2498

Утро травматолога

за 15 минут до конца дежурства:(
Утро травматолога
Автор поста оценил этот комментарий
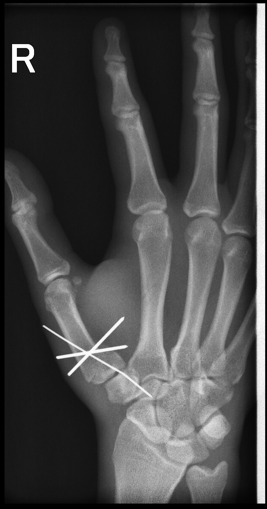
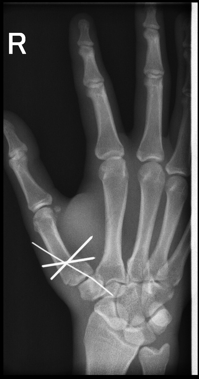
Такое адовое смещение, всего лишь от падения?!
раскрыть ветку (1)
Автор поста оценил этот комментарий
совершенно верно
показать ответы
Автор поста оценил этот комментарий
Автор, ты сделал (вы сделали?) моё утро :)

Вообще странно, как это он так? Он упал и попытался смягчить себе падение рукой?
раскрыть ветку (1)
Автор поста оценил этот комментарий
ну это естественный рефлекс когда падаешь, смягчить падение
показать ответы
Автор поста оценил этот комментарий
Ох ничего себе. Это с какой высоты нужно было приземлиться?
раскрыть ветку (1)
Автор поста оценил этот комментарий
с высоты человеческого роста
показать ответы
Автор поста оценил этот комментарий
пластины навсегда ставят? или их потом удалять нужно?
раскрыть ветку (1)
Автор поста оценил этот комментарий
лучше удалить
Автор поста оценил этот комментарий
Руки бы этому пациенту за такое поломать, да?
раскрыть ветку (1)
Автор поста оценил этот комментарий
:D
Автор поста оценил этот комментарий
Да ладно, я вратарю как-то мячом руку сломал. Мы подумали, что у него сустав локтевой - и хотели дернуть руку. Представляешь шок, когда кости разошлись?
раскрыть ветку (1)
Автор поста оценил этот комментарий
ибо нефиг! )
показать ответы
Автор поста оценил этот комментарий
Врач говорил, что может не придется пластину снимать. Когда теперь понять надо или не надо...
раскрыть ветку (1)
Автор поста оценил этот комментарий
Пластина сама по себе это инородное тело в организме... и даже не смотря на то, что они из нейтральных металлов, в редких случаях может возникать металлоз (см. вики) и тогда пластину удаляют по медицинским показаниям. Если проблем нет, то оставлять или нет решать только вам.
Автор поста оценил этот комментарий
подскажите мне,что должно произойти,чтобы так ноги сломать?
раскрыть ветку (1)
Автор поста оценил этот комментарий
есть такое понятие как патологический перелом https://ru.wikipedia.org/wiki/Патологический_перелом
Автор поста оценил этот комментарий
У тебя утро явно лучше чем у того парня с рентгена
раскрыть ветку (1)
Автор поста оценил этот комментарий
и не поспоришь :D
Автор поста оценил этот комментарий
что именно сделано? гипсовая повязка и вправление?0
раскрыть ветку (1)
Автор поста оценил этот комментарий
госпитализирован для оперативного лечения
показать ответы
Автор поста оценил этот комментарий
у меня соседке вставили пластины в ногу.....15 лет назад.
До сих пор не сняла :) вроде ходить.
раскрыть ветку (1)
Автор поста оценил этот комментарий
ну, а что ж нет то?)
Автор поста оценил этот комментарий
В какой больнице работаешь?
раскрыть ветку (1)
Автор поста оценил этот комментарий
не скажу
Автор поста оценил этот комментарий
Ну я когда с аппендицитом лежал, то наслушался про различные методы ремонта переломов в советское время, как пластины снимают с помощью молотка и зубила... Дед-сосед имел обширный опыт в ремонте своих частей тела :)
раскрыть ветку (1)
Автор поста оценил этот комментарий
их и сейчас так снимают, ибо могут наглухо зарасти... и даже если выкрутить все винты, она так просто не "отвалится", нужно постучать)
Автор поста оценил этот комментарий
Мой друг сломал руку на соревнованиях по Карате, ставили пластины, а потом снимали на операции. Как я понял из его разговора, снимать пластины необязательно, но ему они доставляли какой-то дискомфорт и он решил их снять.
раскрыть ветку (1)
Автор поста оценил этот комментарий
пластины все таки инородное тело...оставить можно, но лучше удалить.
Автор поста оценил этот комментарий
Сломал в конце июля. Как раз собираюсь через пару недель ложиться в больницу, вынимать пластины. Травматолог же советовал заняться этим еще в марте, но по иронии, мой напарник по работе тоже сломал руку, и мой больничный отложился :)

