437

вот так умеем делать

ахтунг фото тяжелое
вот так умеем делать
Автор поста оценил этот комментарий
А мне вот надо такую хрень с собой сделать... причем дважды.
раскрыть ветку (1)
Автор поста оценил этот комментарий
это лучший метод, не ведитесь на мосты
показать ответы
Автор поста оценил этот комментарий
конечно нет окклюзионного фото, но по ощущениям хотелось бы имплантат чуть небнее
раскрыть ветку (1)
Автор поста оценил этот комментарий
Это кстати одна из первых работ, уже 6 лет ей, сейчас такое стыдно выкладывать))
показать ответы
Автор поста оценил этот комментарий
Здравствуйте, вчера установили 2 импланта. Болело первые 3 часа. Думал что на утро весь опухну, но в итоге ничего не болит, ничего не кровоточит и почти нету опухлости. Я конечно рад, но интересно, это вообще нормально?
раскрыть ветку (1)
Автор поста оценил этот комментарий
Если простая импл - это обычная картина.
Автор поста оценил этот комментарий
Случайно наткнулся на ваш комментарий о костной пластике. У меня зуба нету с детства - молочный выпал, а основной так и не вырос. Получается что пластику проводить прийдется? И дорого ли это? Спасибо заранее за ответ
раскрыть ветку (1)
Автор поста оценил этот комментарий
Эмм, на такой вопрос просто не ответишь. Нужна КТ, диагностические модели и предварительное восковое моделирование как минимум
показать ответы
Автор поста оценил этот комментарий
оо, то что меня ждет в скором будущем. Получилось очень даже красиво
раскрыть ветку (1)
Автор поста оценил этот комментарий
этой работе уже лет пять, сейчас такое показывать стыдно)) эстетический результат отвратительный. около года назад провели коррекцию десны и поменяли коронку на безметалл
показать ответы
Автор поста оценил этот комментарий
У меня перелом нижней в 3-х местах со смещением, один из них слева аж на уровне рта, сейчас жду врача чтобы он делал операцию и не резал щеку, если получиться. Хожу 1 неделю с шиной, антибиотики прокалывал, операция платная 20к за 6 метал изделий, это я так понял пластины, вопрос вот в чем, сколько после операции я еще буду в больничке, а то мне никто вообще ничего не говорит.как я прочитал после операции 2 суток с шинами, это в бумажке было на подпись!
раскрыть ветку (1)
Автор поста оценил этот комментарий
открытый множественный перелом нижней челюсти со смещением отломков подразумевает 21 день госпитализации и и недель на 5 с шинами (срок может варьироваться в зависимости от смещения и локализации перелома) правда я обычно после таких операций на7-11 сутки после операции пациентов отпускал домой (после снятия швов) - реабилитируются обычно достаточно хорошо, а бездельное нахождение в отделении на такой длительный срок порождает всяческие проблемы)) что касается доступа - у нас вотделении учили что все переломы в пределах зубного ряда, включая угол челюсти оперируются внутриротовым доступом, только переломы суставного отростка внеротовым доступом из подчелюстной области, хотя в москве оперируют внутриротовым, но там оборудование достаточно дорогое необходимо
показать ответы
Автор поста оценил этот комментарий
Здравствуйте!хотел бы вопросик задать про челюсть!
раскрыть ветку (1)
Автор поста оценил этот комментарий
жги
показать ответы
Автор поста оценил этот комментарий
Стоматолог, стоматолог золотые пальцы. В одно руку тебе хуй, а в другую яйца. сначала поработай лет 5 хирургом а потом пизди. Давай до свидания.
раскрыть ветку (1)
Автор поста оценил этот комментарий
ну зачем грубить незнакомому взрослому человеку?
показать ответы
Автор поста оценил этот комментарий
Причина в том, что я жил в деревне в Лен. Области и там реально вода с высоким содержанием фтора была + у меня из этого фтора зубы состоят чуть менее чем полностью, зато как мне объясняли в этом есть профит - не будет кариеса.
Тоесть получается меньше контактов с фтором и все ок будет?
раскрыть ветку (1)
Автор поста оценил этот комментарий
скажем так, флюороз - врожденное заболевание, зубы поражаются до прорезывания. после прорезывания зубов содержание фтора в воде особого влияния на развитие флюороза не оказывает, если конечно лет 5 попить водичку с конц фтора порядка 20-30 мг\л (при норме 1-1.5 мг\л), тогда да, и на здоровых зубах он появится. проблема в другом, при флюорозе нарушена структура и состав эмали, она очень хрупкая и легко скалывается.
