Дело австралийской Медеи: следствие ведут ученые
90 ученых, в том числе два нобелевских лауреата, требуют от австралийских властей освободить самую известную серийную убийцу страны. Она сидит в тюрьме с 2003 года по обвинению в убийстве четырех своих детей. Главные аргументы ученых — сиквенс генома осужденной и несколько научных статей. Что такого узнали генетики за 18 лет со дня приговора?
Они умирают
«Я винила себя во всем, — жаловалась Кэтлин Фолбигг в 2018 году. — Я просто взяла на себя слишком много ответственности, потому что так делают все матери».
Младенцы умирают часто — по крайней мере, чаще, чем их родители. Причем риск смерти для них тем выше, чем они младше — даже если отбросить в сторону несчастные случаи и стихийные бедствия и учитывать только естественные причины смерти. Но о том, что это за причины, мы знаем совсем немного.
Смертность от естественных причин на 100 000 человек в зависимости от возраста Elvira D. Kinzina et al. / Cell Reports, 2019
20 февраля 1989 года мистер Фолбигг проснулся от криков жены, которая нашла их сына Калеба мертвым в кровати. Никаких травм на теле ребенка, которому не исполнилось и трех недель, не было, равно как и следов посторонних людей в доме. Врожденных патологий у ребенка родители не замечали, лишь обращали внимание на то, что он шумно дышит. Приглашенный педиатр списал это на ларингомаляцию (незрелость гортанного хряща) в мягкой форме, которая должна была со временем исчезнуть — но, не дождавшись этого, Калеб, по словам его матери, просто перестал дышать.
В мировой статистике детской смертности лидирует традиционный набор инфекционных болезней: пневмония, диарея, малярия, корь, СПИД, туберкулез. Но если сузить выборку до развитых стран, где этими инфекциями болеют гораздо реже, то список получится совсем другим. Чаще всего в смерти новорожденных виноваты оказываются аномалии развития, на втором месте после них — осложнения, связанные с преждевременными родами и недоношенностью.
На третьем месте стоит тот самый диагноз, который поставили врачи Калебу — «синдром внезапной детской смерти» (СВДС). Начиная со второго месяца жизни он выбивается в лидеры среди убийц.
Число случаев СВДС на 1000 новорожденных в разных странах Jacqueline Müller-Nordhorn et al. / BMC Pediatrics, 2020
В 1990 году Кэтлин Фолбигг родила второго мальчика, Патрика. Он тоже казался здоровым ребенком, но однажды ночью, когда ему было четыре с половиной месяца, он внезапно начал задыхаться и синеть. Родители успели реанимировать ребенка и довезти до больницы, где ему диагностировали эпилепсию. Вскоре его выписали домой, где еще через несколько месяцев приступ повторился. На этот раз спасти его не успели, и он умер в больнице — по версии врачей, от остановки сердца, без каких-либо явных на то причин. Как и в случае Калеба, эту смерть списали на СВДС.
Название этого синдрома подсказывает, что мы толком не понимаем, в чем его суть и почему от него умирают дети. Одни врачи считают, что не справляется сердце, другие — что отказывает диафрагма. Третьи говорят, что дело в неудачном стечении обстоятельств: ребенок с врожденной предрасположенностью к этому синдрому подвергается действию стресса (например, табачного дыма или неудобной позы для сна) в критический период развития.
Кэтлин Фолбигг уговорила мужа на третьего ребенка. Он сразу поставил условие: обязательные консультации специалистов по СВДС. Сара появилась на свет в 1992-м. Врачи заметили у нее легкую форму апноэ (задержку дыхания во сне) и порекомендовали родителям специальное одеяло для мониторинга дыхательных движений младенца. Но прибор часто подавал ложную тревогу, и Кэтлин перестала накрывать им ребенка. Через неделю после этого Сара умерла — так же, как ее братья: легкая простуда, беспокойный сон, остановка сердца.
Единственное, что мы знаем о жертвах СВДС наверняка — так это то, что они умирают внезапно и без предупреждения, а однозначную причину не удается найти ни на месте событий, ни в медицинском анамнезе, ни после вскрытия.
