Я не совсем понял что за шарик ему удалили, если это частть сустава, то как он вообще после такого ходит?
сначала, не много прихрамывал. Сейчас бегает и лазает по деревьям. только мышцы слабее и когти не втигиваются больше на прооперированной лапе
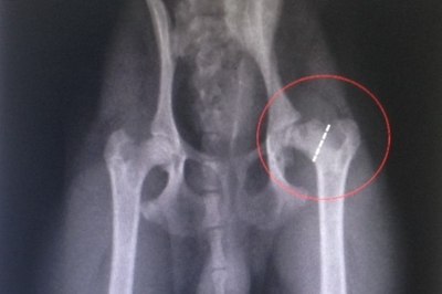
Вообщем, жил я в 2011 году в съёмной комнате, в Содрс, Ко Дублин. Уехал в этом году в в Латвию, сам, на операцию. Когда вернулся обратно, но обнаружил котёнка. Рыжего малыша. Его взял к себе мой сосед по дому, в котором я снимал комнату. Этого соседа никогда не было дома, котик никогда не был кормлен, в его ушал можно было садить картошку. Они были не вереятно грязные. В итоге это сосед съехал, забрал Кискису (так зовут кота) и через 2 недели мне перезвонил, не хочу ли я забрать кота к себе. Я не смог отказать, так как он и так у меня жил и я ему покупал еду, мыл, чесал орехи. Вот он оказался у меня. Прошло 2 месяца и он сломал бедро. Я не уверен, что он лично это сделал. Так как он до сих боиться заведённых машин, кроме моей. Я отвёл его в клинику, ренген показал что ножка - вышла из таза. Её попытались вставить и срастить, но это не дало результата. В итоге предложиди операцию : отрезать "шарик" , который вставляеться в таз. Я согласился . Хирург, он же хозяин, клиники, не взял с меня не копейки за содержания коти(до сих пор ему большая благодарность и можете расценевать как рекламу и минусить как вам угодно Ó Scanaill Veterinary Surgeons). Он сказал, я такую любовь вижу перый раз между человеком и животный. Тогда я сыкономил 60 еиро за 3 дня. Но я не знал какого друга я приобрету. Я не думал что кот способен на такое. Эта рыжая бестия ходит со мной в магаз и ждёт меня около него и идёт обратно. Лучше собаки. Потом я специально искал отдельное жильё, чтобы ему был свободный доступ на улицу. И в итоге нашёл. Хотя меня хирург, который делал ему операцию предлагал за одно " отрубить " ему орехи. Я не смог, ему и так дасталось, как мне показалось.
Вообщем, жил я в 2011 году в съёмной комнате, в Содрс, Ко Дублин. Уехал в этом году в в Латвию, сам, на операцию. Когда вернулся обратно, но обнаружил котёнка. Рыжего малыша. Его взял к себе мой сосед по дому, в котором я снимал комнату. Этого соседа никогда не было дома, котик никогда не был кормлен, в его ушал можно было садить картошку. Они были не вереятно грязные. В итоге это сосед съехал, забрал Кискису (так зовут кота) и через 2 недели мне перезвонил, не хочу ли я забрать кота к себе. Я не смог отказать, так как он и так у меня жил и я ему покупал еду, мыл, чесал орехи. Вот он оказался у меня. Прошло 2 месяца и он сломал бедро. Я не уверен, что он лично это сделал. Так как он до сих боиться заведённых машин, кроме моей. Я отвёл его в клинику, ренген показал что ножка - вышла из таза. Её попытались вставить и срастить, но это не дало результата. В итоге предложиди операцию : отрезать "шарик" , который вставляеться в таз. Я согласился . Хирург, он же хозяин, клиники, не взял с меня не копейки за содержания коти(до сих пор ему большая благодарность и можете расценевать как рекламу и минусить как вам угодно Ó Scanaill Veterinary Surgeons). Он сказал, я такую любовь вижу перый раз между человеком и животный. Тогда я сыкономил 60 еиро за 3 дня. Но я не знал какого друга я приобрету. Я не думал что кот способен на такое. Эта рыжая бестия ходит со мной в магаз и ждёт меня около него и идёт обратно. Лучше собаки. Потом я специально искал отдельное жильё, чтобы ему был свободный доступ на улицу. И в итоге нашёл. Хотя меня хирург, который делал ему операцию предлагал за одно " отрубить " ему орехи. Я не смог, ему и так дасталось, как мне показалось.
Если кому-то интерестно, то я могу рассказать, как так получилось и как происходило его лечение и выздоровление.