Автор поста оценил этот комментарий
Больно ли эту железяку в кость вбивают? И вообще боль есть? Говорят ощущение говнячие
раскрыть ветку (1)
Автор поста оценил этот комментарий
ее не вбивают, вкручивают специальным аппаратом физиодиспенсером и хирургическим наконечником. такой аппарат стоит кстати средненькая модель - ок 8 килобаксов и наконечник около штуки.
Автор поста оценил этот комментарий
а можете тогда объяснить как он распространяется? Тоесть может он например с верхней челюсти перейти на нижнюю или он как-то заранее в зубе оказывается и со временем развивается?
раскрыть ветку (1)
Автор поста оценил этот комментарий
причина - высокое содержание фтора в воде в том месте где живете. например в некоторых районах краснодарского края - самые высокие показатели заболеваемости флюорозом по россии.
показать ответы
Автор поста оценил этот комментарий
О, стоматолог значит? Есть ли способы излечить флюороз крайней степени кроме как винирами или заменой на искусственные зубы?
раскрыть ветку (1)
Автор поста оценил этот комментарий
нет
показать ответы
Автор поста оценил этот комментарий
неужели в 21-м веке нет технологий отбеливающих зубы на многие годы? или они просто до нас не дошли? там по-иоему в америке зубы отбеливали еще в года 50-х теми технологиями, которые нам сейчас преподносят как ноу-хау..типа zoom и т.д.
раскрыть ветку (1)
Автор поста оценил этот комментарий
zoom - это 20% перекись водорода со всякой херней, тоже не шибко полезной. Ничего нового тут еще не придумали.
показать ответы
Автор поста оценил этот комментарий
повторять? это дорого выйдет. а если ограничить потребления продуктов, которые оказывают воздействие на эмаль - чай, кофе, сигареты. все равно надо повторять? виниры? на все зубы что ли? это же в тысяч 150 обойдется если не больше и зубы здоровые надо стачивать....
раскрыть ветку (1)
Автор поста оценил этот комментарий
если не повторять - нужно не есть вообще продукты содержащие красители, даже естественные. а виниры для хорошей эстетики чаще всего достаточно от клыка до клыка
показать ответы
Автор поста оценил этот комментарий
конкретно отбеливание портит зубы по-вашему? а тогда почему все поголовно их отбеливают и мода нынче диктует, что зубы должны быть белыми. какой тогда выход для человека у которого не совсем белые зубы и он хочет это исправить на ваш взгляд?
раскрыть ветку (1)
Автор поста оценил этот комментарий
да, отбеливание портит зубы. если у человека от природы не белые зубы, можно отбелить, но быть готовым повторять такую процедуру раз в полгода. а можно поставить виниры и не париться.
показать ответы
Автор поста оценил этот комментарий
а зубы отбелить не вариант было или это тетрациклин?? там же недорого вроде?
раскрыть ветку (1)
Автор поста оценил этот комментарий
зачем зубы портить? а цвет такой потому что люминесцентные лампы искажают и зубы сухие
показать ответы
Автор поста оценил этот комментарий
все под наркозом?
раскрыть ветку (1)
Автор поста оценил этот комментарий
Под местной анестезией
показать ответы
Автор поста оценил этот комментарий
скажите честно, это больно? мне надо тоже поставить зуб, но боюсь ппц
раскрыть ветку (1)
Автор поста оценил этот комментарий
нет, иногда зуб больнее удалить чем имплантат поставить
показать ответы
Автор поста оценил этот комментарий
естественно нету неудаляемых зубов.если бы они были тогда нах нужны хирурги?))
резать и доставать это да,Самое милое дело,но всё же это не моё) я бы выбрал хирургию только вот слишком много ответственности(всякие операции лефорта и.т.п нах мне это не надо ещё кто нибудь у меня в руках помрёт).кароче както так.удачи в удалениях,желаю тебе зубов с прямыми корнями только))
раскрыть ветку (1)
Автор поста оценил этот комментарий
спс
Автор поста оценил этот комментарий
А что про экспресс-имплантацию скажите?
раскрыть ветку (1)
Автор поста оценил этот комментарий
про экпресс-имплантацию не слышал. Бывает немедленная, когда ставят сразу в лунку удаленного зуба. Можно так делать но не всегда, есть ряд показаний и противопоказаний.