По оси кисть движется тоже с трудом. + У части тыльной стороны кисти, возле большого и указательного пальцев так и не вернулась чувствительность. Может хоть без пластин всё в норму войдёт..
раскрыть ветку (1)
Автор поста оценил этот комментарий
на восстановление чувствительности нужно мноооого времени!
Автор поста оценил этот комментарий
А когда удалять? Травма была 30 мая 2014, операция 9 июня
раскрыть ветку (1)
Автор поста оценил этот комментарий
отсчет не от времени травмы, а от даты операции. НУ за год любой перелом сростется, если без осложнений.
показать ответы
Автор поста оценил этот комментарий
Думаю многим интересно, как??
раскрыть ветку (1)
Автор поста оценил этот комментарий
играл в футбол и упал на отведенную руку
показать ответы
Автор поста оценил этот комментарий
Блин, как же это больно...............
раскрыть ветку (1)
Автор поста оценил этот комментарий
сидит и угарает с друзьями)
показать ответы
Автор поста оценил этот комментарий
На отведённую куда руку?
раскрыть ветку (1)
Автор поста оценил этот комментарий
отвведены
Иллюстрация к комментарию
показать ответы
Автор поста оценил этот комментарий
А я думаю, ничего серьезного, выписать ему таблетоки и пусть домой идет