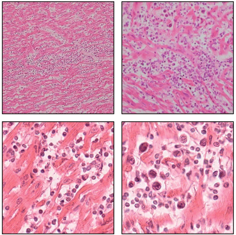
За четвертым ребенком Фолбиггов, Лорой, наблюдение установили с самого рождения, в 1997-м. Это был монитор, который тут же по телефону передавал сигнал врачам в больницу, хотя по результатам всех обследований Лора была здорова, за исключением легкого апноэ, как у старшей сестры. Новый аппарат тоже часто ошибался, чем сводил с ума Кэтлин Фолбигг, но муж настаивал на том, чтобы аппарат работал постоянно. Возможно, это одна из причин, по которой Лора прожила почти два года. Она умерла в 1999-м, после возвращения с прогулки. Единственная аномалия, которую врачи смогли у нее найти — это признаки легкого миокардита, воспаления сердечной мышцы.
Срезы сердца Лоры, сделанные на вскрытии. Скопление синих ядер — это иммунные клетки, признак воспаления Malene Brohus et al. / Europace, 2021
Кто виноват
Где-нибудь в середине XIX века никому не пришло бы в голову искать в этих событиях состав преступления. Дети умирали во младенчестве так часто, что средняя ожидаемая продолжительность жизни для новорожденных была в два раза меньше, чем для взрослых (40 против 79). Но к середине XX века детская смертность снизилась до таких значений, что массовая гибель младенцев в одной семье стала выглядеть подозрительно.
Одним из первых, кто увидел в этом проблему, стал британский доктор Рой Мидоу. Работая педиатром в больнице Лидса, он столкнулся с двумя детьми, которые страдали необъяснимыми заболеваниями. У девочки время от времени находили кровь и бактерии в моче, а мальчик страдал от приступов острой рвоты. Позже оказалось, что анализы девочки были фальшивыми — мать подмешивала в них собственные пробы, а сам ребенок был вполне здоров. Мальчика же, как оказалось, травили солями — тоже собственная мать — и в итоге спасти его не удалось. Оба эти случая доктор Мидоу опубликовал в журнале The Lancet в качестве поучительного примера и напоминания о том, как важно для врача относиться с долей разумного скепсиса к рассказам родителей о собственных детях. А для случая первой матери, которая сфабриковала болезнь своей дочери — вероятно, чтобы привлечь внимание к себе самой — Мидоу предложил использовать новый термин: делегированный синдром Мюнхгаузена.
К доктору и открытой им болезни, конечно, сразу возникло немало вопросов. Кого здесь считать пациентом, мать или ребенка? Как провести границу между настоящей болезнью и простым родительским недосмотром? И почему, собственно, педиатр берется ставить психиатрические диагнозы взрослым женщинам? Но, несмотря на эту критику, термин прижился и вошел не только в массовую культуру (его, например, заподозрила команда доктора Хауса у матери одного из пациентов), но и в практику психиатрических обследований. А Рой Мидоу получил звание профессора педиатрии и продолжил собирать свою статистику на младенцах из Лидса.
Показать, насколько опасен может быть делегированный синдром Мюнхгаузена, доктору Мидоу удалось лишь через пятнадцать лет, во время судебного процесса над Беверли Аллитт. Это медицинская сестра из Линкольншира, которую обвинили в убийстве четверых младенцев из местной больницы (еще шестерым удалось выжить). Мидоу выступил экспертом на заседании и показал, что Аллитт, судя по всему, страдала и «обычным», и делегированным синдромами Мюнхгаузена — то есть причиняла вред и себе, и своим подопечным — а значит, могла быть и дальше опасна для окружающих. Женщину посадили в тюрьму (где она находится уже почти 30 лет), а Роя Мидоу стали чаще приглашать экспертом на подобные процессы.