показать ответы
Автор поста оценил этот комментарий
у меня стоит железка в десне,вокруг нее разваливается зуб но железка походу останется..язык корябается об нее.хех
раскрыть ветку (1)
Автор поста оценил этот комментарий
раньше в зубы штифты ебашили, обычно из-за них зубы и разваливаются
показать ответы
Автор поста оценил этот комментарий
Это имплант ?
раскрыть ветку (1)
Автор поста оценил этот комментарий
ага
Автор поста оценил этот комментарий
Аааа Садисты!!!! , вы фотки наоборот расставили... сначала вырвали зуб потом железку молотком вогнали...
раскрыть ветку (1)
Автор поста оценил этот комментарий
все правильно расставлено ), а зуба там не было вообще.
показать ответы
Автор поста оценил этот комментарий
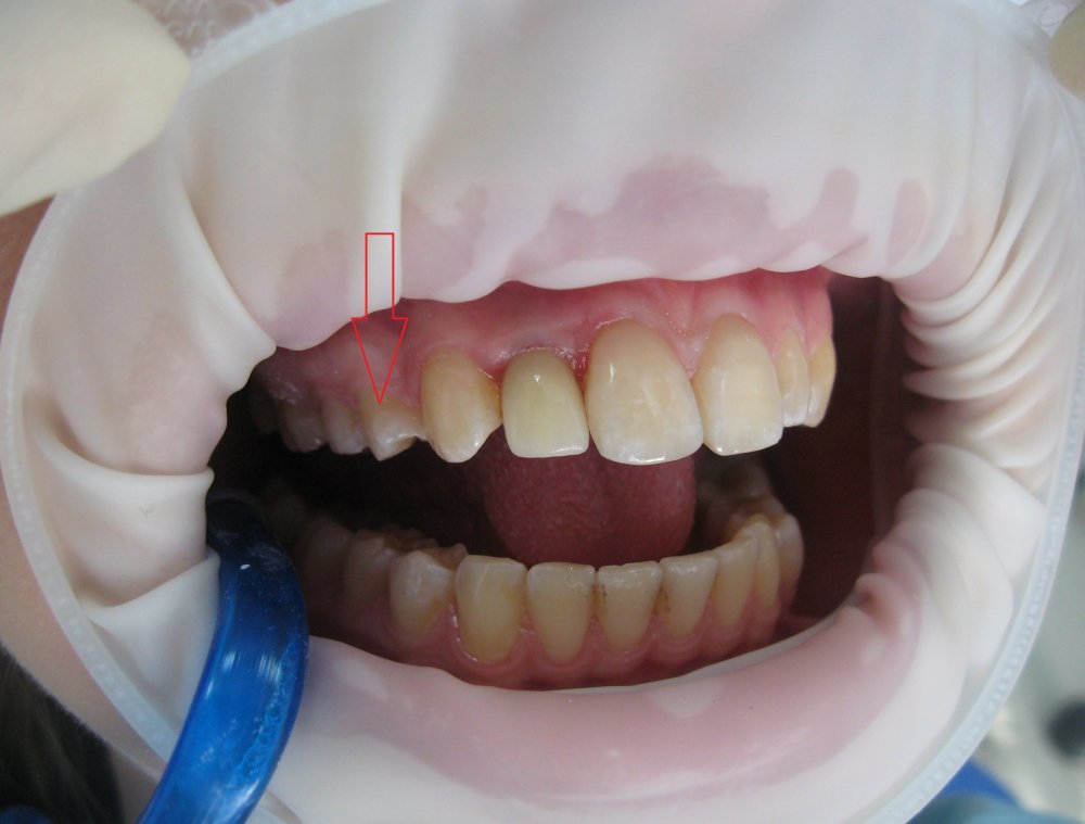
каков порядок действий?
У меня вот этот удален 6 лет назад, врач тогда говорил что мост нужно ставить, а мне жалко портить хорошие зубы.

Иллюстрация к комментарию
раскрыть ветку (1)
Автор поста оценил этот комментарий
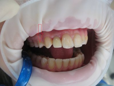
ну если коротко - после удаления в кость устанавливается имплантат (небольшая операция, по объему менее травматичная чем даже удаление зуба), ждем приживления, иногда до 6 мес но в среднем - 2-4 мес. после приживления ставим коронку. профит.
правда если зуб давно удален - это сложнее. предварительно бывает необходимо провести костную пластику
Иллюстрация к комментарию
показать ответы
Автор поста оценил этот комментарий
А как это называется?
