Вопрос к врачам. Перелом.
Ситуация такая. Месяца 2 назад на мужа сестры напали и отбиваясь он ушибил руку. На рентген не пошел, хоть и болело... ну типа яжмужик и к врачу пойду только когда копье в спине будет мешать спать.
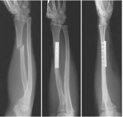
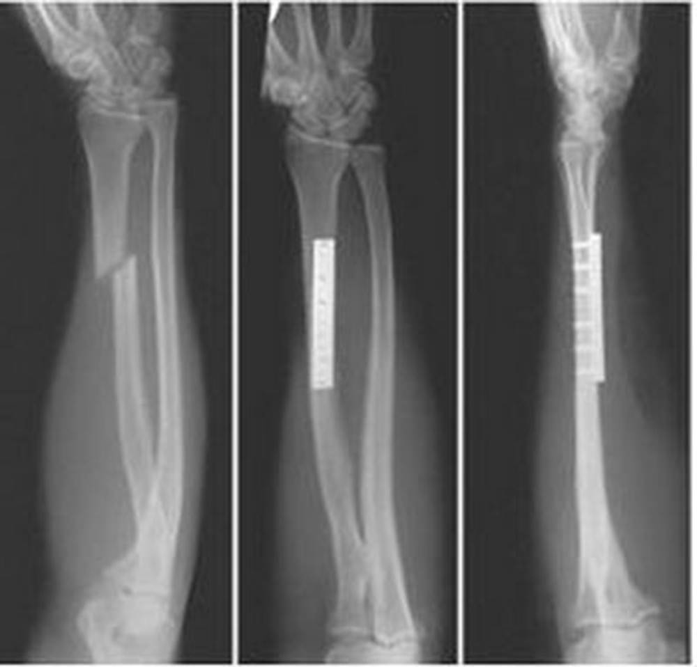
И вот таки рука стала сильно беспокоить и оказалось, что там сломана какая-то кость, которая по словам врачей (пока были у 2х) "единственная в теле человека, которая не срастается. Вообще..."
Предстоит операция, а мы совершенно не знаем что нас ждет! Что это за кость, которая не срастается? Что будут делать на операции? Вживлять пластину?
Конечно разумнее было это спросить у лечащего врача, но муж у сестры то ли растерялся и не задал эти вопросы, то ли нам не хочет говорить(
Если есть какая-то информация - поделитесь, пожалуйста, а то гугл был ко мне неблагосклонен...
Комменты для минусов прилагаю.


Все о медицине
14K постов41.6K подписчиков
Правила сообщества
1)Не оскорбляйте друг друга
2) Ув. коллеги, при возникновении спора относитесь с уважением
3) спрашивая совета и рекомендации готовьтесь к тому что вы получите критику в свой адрес (интернет, пикабу в частности, не является медицинским сайтом).