«Медея» Артемизия Джентилески, около 1620 года
Чем дальше, тем больше Мидоу обнаруживал свидетельств насилия матерей над их детьми. По его подсчетам, от 2 до 10 процентов детей, которых в то время считали погибшими от СВДС, на самом деле могли быть умерщвлены собственными матерями. В 1997 году он выпустил книгу «Азбука детского насилия» (ABC of Child Abuse), где перевел эти подсчеты в практическую рекомендацию для судей, которая получила имя «правила Мидоу»: одна внезапная детская смерть — это трагедия, две вызывают подозрение, а три — это убийство, если не доказано обратного.
Эти свои аргументы Мидоу воспроизводил и в судах, и был крайне убедителен. Так, в 1999 году он выступил на процессе Салли Кларк: суд рассматривал дело о смерти двух ее сыновей. Сама Кларк утверждала, что оба умерли внезапно, но на теле их оставались следы (например, деформация ребер), которые можно было принять за свидетельство неудачной реанимации — или намеренного удушения. В суде Мидоу заявил, что по его подсчетам в семьях, к которым относились Кларки (нестарым, некурящим и небедным), вероятность для ребенка умереть от СВДС составляет 1 на 8543. Перемножая две таких вероятности, настаивал Мидоу, вы получаете шанс примерно 1 из 73 миллионов. Никаких других причин, которые могли бы объяснить внезапную смерть двух детей подряд, ни Мидоу, ни судье известно не было. А поскольку обстоятельства смерти выглядели подозрительно, аргумент «от невероятности» оказался решающим — и Салли Кларк оказалась в тюрьме.
Правило Мидоу быстро и прочно вошло в судебную практику. Коль скоро вероятность совпадения настолько мала, то в случае любых внезапных детских смертей сразу появлялся подозреваемый, а, точнее, подозреваемая. Например, в 2001 году в Великобритании судили еще одну мать, Анжелу Кэннингс. Ее первая дочь умерла от СВДС, что подозрений не вызвало, но когда тот же диагноз получили еще двое детей Кэннингс, ее обвинили в убийстве. В отчете об этом процессе судья сравнил ситуацию Кэннингс с молнией, которая «не бьет трижды в одно и то же место». Если это происходит, логично предположить, что кто-то (или что-то) в этом замешан. И в таком контексте, по его мнению, все доступные свидетельства укладывались в версию о вине матери — включая и ее «странное поведение». В отличие от случая Салли Кларк, ничего похожего на физическое насилие на теле детей Кэннингс не нашли, но судью смутило, что после обеих смертей она бросилась звонить мужу раньше, чем в скорую помощь. Это обстоятельство подтвердило подозрения, вызванные «тройным ударом молнии». Кэннингс признали виновной.
Так за решеткой оказалась и Кэтлин Фолбигг. После смерти четвертого ребенка мистер Фолбигг обнаружил дневники жены, в которых она писала о своих детях — и тоже демонстрировала при этом крайне «подозрительное поведение». «Все, чего я хотела, когда была с Сарой, — писала, например, Фолбигг, — это чтобы она заткнулась. И однажды это произошло». Правило Мидоу сработало и на этот раз. Фолбигг получила пять приговоров: одно покушение на убийство (второго сына) и четыре убийства (из них одно — первого сына — по неосторожности). Вместе они принесли ей сорок лет тюремного заключения (которые позже сократили до тридцати) — а заодно и титул самой известной серийной убийцы Австралии.
Что делать
В 2001 году нашлись люди, которым аргументация Мидоу в судах показалась несостоятельной. Представители Королевского Статистического Общества заявили, что они обеспокоены тем, как доктор использует статистику — и разобрали несколько логических ошибок в его выступлении на процессе Салли Кларк.
Первая из них — это так называемая «ошибка прокурора». Фактически, суд обратился к Мидоу, чтобы выяснить, какова вероятность того, что Салли Кларк не виновна в двух внезапных детских смертях. Мидоу же ответил на другой вопрос: какова вероятность, что два ребенка умерли своей смертью, при условии, что Салли Кларк невиновна. В результате этой подмены никто не удосужился подсчитать вероятность того, что мать из благополучной семьи одного за другим убила двух своих сыновей — а эта вероятность могла тоже оказаться невысока.
