709

Рентген котейки :3

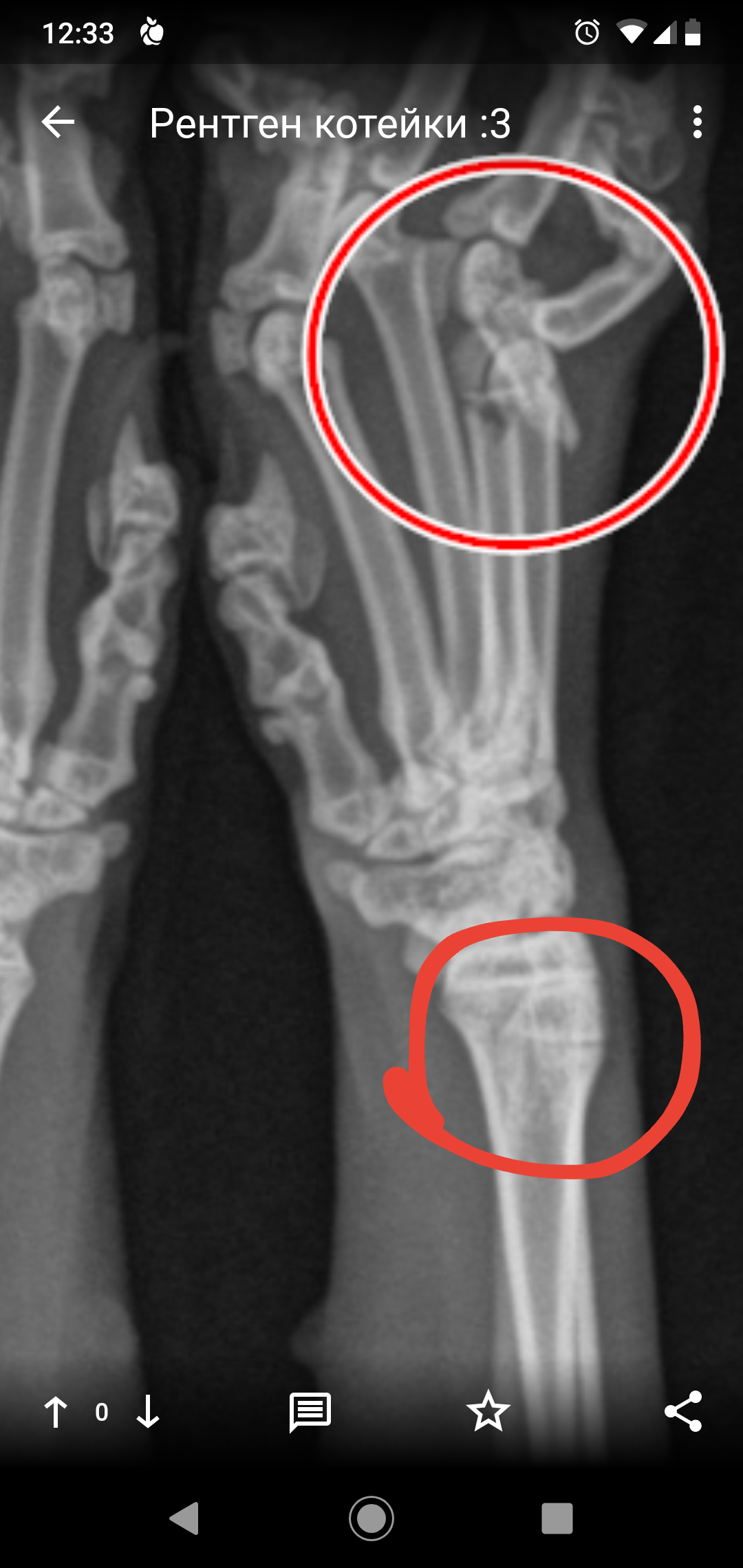
Рентген котейки :3

Вот как-то так выглядит кот напросвет. Теплоты там особо не видно, зато есть целый комплект косточек и перелом четвертой пястной кости.
Пока люди отвернулись, Линукс порвал сетку, вышел погулять на карниз и превратился в ракету класса "окно-асфальт".  Жив, цел, орёл, месяц ходил со спицей в лапе, и всё равно умудрялся буянить по ночам.
В общем. Любите своих котеек и ставьте сетки покрепче.

