмы коленного сустава (разрывы связок, переломы). В проекции супрапателлярной сумки две высокоинтенсивные тени овальной формы, с неровными, четкими контурами, неоднородной структуры, размером 45х16 и 32х17 мм.
Нижней стрелочкой указан выраженный артроз коленного сустава 3-4 ст.
История 5. Метастазы рака нисходящей кишки в легкие
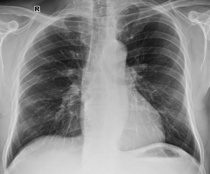
Интересная, но очень грустная серия снимков в динамике. Мужчина, 64 года, заболевание началось менее 2 лет назад, наблюдался у онколога. У нас впервые был в июле 2017 года – легкие были без метастазов:
Далее тот же пациент в декабре 2017 года, появились множественные метастазы - разноколиберные тени округлой формы с четкими ровными контурами, разной интенсивности (от слабой до высокой), максимальным размером до 25Х22 мм, больше справа.
За последние 3 месяца – ухудшение самочувствия, постоянная слабость, на снимках - выраженная отрицательная динамика по сравнению с предыдущими исследованиями. Снимок от 22 марта 2018. Указывать стрелочками смысла нет, и так все видно.
Вот так, менее чем за два года жизнь относительно здорового мужчины может полностью измениться.
На сегодня все. Берегите себя.










