Испортили зуб, что делать ? Или не всё потеряно
Добрый день, уважаемые доктора!
Лечился я около 13 лет у одного доктора в частной семейной клинике, всё было хорошо, как мне казалось. Пару лет назад я стал задумываться, что пломбы этого доктора, которые были поставлены года 3-4 назад приходится менять, т.к. по контуру образовывался темный налет, выступали края. Начал штудировать информацию про современные методики лечения - кофердамы, микроскопы и тд. Мой доктор этим всем не пользуется - ватные валики, без микроскопа. И , судя по всему это и есть причина постоянных рецидивов.
Записался в довольно известную московскую клинику, где есть микроскопы и кофердамы и т.д. Сделали КТ - на КТ увидели под пломбами на 6 и 7 нижних левых зубах вторичный кариес. Мой доктор подтвердил, что да, это кариес, надо менять пломбы. Тут я психанул и решил, что уже не пойду к своему доктору, раз она мне пропустила такое...Решено лечиться в новой клинике у молодого доктора. Отзывы очень хорошие, но не факт, что они реальные.
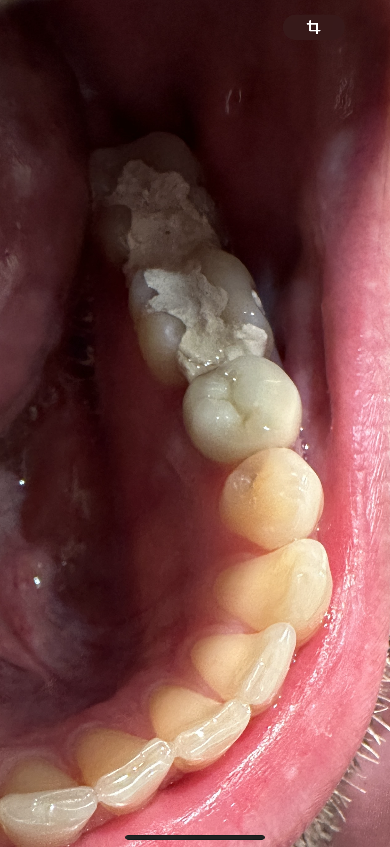
Зубы сделали в 2 захода, сначала рассверлили всё, мне это далось архи-тяжело, около 40 минут на 2 зуба только сверления. Поставили временные пломбы и во второй заход уже поставили пломбы, это было еще около 2 часов. В итоге всё сделали, проверили контакты копиркой, подпилили, подшлифовали. Отходит анестезия и я понимаю, что рельеф 6 зуба изменился СИЛЬНО и я ощущаю это боковиной языка. Бугор который ближе к языку и 5-ке стал острым, а не плавным как был до лечения. Вообще весь край 6-го зуба со стороны языка стал острым.
Постараюсь показать на фото в чем проблема. Когда я ходил с временными пломбами этот бугор был плавный, у меня четкое ощущение, что врач спилила его в процессе проверки контактов, потому что я ощущал запах "паленого зуба" когда она подпиливала пломбу. Я вообще не понимаю зачем доктор мне сточил этот плавный бугор мой родной.
Память языка четко ощущает, что этот внутренний край был мягче и вообще не вызывал никакого дискомфорта. Плюс появилось ощущение, что у 6 зуба как бы нет полного контакта с 6 наверху антагонистом, пища скапливается на поверхности сделанного зуба, ближе к стороне 5-го.
На языке с этой стороны я вижу отпечатки 6 и 7 зуба, на правой стороне никаких отпечатков нет, но там зубы в целом более покатые, нет острых углов.
В общем я ходил снова в ту больницу, мне шлифовали края 6 зуба, проверяли контакты артикуляционной бумагой, всё ОК. Сказали, это норма. А я вот теперь думаю , что мне с этим делать, стоит переделывать этот острый край и заново ставить пломбу , как-то наращивать ? Может стоит установить керамические вкладки на 6 и 7 зуб учитывая размер полостей и как раз вкладками сделать нормальные плавные бугры без такой остроты ?





Стоматология
771 пост2.9K подписчиков
Правила сообщества
Людям без соответствующего образования не ставить диагнозы и не советовать лечение, врачам и мед. работникам соблюдать принципы этики и деонтологии.