МРТ-Метастазы в лимфоузлы шеи
Метастазы в шейные лимфоузлы – это вторичные очаги злокачественной опухоли, распространившиеся из первичного новообразования через лимфатическую систему.
Основные причины
Чаще всего метастазы в шейные лимфоузлы возникают при раке:
головы и шеи (рак гортани, языка, миндалин, щитовидной железы, носоглотки);
других органов (легких, молочной железы, желудка, меланома кожи).
Симптомы
Увеличенные, плотные, безболезненные лимфоузлы на шее.
Спаянность с окружающими тканями.
Возможны изъязвления кожи над узлами.
Общие признаки рака: слабость, потеря веса.
Диагностика
Биопсия – основной метод подтверждения.
КТ/МРТ/УЗИ – оценка распространенности.
ПЭТ-КТ – поиск первичной опухоли и других метастазов.
Гистология и иммуногистохимия – определение типа рака.
На данный момент во всем мире рекомендована к использованию классификация Американского объединенного комитета по раку 8 издания от 2018 года:
Уровень I (IA и IB): подбородочные и поднижнечелюстные лимфатические узлы;
Уровень II (IIA и IIB): верхняя яремная группа (делится на 2 подуровня, границей между которыми является добавочный нерв);
Уровень III: средняя яремная группа;
Уровень IV: нижняя яремная группа;
Уровень V (VА и VB): лимфатические узлы заднего треугольника шеи;
Уровень VI: передние шейные лимфатические узлы;
Уровень VII: верхние медиастинальные лимфатические узлы.
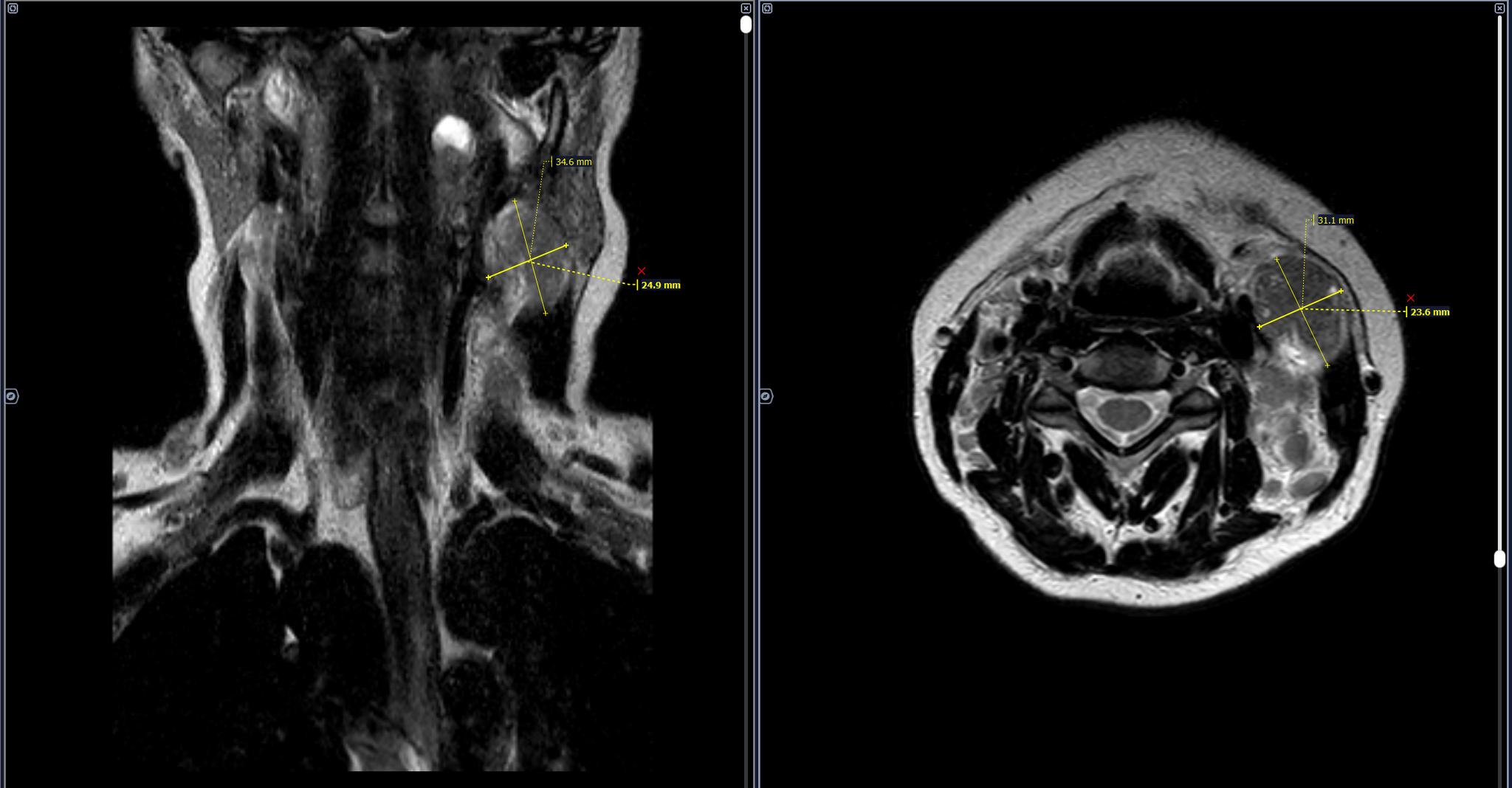
Жалобы пациента на увеличенные лимфоузлы на шее, боль в шее с левой стороны, голове, боль в левом плече.
В левом окологлоточном пространстве определяется объемное образование овоидной формы, неоднородной кистозно-солидной структуры, с неоднородным контрастированием, размерами 3,4х2,4х2,3 см.
Определяются увеличенные лимфоузлы боковых поверхностей шеи неоднородной структуры, без врастания в сосуды, размерами до 1,9х1,0х2,0 см справа и до 2,9х2,4х2,4 см слева, с неоднородным контрастированием.
Заключение: МР-картина шейной лимфаденопатии - наиболее соответствует mts. Образование в левом окологлоточном пространстве: злокачественное новообразование/крупный mts в лимфоузел.
Категория годности по ст.8-(Злокачественные новообразования)а-Д(не годен к в/сл).




