Армия и холецистэктомия-изменения 2025г
Желчнокаменная болезнь (ЖКБ) — это заболевание, при котором в желчном пузыре или в желчных протоках образуются камни (конкременты).
ЖКБ может годами протекать бессимптомно. Камни могут выявляться при прохождении УЗИ как случайная находка, либо возможен вариант с клинической картиной холецистита:
-Боль в правом подреберье.
-Провокация: часто возникает после погрешностей в диете (жирная, жареная, острая пища), приема алкоголя.
-Тошнота и многократная рвота: рвота не приносит облегчения, может быть с примесью желчи
- Повышение температуры тела.
-Диспепсические явления: вздутие живота , горечь во рту, отрыжка горьким.
-Желтуха: возможна при нарушении оттока желчи из-за закупорки камнем общего желчного протока. Проявляется пожелтением кожи, склер глаз, потемнением мочи и осветлением кала.
До августа 2025 года призывники после операции холецистэктомии(удаление желчного пузыря),признавались ограниченно годными к военной службе по ст.59б-В-освобождались от срочной службы.
29.08.2025 произошла редакция 565 постановления о проведении военно-врачебной экспертизы :После удаления желчного пузыря или хирургического лечения болезней желчных протоков, поджелудочной железы граждане при первоначальной постановке на воинский учет, призыве на военную службу (военные сборы), поступлении на военную службу по контракту и в военно-учебные заведения в соответствии со статьей 61 расписания болезней признаются временно не годными к военной службе на срок до 6 месяцев, военнослужащим может быть вынесено заключение о необходимости предоставления освобождения или отпуска по болезни. После окончания срока временной негодности к военной службе освидетельствование может быть проведено по пункту "в".
(в ред. Постановления Правительства РФ от 29.08.2025 N 1314)
Теперь, после августа 2025 призывникам с удаленным желчным пузырем будет присваиваться категория годности по ст.59в-Б3(годен к военной службе с незначительными ограничениями).
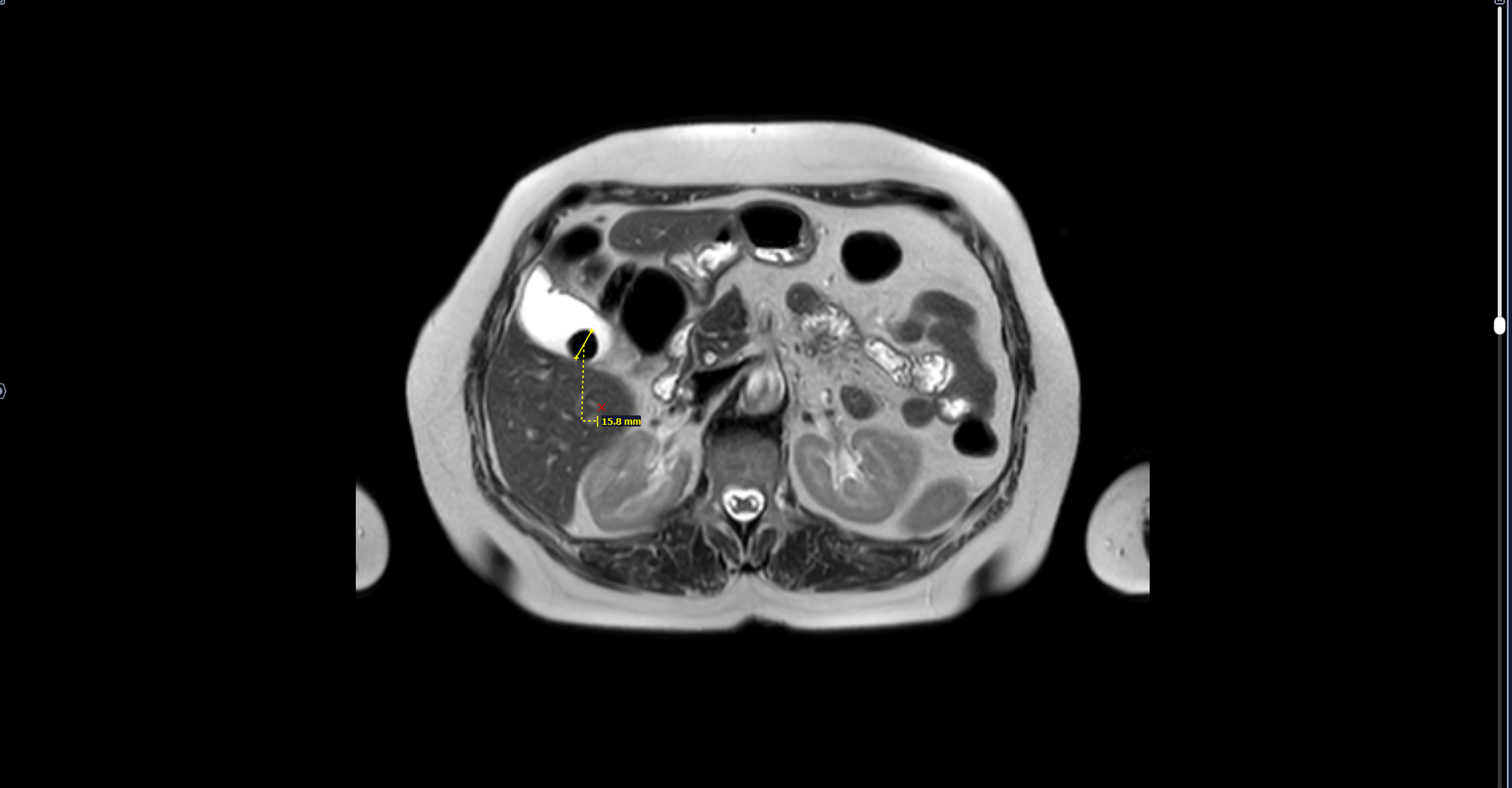
В тему к посту: камень желчного пузыря выявленный на МРТ, диаметром 15 мм.


