Самое крупное инородное тело пищевода
42-летний мужчина обратился в отделение неотложной помощи с симптомами, включающими удушье, слюнотечение изо рта, удерживание шеи рукой и афонию. Его семья сообщила, что у пациента были психологические отклонения и депрессия, и он пытался покончить жизнь самоубийством, проглотив металлический предмет.
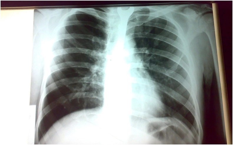
Гемодинамически пациент был стабилен. Артериальное давление составляло 130/80 мм рт. ст., частота пульса - 88 ударов в минуту. Он был направлен на рентген грудной клетки, который показал аномальный рентгеноконтрастный инородный объект внутри пищевода и тень в середине рентгенограммы грудной клетки, часть которой была стерта сердцем и тенью позвонка Фото 1.
Инородный предмет имел форму, похожую на гаечный ключ. До эндоскопического вмешательства пациент не мог говорить. Его семья рассказала неясную историю о природе его психологической проблемы. Пациент был подготовлен к экстренной операции. Он был переведен в операционную, где была проведена эндотрахеальная интубация и ригидная эзофагоскопия. Визуализация была достигнута с помощью ларингоскопа и кровь и слюна были аспирированы из ротоглотки. После прохождения жесткого эзофагоскопа через отверстие пищевода мы заметили конец гаечного ключа, который, казалось, застрял в пищеводе. После аспирации крови и слюны его захватили щипцами и с силой вытягивали с помощью эзофагоскопа Фото 2 и 3.
Пищевод был повторно осмотрен с помощью эзофагоскопа на наличие признаков повреждения. Пищевод был неповрежденным, без признаков перфорации. После окончания анестезии пациент был экстубирован и находился под наблюдением. Впоследствии он был выписан без каких-либо осложнений. После операции он отрицал наличие каких-либо психологических проблем, но не мог спать и проявлял раздражительность и беспокойство. Он также отрицал наличие каких-либо слуховых или зрительных галлюцинаций. Мы посоветовали ему обратиться в отделение психиатрии для консультации, но он отказался и был выписан из больницы вместе со своими родственниками.
Перевёл и опубликовал: Немедицина
+выводы авторов к статье тут: https://t.me/ybody/815



Все о медицине
14K постов41.6K подписчика
Правила сообщества
1)Не оскорбляйте друг друга
2) Ув. коллеги, при возникновении спора относитесь с уважением
3) спрашивая совета и рекомендации готовьтесь к тому что вы получите критику в свой адрес (интернет, пикабу в частности, не является медицинским сайтом).