Как у меня кот появился
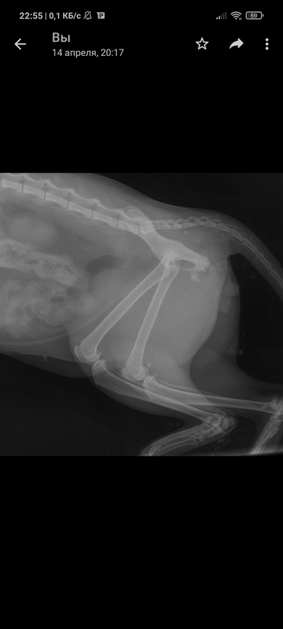
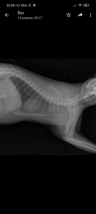
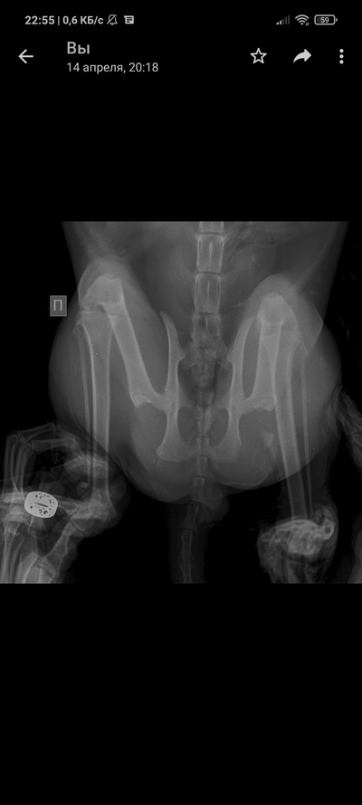
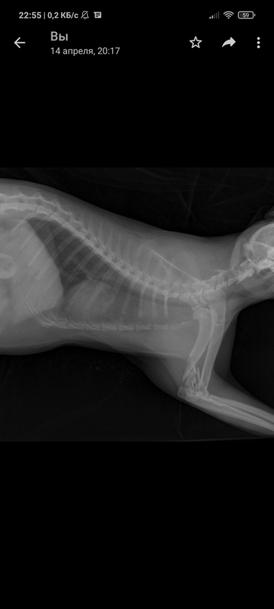
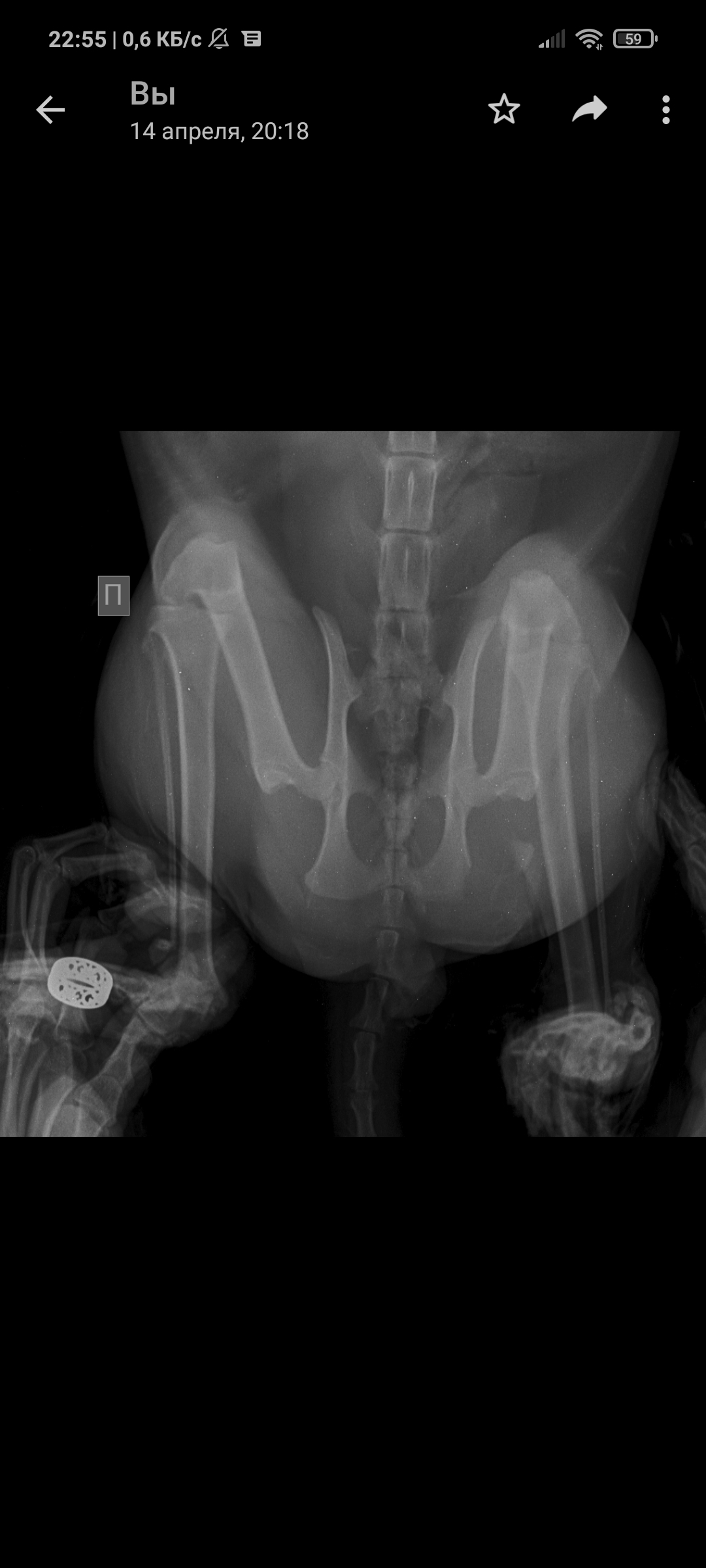
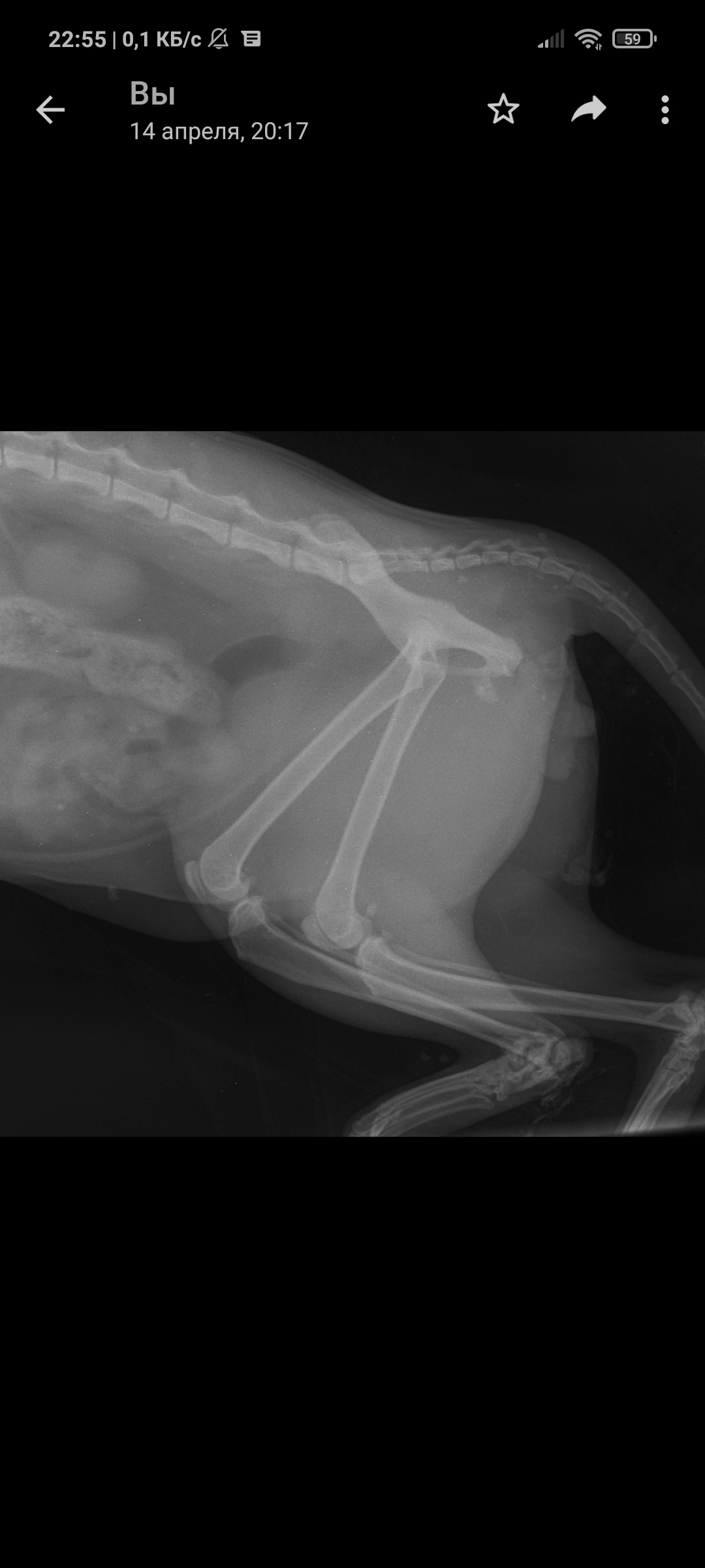
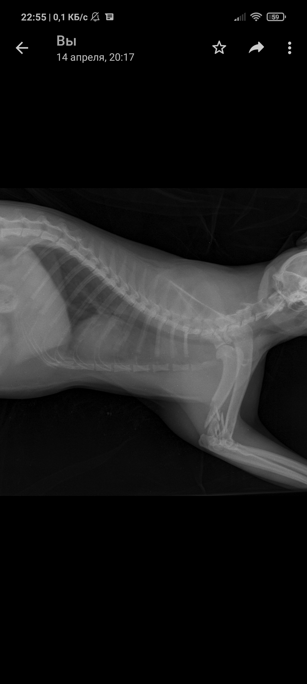
Так уж получилось что я ветеринарный врач, работаю в интенсивной терапии - принимаю и лечу самых тяжелых животных. На днях ближе к ночи прибегает женщина с котом, который шлёпнулся перед ней на улице. При осмотре выясняется что кот в шоке - лежит на боку, без давления, температуры, у него сломаны передние лапы, лицо, пневмоторакс и немного жидкости в брюшной полости (вероятно кровь). Женщина оставляет двадцатку на первые сутки и идет искать хозяина, кот