Небезопасный контент (18+)
Авторизуйтесь или зарегистрируйтесь для просмотра
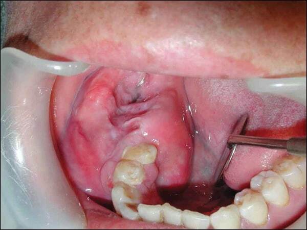
Амелобластома
Амелобластома представляет собой редкую доброкачественную опухоль, которая в основном располагается в задних отделах нижней челюсти, вызывающую деструкцию костных тканей.
Точные причины пока остаются неизвестными, однако, существуют следующие факторы риска, повышающие вероятность развития опухоли: плохая гигиена полости рта, игнорирование любой опухоли в челюсти, этническая принадлежность.
Поначалу отмечается полное отсутствие выраженных симптомов до тех пор, пока опухоль не станет больше. Типичными проявлениями являются: аномальный рост в области челюсти или носовых пазух; безболезненный отек челюсти; боль в костях; задержка прорезывания зубов; обструкция носовых дыхательных путей; язвы во рту; неправильное положение зубов при смыкании челюсти; ассиметричность лица.
Диагностика затруднена на ранних стадиях, постановка диагноза основана на данных цитологического исследования, компьютерной томографии, рентгенографии.
Лечение заключается в широком иссечении и при необходимости реконструкции.



Лига Жести Лайт (ЛЖЛ)
657 постов3.5K подписчика
Правила сообщества
Запрещено
-Оскорбления авторов, комментаторов, переход на личности
-Размещение постов содержащих насилие над животными, целенаправленного причинения вреда здоровью, пытки и казни
-Контент сексуального характера
Одобряется
-Видео/фото с нарушением техники безопасности
-Видео/фото с нарушением ПДД
-Видео/фото медицинского характера
-Описание к видео/фото материалам