14

Ученые создали сперматозоиды в пробирке

Еще немного, и мужчины на этой планете не понадобятся. Китайские ученые разработали технологию, которая в теории может серьезно изменить жизнь следующих поколений. Речь идет о создании рабочей и продуктивной спермы, полученной лабораторным путем.

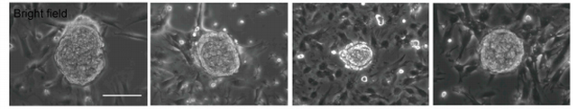
Исследовательская группа из Нанкина во главе с Ки Жоу и Джихао Ша осуществила оплодотворение мышей фактически без участия самцов и спермы. Поразительный факт в том, что вместо семени были использованы стволовые клетки. Это — действительно серьезное достижение, и вот почему.



Китайские исследователи, работающие на стыке генетики и эмбриологии, использовали стволовые клетки, взятые из эмбриона, и вырастили из них пригодные сперматозоиды. Результат превзошел ожидания даже самих ученых: самки мышей, оплодотворенные с помощью такой искусственной спермы, не только забеременели, но и продолжают успешно вынашивать потомство. Причем будущие мышата должны оказаться здоровыми, насколько сейчас об этом вообще можно судить.

Стволовые клетки представляют собой своеобразный первоначальный материал для остальных клеток организма. Соответственно, в теории из них можно вырастить практически любую ткань. Но теория и практика — несколько разные вещи, так что осуществление перехода из одного состояния в другое оказалось серьезной заявкой на прорыв.



Последствия дальнейшей разработки такой технологии могут быть революционными: бесплодные пары смогут иметь детей даже при отсутствии семени у мужчины. Речь идет даже об однополых парах: женщина сможет забеременеть от другой женщины, если та сдаст свои стволовые клетки. Как нетрудно догадаться, эта тема активно обсуждается и порождает многочисленные фантазии на тему мира будущего, где мужчины не нужны вообще.

Другое и гораздо более важное последствие заключается в том, что это — еще один шаг к так называемому «генетическому дизайну», то есть, попросту говоря, дородовому моделированию будущего ребенка. Пока это фантастика из разряда био-панка, но путь уже проложен.



Главная проблема этих механизмов в том, что на данный момент они не до конца исследованы. Тот же материал для оплодотворения берется из эмбриональной ткани, а не из взрослой особи. Да и исследованы с этой точки зрения пока только мыши. Сейчас все упирается в то, что неизвестно как могут проходить мутации, связанные с подобным оплодотворением, а это уже потенциально серьезная преграда для быстрого развития технологии.



На данный момент сперматозоиды из стволовых клеток неспособны к самостоятельному передвижению. Все же пока это не совсем полноценная сперма, и даже не ее полностью функционирующий заменитель, который работал бы совсем аналогичным образом.

ссылка: http://disgustingmen.com/nauka/artificial-sperm?utm_source=v...

Темы

Политика

Теги

Популярные авторы

Сообщества

18+

Теги

Популярные авторы

Сообщества

Игры

Теги

Популярные авторы

Сообщества

Юмор

Теги

Популярные авторы

Сообщества

Отношения

Теги

Популярные авторы

Сообщества

Здоровье

Теги

Популярные авторы

Сообщества

Путешествия

Теги

Популярные авторы

Сообщества

Спорт

Теги

Популярные авторы

Сообщества

Хобби

Теги

Популярные авторы

Сообщества

Сервис

Теги

Популярные авторы

Сообщества

Природа

Теги

Популярные авторы

Сообщества

Бизнес

Теги

Популярные авторы

Сообщества

Транспорт

Теги

Популярные авторы

Сообщества

Общение

Теги

Популярные авторы

Сообщества

Юриспруденция

Теги

Популярные авторы

Сообщества

Наука

Теги

Популярные авторы

Сообщества

IT

Теги

Популярные авторы

Сообщества

Животные

Теги

Популярные авторы

Сообщества

Кино и сериалы

Теги

Популярные авторы

Сообщества

Экономика

Теги

Популярные авторы

Сообщества

Кулинария

Теги

Популярные авторы

Сообщества

История

Теги

Популярные авторы

Сообщества