Красота спасет мир? про виниры...
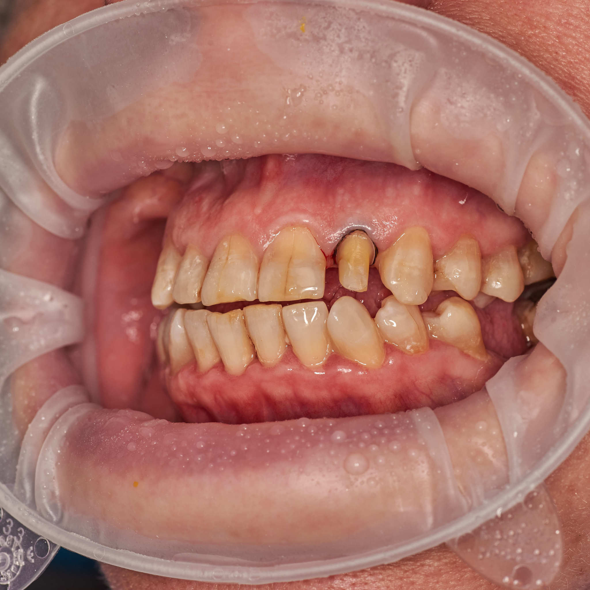
Всем приветы! хочу поделиться историей, которая была на приеме у меня много лет назад. Ко мне обратилась пациентка очень приятной внешности с просьбой улучшить ее улыбку. Ирина, так звали эту девушка рассказала грустную историю о том, как она однажды каталась на велосипеде и ее сбил нетрезвый водитель. как после полученных травм у нее до сих пор не слушается половина лица и ей приходится колоть разные лекарства и пить таблетки... короче грустная история. так вот вернемся к зубам. хочу говорит белые зубы. ну ок.
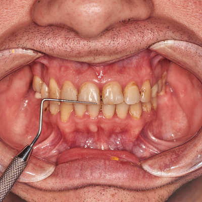
обычно свою работу я начинаю с выяснения пожеланий пациента и фотопротокола.