помещается в стационар для стабилизации состояния. Всю ночь я ебусь с этим котом, вывожу его из шока, спускаю ему пневмоторакс, грею, обезболы льются рекой, к утру кот похож на кота, а не на покойника - начал садиться, ползать, полизал еду.
На следующий день я ушел спать, а котом продолжили заниматься мои коллеги. В это время женщина, которая его принесла нашла владельца котика, к вечеру он позвонил и захотел забрать труп. Ну так как трупа не было ему предложили ему кота полечить, он отказался и начал настаивать на усыплении. Я при этом разговоре не присутствовал и поэтому не послал его сразу нахуй, мужику было отказано, он собрался забрать кота с отказом от лечения и усыпить его в какой-нибудь кошкодавке. В это время я пришел на смену, обсудил кота с супругой и мы решили кота Кота (да, с фантазией у нас не очень) оставить пока себе, вылечить и возможно поискать новых хозяев. Ждали мужика, чтобы взять с него отказ от животного или просто рейдерски захватить его, если будет настаивать на том чтобы забрать, отдавать его не входило в мои планы, но он так и не приехал)
В общем, четвертый день от падения, полет нормальный, кот начал есть сам, а я иду на смену, ждите новостей, думаю скоро будет пост про то, как мы оперируем животных, в частности собираем ходули герою этой истории 😁










Айболит. Помощь животным
3.8K поста3K подписчиков
Правила сообщества
Миссия сообщества - помощь домашним животным.
Запрещены оскорбления, накрутки, флуд, жесть на фото.
Оставайтесь людьми. И помните главное - это сообщество для домашних животных.