раскрыть ветку (1)
Автор поста оценил этот комментарий
дентальная имплантация
показать ответы
Автор поста оценил этот комментарий
5-8 скромно для моста мне поставили 2 протеза на гласперовую нить один простоял 6 лет испортился опорный зуб пришлось снять его. второй стоит по сейдень (7 лет) хотя везде озвучен срок на такую конструкцию 3-5 лет . как мне объяснил стоматолог эти имплонтанты со временем тоже начинают сидеть не крепко но лет на 10 хватит + с возрастом десна опускается и вполне может из за неё показаться металлическая основа )))) это всё конечно мелочи , ведь те же мосты стоят и десяок лет но гарантию на столько никто никогда не даст ,потому логично предположить что имплонтант простоит более 10 лет .
у нас к стати повторную переустановку никто не предлагает за счёт клиники ))) + цена коронки на 3 зуба дешевле чем один имплонтат вышла более чем в 2раза . Видимо вы чаще их ставите и цены более гуманны ,или ноаборот - коронки необосновано дорогие)))
раскрыть ветку (1)
Автор поста оценил этот комментарий
такие вещи про импл говорят обычно врачи которые не умеют или не имеют возможности с ними работать. даже у нас в россии имплант ставится как правило на всю жизнь, о том что его нужно менять через какое-то время даже речи не идет. это даже технически сделать крайне сложно. если его попытаться выкрутить, интегрированный имплант "уйдет" только с участком челюсти. вообще первый имплант человеку был установлен в 1965 году, за это время и хирургический о ортопедический протокол отшлифовался до кристального блеска.
показать ответы
Автор поста оценил этот комментарий
а как насчёт побочных эффектов в духе "имплонтант не прижился" ? гарантий ведь нет, в отличае от моста , да и дорогое удовольствие для столь негарантированой процедуры .сам колебался ,уж больно привлекательно на слух и если всё же прижилось то спору нет - отличная штука.
раскрыть ветку (1)
Автор поста оценил этот комментарий
рекламщики обещают 99% приживления имплантатов, но это туфта. по нашей клинической статистике приживается 97.4% имплантов. даже если происходит потеря имп. (как правило это случается до окончательного протезирования) ждем время пока восстановится кость (ок 2мес) и бесплатно переустанавливаем. еще раз повторю - по травматичности такая операция переносится даже легче чем удаление зуба. а по цене - мост на три зуба выходит дешевле процентов на тридцать, но точим свои зубы и лет через 5-8 если ортопед хороший - благополучно их удаляем.
показать ответы
Автор поста оценил этот комментарий
Сколько такое стоит???
раскрыть ветку (1)
Автор поста оценил этот комментарий
везде по разному. у нас - 35-37 тр от начала и до конца. но сумма не разовая, обычно разбивается на этапы до 6 месяцев.
показать ответы
Автор поста оценил этот комментарий
ага ну вот у нас такое удовольствие тоже около 1000 $ что в сравнении с 300 $ за мост из 3-х металлокерамических зубов выглядит дороговато.
раскрыть ветку (1)
Автор поста оценил этот комментарий
везде по разному. и у нас есть имплантаты по 50-70 т.р. но мы стараемся не охуевать в атаке, не выгодно.
показать ответы
Автор поста оценил этот комментарий
Ну это-то ладно...
Ты мне скажи... Как ты впихнул картинку между текстом?
У меня всегда она только под текстом.
раскрыть ветку (1)
Автор поста оценил этот комментарий
пишешь текст, прикрепить картинку, как ссылка на картинку появляется в комментарии - просто курсор ставишь после ссылки и продолжаешь писать.
показать ответы
Автор поста оценил этот комментарий
автор какова твоя квалификация,или научился имплантам на курсах каких нибудь аля 2 недели и мы сделаем тебя имплантологом?
раскрыть ветку (1)
Автор поста оценил этот комментарий
Год интернатуры в челюстно-лицевой и 5 лет работы хирургом там же, в стационаре. Потом два года в частной клинике, на учебу ездим примерно раз в 2-3 месяца, иногда чаще.
показать ответы
Автор поста оценил этот комментарий
Самому нужен имплант вместо жевательного зуба, но смущает процесс вкручивания в кость, скажите насколько больна данная процедура, особенно после отхода анестезии.