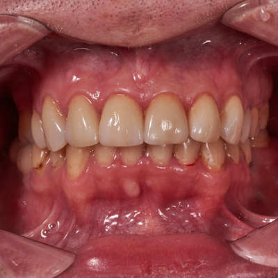
решили начать с того что изменим форму 8 верхних зубов.
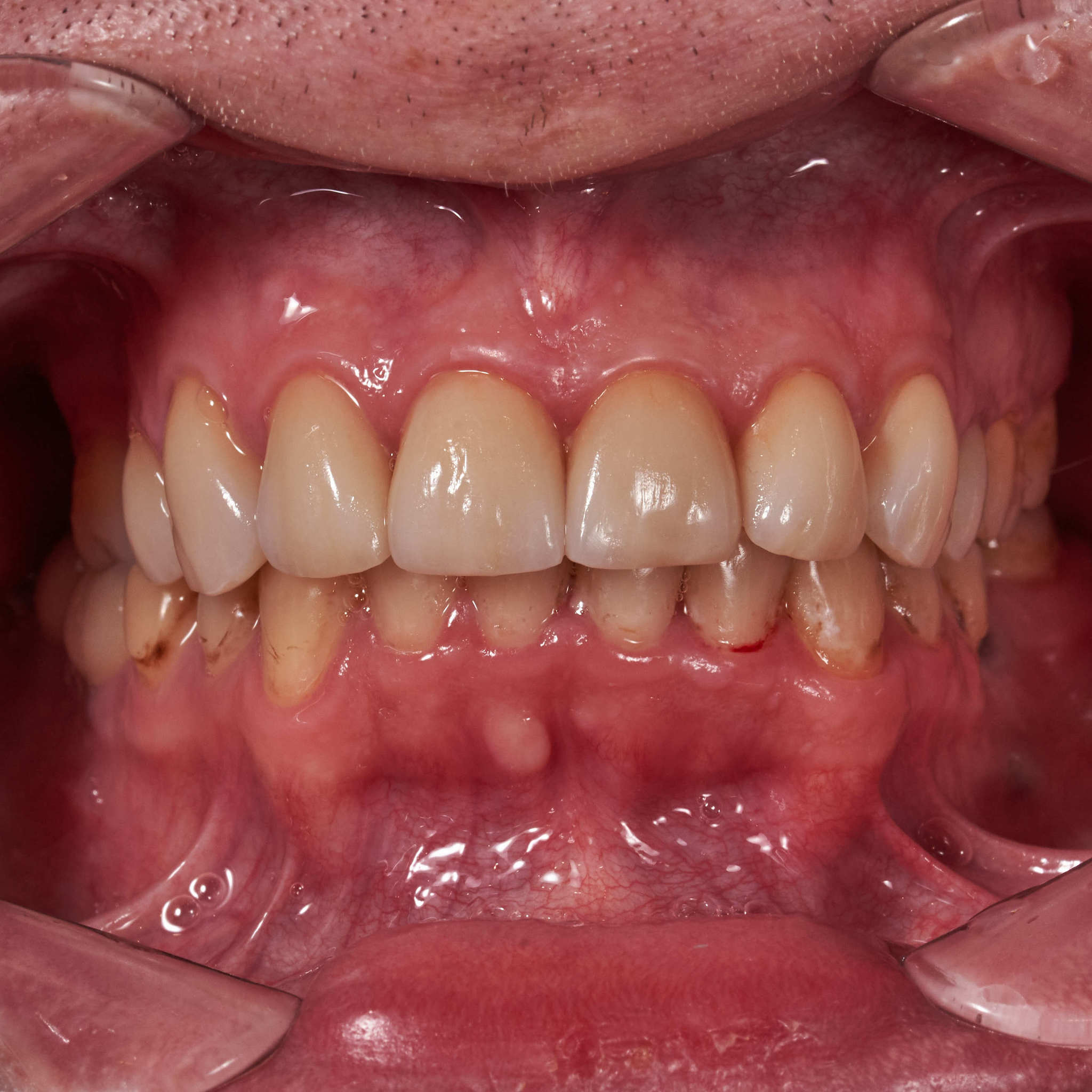
примеряем макет будущих виниров на зубы без обточки зубов. улыбка немного изменилась.
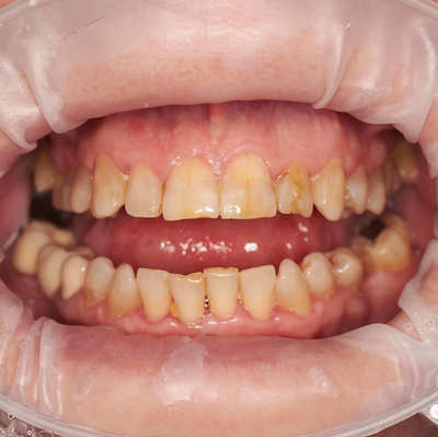
с Ириной мы не виделись около 2х недель. после чего Ира сообщила, что все и так не плохо. может не будем ни каких виниров делать. ну ок, давайте не будем. снимаем половинку временных конструкций
нет так не круто, давайте будем все-таки делать виниры....
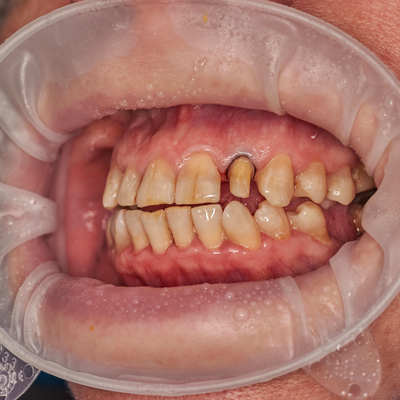
остальные зубы мы так и не сделали... я сменил место работы и связь с пациентом утрачена. работе уже 7 лет...