Вторая ошибка заключалась в том, что он использовал средние значения смертности в стране, чтобы оценить риск смерти конкретных детей — не учитывая возможных факторов среды или семейных обстоятельств, которые могли повысить риск СВДС.
Наконец, он рассматривал события смерти как независимые и не допускал, что их может вызвать одна и та же причина. Однако они могли быть связаны друг с другом — если члены семьи несут общий ген, который их к этому предрасполагает. Годом раньше как раз появилось первое сообщение о варианте гена, связанном с риском СВДС.
На судах к Мидоу прислушивались около десяти лет. Переломным стал в 2003 году процесс Трапти Пател — очередной матери, потерявшей троих детей. Мидоу и в этот раз настаивал на том, что такое совпадение крайне маловероятно. Но генетик, работавший на стороне защиты, выяснил, что в роду Пател уже были похожие истории: ее бабушка потеряла пятерых детей во младенчестве. Так у череды смертей в семье Пател появилась вторая возможная причина, генетическая — и, в отсутствие других доказательств вины, женщину освободили.
«Медея» Эжен Делакруа, 1862 год
В том же году вышла на свободу Салли Кларк. У одного из ее детей при повторной экспертизе обнаружили золотистый стафилококк в легких и спинномозговой жидкости. Это означало, что он действительно мог умереть своей смертью — а если так, значит, речь шла об одном случае не на 73 миллиона, а уже на 8543 (если верить статистике Мидоу). Суд счел, что это недостаточно редкое событие, чтобы держать Кларк за решеткой.
Вслед за ней освободилась и Анжела Кэннингс. Предыдущие оправдательные приговоры послужили прецедентом, и судьям не потребовалось даже новых данных, чтобы пересмотреть вердикт по этому делу. Мы считаем, сообщили они, «что существует реальная, хоть и неопределенная, возможность того, что у этой семьи есть генетические трудности, которые могут помочь объяснить эти трагические события».
У необъяснимого синдрома, за которым доктору Мидоу виделись матери-убийцы, нашлись первые объяснения от биологии. И хотя ни Кларк, ни Кэннингс не получили никаких генетических диагнозов, громкие суды над «серийными убийцами» прекратились. Более того, генеральный прокурор Великобритании предложил пересмотреть все решения судов по подобным случаям за последние десять лет — правда, получил всего шесть апелляций. А в 2005 году после долгих разбирательств доктор Мидоу лишился лицензии за «ложное свидетельствование» в деле Кларк — с тех пор он не имеет права не только выступать в качестве эксперта в суде, но и вести медицинскую практику.
Все это время на другом конце планеты, в Австралии, Кэтлин Фолбигг продолжала сидеть за решеткой. Причем под стражей во имя ее собственной безопасности — чтобы никто не мог предать ее праведному самосуду (эти опасения оказались не беспочвенными: в канун нового года 2021 ее все-таки избила одна из заключенных). В 2005 году защита обжаловала приговор — но получила очередной отказ. Обвинение сочло, что «рассматривать каждый случай смерти по отдельности было бы несправедливо и искусственно». И хотя в британских судах ни о Мидоу, ни о его правиле уже не вспоминали, в Австралии статистика продолжала играть против Фолбигг: ни один из экспертов, которых опросило обвинение, не мог вспомнить случаев, когда по необъяснимой причине в одной семье умерли бы более трех детей.
Как доказать
18 лет назад, когда Фолбигг отправляли в тюрьму, ее защита не могла предоставить никакого альтернативного объяснения тому, что случилось с ее детьми. С тех пор представление врачей о внезапной детской смерти стало гораздо более подробным. Появились теории, которые связывают ее с дыханием или работой миокарда. Появились предположения о том, что в ранней детской смертности виноват не материнский недосмотр, а естественный отбор, который начинает свою работу еще внутри материнской утробы и продолжает в первые годы жизни ребенка, «отсеивая» носителей неблагоприятных мутаций. Появился перечень этих мутаций и реестр пациентов с такими мутациями — многие из которых тоже пережили по меньшей мере внезапную остановку сердца.