раскрыть ветку (1)
Автор поста оценил этот комментарий
как правило не болит ничего - имплант стоит в кости, а кость не имеет чувствительных нервных окончаний, ее можно вообще без анестезии пилить. в этом главное отличие от своих зубов. зуб не просто стоит в кости, между костью и зубом находится его связочный аппарат в котором полно рецепторов. поэтому зубы болят если их не лечить и иногда бывает больно удалять. у импланта всего этого нет.
Автор поста оценил этот комментарий
Насколько долговечна такая штука?Удалить её потом,как я понимаю,будет оооочень сложно,верно?
з.ы.не спрашивайте зачем =))
раскрыть ветку (1)
Автор поста оценил этот комментарий
выкрутить его практически нереально если он остеоинтегрировался. если есть необходимость - можно специальной фрезой выпилить.
Автор поста оценил этот комментарий
ваша позиция как врача ставящего имплонтанты тоже предвзята ,их ставить попросту выгодней (в моём городе врачи этого не скрывают) ))) я консультировался с двумя врачами (оба работали в ведущих клиниках города, посещали всяческие семинары в том чесле в европе и америке) но таких высоких показателей не оглашали , ваши цифры для меня означали бы 100% иябыдажесогласился ))) один из этих врачей их устанавливает лично . Так что не могу сказать что стоматологи пытались отговорить просто предупредили обо всём что знали сами .к тому же у нас все риски ложатся на заказчика , у вас с этим получше явно -молодцы что так реализовали. Насчёт того что на "всю жизнь" звучит как-то даже сказочно и вызывает недоверие.
раскрыть ветку (1)
Автор поста оценил этот комментарий
Здоровый скептицизм это хорошо. Но врачу говорить о том что импл. нужно менять через какой-то срок - это противоречить самим принципам дент. имплантации, которые были разработаны много лет назад и не у нас.
Автор поста оценил этот комментарий
автор, подскажите, пожалуйста: не повышается ли какой-нибудь риск, если ставить одновременно сразу 2 импланта (по соседству) и как изменится сумма работы от этого? x2 или дешевле?
раскрыть ветку (1)
Автор поста оценил этот комментарий
если имеется в виду риск отторжения, то не увеличивается. там в другом проблема - в некоторых участках челюсти, например фронтальный отдел верхней или нижней, сложно сделать хорошую эстетику если восстанавливать зубы следуя правилу "один имплант - один зуб", там немного другие правила работают. а если говорить о цене - то считается х2, хотя в некоторых клиниках дают скидку, иногда очень хорошую. у нас до 10%
показать ответы
Автор поста оценил этот комментарий
Иллюстрация к комментарию
раскрыть ветку (1)
Автор поста оценил этот комментарий
я сейчас такую же штуку делаю из нашей работы. потом попробую ролик смонтировать и гифку
показать ответы
Автор поста оценил этот комментарий
а у меня уже стоит имплант переднего резца, а вот коронка на нём временная. сколько стоит поменять на нормальную? и ничего, что она болтается?.. правда уже больше полгода прошло..
раскрыть ветку (1)
Автор поста оценил этот комментарий
если болтается - ушатает десну вокруг имплантата, может привести к резорбции кости вокруг имплантата. выпасть не выпадет, но эстетики не будет
показать ответы
Автор поста оценил этот комментарий
А сколько лет пациенту? -Зубы хорошо выглядят.
И, извините, пациент женского пола?)
раскрыть ветку (1)
Автор поста оценил этот комментарий
да, девушка, чуть за тридцать
Автор поста оценил этот комментарий
ага,заебись научишься.переломаешь половину корней(часть которых потом вытащить не сможешь).заебись ))
я парадонтологию выбрал всё равно,так что похуй))
раскрыть ветку (1)
Автор поста оценил этот комментарий
Первое что мне сказали в стационаре - неудаляемых зубов нет. Я никогда зубы не удалял щипцами - это самый верный способ сломать. Можно же аккуратно перитомом и люксатором пройти, турбиной распилить на части и спокойно достать.
показать ответы
Автор поста оценил этот комментарий
хз как у вас в россии,но вот за год интернатуры в челюстно лицевой особо ничему не научишься.у нас в турции 4 года докторантуры(хз как это по русским меркам) и ты врач хирург.ну эти 4 года включают в себя постоянную практику и теоритические занятия(вроде первые 2 года)
раскрыть ветку (1)
Автор поста оценил этот комментарий
Поверь мне, если тебя после интернатуры ставят на суточное дежурство наедине со всем городом - научишься всему что надо очень быстро )) другого выхода просто нет.
показать ответы