Сердце бытия
Гальванизированная лава, латунные бусины, розовый кварц и подвеска (латунный лотос с чеканкой) с сердцем из розового кварца. Ручная работа.
Здравствуйте. У меня вопрос про давление и пульс
Например давление 127/174 пульс 73. Давление понятно, повышенное. Но пульс получается спокойный. Плохо это или наоборот? Спрашивал у ИИ на все один ответ вызывай скорую. Спрашивал кардиолога похвалила моё сердце. Но толком ничего не объяснила. Сердце вроде как в норме. Проверяли. Большое сильное спокойное бьётся ровно. Но тем не менее болит. Особенноиво время и после скачков давления.
Курение или наследственность? Что важнее?
Пост длинный с картинками и видео, кому не интересно, можно не смотреть.
На прошлом дежурстве, очередная молодая женщина 50 лет.
Анамнез из истории болезни: "жалобы: на локализованную боль в области средней грудины, жгучего-давящего характера, впервые возникшая в июне 2025 года, появляется чаще при ходьбе в гору, ускоренной ходьбе, при обычной редко беспокоит, а также работе в огороде (ФН выше среднего уровня), в покое отрицает, с постепенным нарастанием частоты и интенсивности приступов в динамике, длительностью до 1-2 минут, купируется кратковременным отдыхом, при возобновлении нагрузки- боль не усиливается, без вегетативных проявлений, одышку отрицает, нитратами не пользовалась. Периодически боль между лопаток в течение 10 лет без динамики.
Артериальная гипертония: в течение более 10 лет лет, максимальные цифры АД 160 / 100 мм.рт.ст. Суточное ЭКГ: выявлено 8 эпизодов ишемической депрессии сегмента ST в отведениях V5 и aVF, mах депрессия ST 2.0 мм в V5. Все эпизоды ишемии во время физической нагрузки и сопровождались жжением в груди."
В итоге клиника и данные суточного ЭКГ явились поводом для плановой госпитализации и проведения коронароангиографии.
Наследственность отягощена по матери - сахарный диабет в 50 лет, ишемический инсульт в 54 года. Тем не менее, несмотря на "плохую" наследственность, пациентка ранее курила, бросила только в июне, когда стало хуже "по здоровью"
Итак - делаем коронарографию:
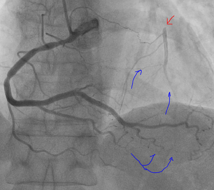
Снимаем правую коронарную артерию:
Сразу видно, что с левой коронарной артерией большие проблемы, по видимому закрыта передняя межжелудочковая артерия (красная стрелка). Правая тоже не лучшего качества - мультифокусное поражения, но без значимого стенозирования.
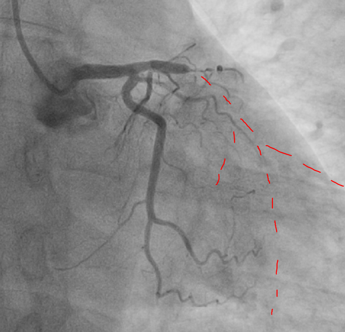
Далее левая коронарная артерия:
Принимаю решение "исправлять" все сразу
Детали процедуры опущу, скажу лишь, что это было несложно, хотя инструментов ушло прилично.
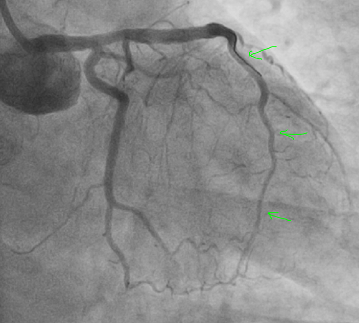
Результат:
Для контроля как стоит стент и дальнейших перспектив провели ОКТ (оптическую когерентную томографию) - завели что то вроде световода в коронарную артерию и просветили стенки лазером, в итоге получили такой результат:
Видео ОКТ
Результат отличный.
Итак, суммирую - из моей практики практически 90% женщин с инфарктами и возрастом 50 и менее лет, либо курили, либо курят. Кроме этого при плохой наследственности по сердечно-сосудистым заболеваниям (инфаркт, инсульт) это приводит к закономерным результатам в виде ранних инфарктов/инсультов. Какие перспективы после этого - это уж как повезет, вовремя выявить проблемы, приверженность к лечению и проч.
Немного теории: курение и наследственность как факторы риска ИБС у женщин
Курение — это один из самых опасных и распространенных управляемых факторов риска.
Почему?
- прямое воздействие: табачный дым повреждает стенки сосудов, ускоряет развитие атеросклероза, способствует тромбообразованию, вызывает спазм артерий.
- влияние на холестерин (кто бы что не говорил, что холестерин это фигня и проч.): курение снижает уровень "хорошего" холестерина (ЛПВП) и повышает уровень "плохого" (ЛПНП).
- гормоны у женщин: курение уменьшает защитную роль эстрогенов у молодых женщин. Эстрогены помогают поддерживать эластичность сосудов и здоровый липидный профиль. Поэтому женщины позже мужчин заболевают ИБС, курение по сути убивает женский "щит" от ИБС.
- по силе воздейстивия: риск ИБС у курящих женщин по сравнению с некурящими повышается в 2-6 раз. У молодых курящих женщин риск инфаркта миокарда особенно высок.
Ключевой момент: укрение - это фактор, на который можно повлиять. Отказ от курения значительно снижает риск уже в течение первого года.
Наследственность (Семейный анамнез) при ИБС у женщин
Наследственность — это неуправляемый фактор риска, но его знание позволяет оценить базовый уровень риска и усилить меры профилактики.
Что это значит? Наличие ИБС, инфаркта или инсульта у близких родственников (родителей, братьев, сестер), особенно в относительно молодом возрасте (мужчины до 55 лет, женщины до 65 лет).
Что наследуется: предрасположенность к нарушениям липидного обмена, артериальной гипертонии, сахарному диабету, а также особенности строения сосудов и свертывающей системы крови.
Какая сила воздействия "плохой наследственности"?: Наличие отягощенной наследенности увеличивает риск примерно ИБС в 2-4 раза.
Выводы:
На вопрос "что опаснее?" можно ответить так:
· С точки зрения силы воздействия — курение.
· С точки зрения неизбежности — наследственность.
Самое простое что можно сделать - бросить курить...
Не зря же Марк Твен говорил: «Бросить курить очень просто, я сам делал это сотни раз!»
Вот такая получилась "портянка" и теория и практика ))
Немного превращений
Чуточка хронологии изготовления.
«SOS»
Cоветский мультфильм о вреде алкоголя, 1973 год.