А если серьезно' автор, ПОМОГИ ЕМУ!!! Жесть!!
раскрыть ветку (1)
Автор поста оценил этот комментарий
уже все сделано)
показать ответы
Автор поста оценил этот комментарий
На отведённую куда руку?
раскрыть ветку (1)
Автор поста оценил этот комментарий
Приведены
Иллюстрация к комментарию
Автор поста оценил этот комментарий
С окончанием смены тебя =)
раскрыть ветку (1)
Автор поста оценил этот комментарий
:D спасибо!
показать ответы
Автор поста оценил этот комментарий
Всегда было интересно насколько больно это - сломать руку? XD И боль бывает, ведь, не от сломанной кости? А от повреждения мягких тканей вокруг перелома?
раскрыть ветку (1)
Автор поста оценил этот комментарий
боль от разрыва надкостницы... ибо сама по себе кость "не чувствует"
показать ответы
Автор поста оценил этот комментарий
Шутки шутками, но шахматы, действительно очень опасная для жизни игра. Можно уснуть и упасть глазом на ферзя.
раскрыть ветку (1)
Автор поста оценил этот комментарий
Иллюстрация к комментарию
DELETED
Автор поста оценил этот комментарий
А есть люди, которые начинают утро с "Нескафе"?
раскрыть ветку (1)
Автор поста оценил этот комментарий
Ольга Шелест:)
Автор поста оценил этот комментарий
Хороший переломчик вышел, месяца на три со спицами побегать =)
раскрыть ветку (1)
Автор поста оценил этот комментарий
я б на его месте больше не бегал:)
DELETED
Автор поста оценил этот комментарий
Я не специалист, конечно, но похоже на дорожное - наезд на пешехода.
раскрыть ветку (1)
Автор поста оценил этот комментарий
упал на отведенную руку
Автор поста оценил этот комментарий
было бы интересно увидеть посты про деятельность травматологов в целом С: Сложные случаи и т.д. Если не сложно конечно :3
раскрыть ветку (1)
Автор поста оценил этот комментарий
надо будет материала подкопить)
Автор поста оценил этот комментарий
Мне вот такой аппарат внешней фиксации поставили. Его надо было купить за 2200 руб. А потом заменили на титановую хреньку. Рядом с рукой лежит. Хренька стоила 30 000. Пять недель после операции. Рука не греется в лучезапястном суставе.
Иллюстрация к комментарию
раскрыть ветку (1)
Автор поста оценил этот комментарий
никогда не слышал что б за АВФ платили деньги... пластина да стоит денег. Нужно разрабатывать, если не сделать это сейчас, потом уже не разработается(
показать ответы
Автор поста оценил этот комментарий
Сам недавно ломал палец, и немного узнал об этом всем. Если возможно, то ставят спицы, то есть кость соединяют и пронизывают спицами в нескольких местах чтобы закрепить, после этого остается всего одна дырка в коже. Такой метод требует повторной операции по снятию спиц и чаще всего не требует уколов антибиотиков, еще он бесплатен в нашей стране (полис, паспорт). Если спицами соединить не удается в ход идут пластинки, пластинки стоят денюшек, примерно 20к за 1 штуку со всеми винтами. Для её установки вам разрезают кожу и всё остальное что мешает врачу добраться до кости, прямо на кость устанавливают пластину и все вам зашивают. Потом колют антибиотики в попку. Эти пластины навсегда остаются в вашем теле. Вот так выглядели мои спицы.
Иллюстрация к комментарию
Иллюстрация к комментарию
раскрыть ветку (1)
Автор поста оценил этот комментарий
пластины на кисть стоят как правило до 10к, но если в Москве, то неудивительно)
показать ответы
Автор поста оценил этот комментарий
А как он, упав на отведенную руку, сломал обе? Оо
раскрыть ветку (1)
Автор поста оценил этот комментарий
нет одну. два снимка
показать ответы
Автор поста оценил этот комментарий
Офигеть, и как ты умудряешься при этом посты писать?
раскрыть ветку (1)
Автор поста оценил этот комментарий
я ж не сразу) - погодь друг, отдохни я пост на пикабу запилю)
Автор поста оценил этот комментарий
Спасибо. А подскажите пожалуйста, надо разрабатывать с какой - то супер - нагрузкой? Обыкновенных бытовых нагрузок недостаточно? Просто я мама троих маленьких детей. Без нянь и бабушек. Пока им покушать приготовлю- покормлю уберу, догоню, отмою, на прогулку одену, потом опять раздевать, мыть, кормить... Нагрузки на руку вроде достаточно. И она ещё болит. Но, блин, все равно не греется, как я ни тянусь...
раскрыть ветку (1)
Автор поста оценил этот комментарий
Что бы восстановить полный объем движений в суставе, бытовых нагрузок как правило недостаточно, нужно делать дополнительные упражнения. НО...если этого объема вам хватает для комфортной жизни, то можно ничего не делать. НО! в любом случае назначить ЛФК вам должен врач который делал вам операцию или лечащий из пол-ки, т.к. они владеют более полной информацией о вашей травме Ну а болеть будет еще долго...тут уж ничего не поделаешь(
показать ответы
Автор поста оценил этот комментарий
Ооо, братан, тоже самое. Почти год прошел. На рентгене как у тебя, только ближе к кисти. Тоже с велика упал. До сих пор не могу восстановить движение вокруг оси кисти. Как думаешь, пластину снимать надо будет?
Иллюстрация к комментарию
раскрыть ветку (1)
Автор поста оценил этот комментарий
можно оставить, но лучше удалить ибо со временем может развиться маталлоз
показать ответы
Автор поста оценил этот комментарий
Только я один вместо рентгена увидел изогнутый телевизор? О_о
раскрыть ветку (1)
Автор поста оценил этот комментарий
нет, почитай коменты)
Автор поста оценил этот комментарий
Фактически такая же ситуация была, тоже упал на локоть. Ему спицу вставили?
раскрыть ветку (1)
Автор поста оценил этот комментарий
скорее всего ему поставят пластины
показать ответы
Автор поста оценил этот комментарий
Он со временем сможет пользоваться руками?.. А то выглядит так, будто у него они оторвались почти полностью...
раскрыть ветку (1)
Автор поста оценил этот комментарий
смооожет, не переживайте)
Автор поста оценил этот комментарий
Сейчас аппарат илизарова на 5 месяцев, потом еще 3 месяца в орлете. Жена так же год назад сломала, в аварии. Аппарат кстати не дешевое удовольствие, 50000р. Больница по полису такое не предоставляет, так что скоро пацанчику будет не до смеха.
раскрыть ветку (1)
Автор поста оценил этот комментарий
а у нее случаем не открытый перелом был?
показать ответы