Котомафия

132K поста35.6K подписчиков

Правила сообщества

В сообществе категорически запрещено:

✔Оскорблять других пользователей. Запрещено использование нецензурных выражений и ругательств. Замена части букв значками "@", "#", "$" и т. д. при вычислимости исходного слова не избавляет от ответственности. Категорически не рекомендуется использование грубо-просторечной лексики, а также упоминания физиологических отклонений;

✔ Сообщения не по теме. Публикуемые сообщения должны соответствовать заявленной теме сообщества;

✔Размещение постов о помощи животным в сообществе без обязательных тегов: #вдобрыеруки #помощь #без рейтинга

Так же напоминаем, что на Пикабу существует специальное сообщество ."Айболит. Помощь животным"

Дорогие друзья, которым не нравятся посты с просьбами о помощи животным, очень просим Вас добавить теги: #помощь #вдобрыеруки и др. в черный список.

✔Плагиат! Не присваивай себе чужие идеи, записи и другой авторский контент.

✔Некорректные комментарии в комментариях, откровенный флуд, провокации, пропаганду жестокого и безответственного отношения к животным и пр. участники заносятся в черный список без дополнительных пояснений и предупреждений!

✔Нарушать правила Пикабу.


Заметили нарушение правил: напишите @zluchkin, @Darsinka

Не забывайте ставить тег "моё", "кот", "котомафия" если выкладываете своих любимцев.

Мы есть в VK: @kotomafia_fan, отмечайте нас на Ваших фото.

Вы смотрите срез комментариев. Показать все
4
Автор поста оценил этот комментарий

Лапки-карябки так похожи на человечьи, даже две косточки в предплечье.

Быть может двуногий, который достойно провлачил свой цикл с вечными стрессами, переработками и недосыпами - реинкарнирует в котика?

раскрыть ветку (7)
11
Автор поста оценил этот комментарий

А может, морфология скелета конечностей у всех позвоночных одинакова? Да не, бред какой-то)

раскрыть ветку (6)
0
Автор поста оценил этот комментарий
А где ему перелом написали? Верхняя треть правой конечности? И ещё вопрос: коту сколько лет? Наверное котёнок ещё, или подросток? Видно зоны роста на рентгенограммах.
раскрыть ветку (5)
0
Автор поста оценил этот комментарий

Да нет, закрыты все зоны роста

0
Автор поста оценил этот комментарий

Ему 2 с лишним года уже, взрослый кот.

Перелом четвертой пястной кости.

А где вы видите зоны роста? Главное, как вы это определяете?))

раскрыть ветку (3)
1
Автор поста оценил этот комментарий
На первом фото (как я думал) зоны роста у кота, на втором- у ребенка.
Иллюстрация к комментарию
0
Автор поста оценил этот комментарий
Что-то картинка не вставляется.
0
Автор поста оценил этот комментарий
Второе фото- снимок ребенка
Вы смотрите срез комментариев. Чтобы написать комментарий, перейдите к общему списку

Темы

Политика

Теги

Популярные авторы

Сообщества

18+

Теги

Популярные авторы

Сообщества

Игры

Теги

Популярные авторы

Сообщества

Юмор

Теги

Популярные авторы

Сообщества

Отношения

Теги

Популярные авторы

Сообщества

Здоровье

Теги

Популярные авторы

Сообщества

Путешествия

Теги

Популярные авторы

Сообщества

Спорт

Теги

Популярные авторы

Сообщества

Хобби

Теги

Популярные авторы

Сообщества

Сервис

Теги

Популярные авторы

Сообщества

Природа

Теги

Популярные авторы

Сообщества

Бизнес

Теги

Популярные авторы

Сообщества

Транспорт

Теги

Популярные авторы

Сообщества

Общение

Теги

Популярные авторы

Сообщества

Юриспруденция

Теги

Популярные авторы

Сообщества

Наука

Теги

Популярные авторы

Сообщества

IT

Теги

Популярные авторы

Сообщества

Животные

Теги

Популярные авторы

Сообщества

Кино и сериалы

Теги

Популярные авторы

Сообщества

Экономика

Теги

Популярные авторы

Сообщества

Кулинария

Теги

Популярные авторы

Сообщества

История

Теги

Популярные авторы

Сообщества