И если бы суд по делу Кэтлин Фолбигг заседал сегодня, то эксперты могли бы привести гораздо больше разнообразных примеров череды внезапных смертей. Они рассказали бы, например, про женщину, которая оказалась мозаиком по одной из мутаций — она возникла уже после оплодотворения и попала только в часть клеток. Поэтому матери мутация ничем не навредила, а вот двое из троих ее детей получили мутацию в наследство: дочь пережила внезапную остановку сердца, сына спасти не удалось.
Они рассказали бы и про семью марокканцев, в которой мать оказалась «бессимптомным носителем» такого же типа мутации. Из семерых ее детей мутацию унаследовали пятеро, четверо хотя бы раз испытали внезапную остановку сердца, и одного так и не удалось реанимировать. Они вспомнили бы и статью в журнале The Lancet о том, что не более 10 процентов «двойных смертей» в семье на самом деле оказываются насильственными.
«Медея со своими мертвыми детьми бежит из Коринфа на колеснице, запряженной драконами» Херман Эрнандес Аморес, около 1887 года
Вооружившись новыми данными, примерами и доводами, защитники Кэтлин Фолбигг попытались восстановить более подробную картину того, что произошло с ее детьми. В 2014 году они заказали повторную патологоанатомическую экспертизу, которая показала, что смерть Лоры может быть вызвана миокардитом, смерть Патрика — эпилепсией, смерть Сары выглядит действительно похожей на СВДС, а о смерти Калеба недостаточно информации, чтобы что-либо утверждать наверняка. В 2019-м защитники подключили к делу Фолбигг генетиков, которые отсеквенировали геном самой Кэтлин и всех ее детей — по образцам крови, оставшимся в роддоме.
Выяснилось, что обе дочери Кэтлин, Сара и Лора, были носителями мутации G114R в гене кальмодулина CALM2. Это белок, который отвечает за регулировку сердечных сокращений.
Внутрь клеток миокарда постоянно заходит кальций, который запускает сжатие мышечных нитей. Кальмодулин улавливает кальций, и, когда его накапливается слишком много, перекрывает кальциевый канал в мембране клетки. Мутантный кальмодулин с этой функцией не справляется, поэтому кальций продолжает «подтекать» внутрь клетки. В итоге сокращение получается слишком сильным — и перегружает мышечное волокно.
Мутаций такого типа известно уже немало. Они связаны с группой болезней, собирательно названных кальмодулинопатиями и чреватыми остановкой сердца. По крайней мере, та же мутация, которую несли клетки Сары и Лоры, только в соседнем, идентичном гене кальмодулина, обнаружилась в организме упомянутой выше женщины-мозаика. Поэтому авторы исследования предположили, что обстоятельства смерти девочек — предшествующая простуда у обеих и миокардит у Лоры — могли дать на сердце повышенную нагрузку, которую мышца не выдержала.
Мутацию обнаружили и у самой Кэтлин. И хотя она сама благополучно пережила младенчество, исследователи отметили, что и она иногда жаловалась на симптомы, которые могли свидетельствовать о проблемах с сердцем — например, она несколько раз падала в обморок во время беременности, после сильных стрессов и физических нагрузок.
Родословная семьи Фолбигг (А) и другой семьи с такой же мутацией (В). WT — копия гена без мутации Malene Brohus et al. / Europace, 2021
Сыновьям Кэтлин мутация G114R не досталась, поэтому для их смерти полноценного объяснения все еще нет. Генетики только предположили, что ее причиной могла стать эпилепсия. У обоих мальчиков они нашли мутацию в гене BSN. Насколько он важен для людей, пока неясно, но известно, что мутации в нем вызывают раннюю смертельную эпилепсию у крыс. К тому же, это объяснение согласуется с тем, что врачи диагностировали у второго сына Фолбигг эпилепсию.
Как именно и почему на самом деле умерли четыре ребенка Фолбигг, мы едва ли узнаем — как и в случае с остальными внезапными детскими смертями. Может статься и так, что насчет кого-то из отпущенных судьями на свободу, Мидоу был прав, и они действительно виновны в инфантициде. И даже когда в семье или у конкретного ребенка удается найти ген, связанный с риском СВДС, это не позволяет однозначно установить причину смерти — можно лишь примерно оценить вероятность, с которой эта причина могла быть естественной.
В судебных процессах страховкой от связанных с подобными ситуациями рисков является презумпция невиновности: человека не считают виновным, пока не доказано обратное. Но в отношении массовых детских смертей — в существенной степени стараниями Роя Мидоу — эта презумпция на десять лет сменилась на противоположную. Матерей по умолчанию считали опасными для собственных детей, потому что другого рационального объяснения смертям младенцев не было.
А поскольку сейчас такое объяснение появилось, появился и шанс добиться окончательного возвращения презумпции материнской невиновности. С 2015 года ученые из разных стран выступают в защиту Фолбигг. Но комиссию, которая была собрана, чтобы оценить решение суда в свете новых данных, генетические доводы не убедили, и в марте 2019 года они оставили прежний вердикт без изменений. Защитников это не устроило, и теперь 90 ученых, включая двух Нобелевских лауреатов — Элизабет Блэкберн (2009 год, открытие теломеразы) и Питера Дохерти (1996 год, открытие механизмов гистосовместимости) — обратились уже к губернатору штата Новый Южный Уэльс, где Фолбигг отбывает наказание, с просьбой отпустить ее на свободу. У них нет доказательств ее невиновности — но есть данные генетики, ссылка на презумпцию невиновности и британскую судебную практику, которая уже давно на правило Мидоу не опирается. Коль скоро у детей обнаружены «вероятно патогенные мутации», считают ученые, именно их следует рассматривать как причину смерти Сары и Лоры.
Если австралийский суд даст ученым себя переубедить и презумпция невиновности заработает и в случаях внезапных детских смертей, то для будущих оправдательных приговоров, возможно, адвокатам уже не надо будет просить ученых посвящать их клиенту и ее мертвым детям отдельную научную статью. А браться за секвенатор придется уже стороне обвинения — чтобы убедиться в том, что геном ребенка не содержит ни одного мало-мальски патогенного изменения, которое могла бы сдвинуть в пользу матери чаши юридических весов.
Автор: Полина Лосева








Наука | Научпоп
9.6K постов83.1K подписчиков
Правила сообщества
Основные условия публикации
- Посты должны иметь отношение к науке, актуальным открытиям или жизни научного сообщества и содержать ссылки на авторитетный источник.
- Посты должны по возможности избегать кликбейта и броских фраз, вводящих в заблуждение.
- Научные статьи должны сопровождаться описанием исследования, доступным на популярном уровне. Слишком профессиональный материал может быть отклонён.
- Видеоматериалы должны иметь описание.
- Названия должны отражать суть исследования.
- Если пост содержит материал, оригинал которого написан или снят на иностранном языке, русская версия должна содержать все основные положения.
- Посты-ответы также должны самостоятельно (без привязки к оригинальному посту) удовлетворять всем вышеперечисленным условиям.
Не принимаются к публикации
- Точные или урезанные копии журнальных и газетных статей. Посты о последних достижениях науки должны содержать ваш разъясняющий комментарий или представлять обзоры нескольких статей.
- Юмористические посты, представляющие также точные и урезанные копии из популярных источников, цитаты сборников. Научный юмор приветствуется, но должен публиковаться большими порциями, а не набивать рейтинг единичными цитатами огромного сборника.
- Посты с вопросами околонаучного, но базового уровня, просьбы о помощи в решении задач и проведении исследований отправляются в общую ленту. По возможности модерация сообщества даст свой ответ.
Наказывается баном
- Оскорбления, выраженные лично пользователю или категории пользователей.
- Попытки использовать сообщество для рекламы.
- Фальсификация фактов.
- Многократные попытки публикации материалов, не удовлетворяющих правилам.
- Троллинг, флейм.
- Нарушение правил сайта в целом.
Окончательное решение по соответствию поста или комментария правилам принимается модерацией сообщества. Просьбы о разбане и жалобы на модерацию принимает администратор сообщества. Жалобы на администратора принимает и общество Пикабу.