Зубной вопрос
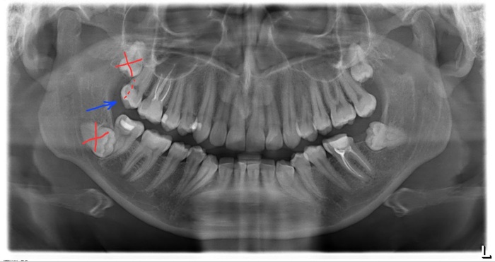
Мне удаляли 2 зуба мудрости (восьмерки). Было больно и страшно, но это не суть. Во время удаления мне повредили (сильно по ощущениям) соседний зуб (семёрка). По ощущениям скол на четверть(а то и на треть) зуба. Узнал об этом только сегодня (на 6 день после операции). Раньше больно было в ту сторону языком даже поворачивать. Завтра мне должны снимать швы. Как вести диалог в клинике? Что делать то? Как-то через суд отбивать компенсацию?
UPD
Оказалось, что это вывалилась старая пломба, которую нужно было и так менять. Вывалилась она "планируемо". Вероятно между хирургом и терапевтом произошёл дискомуникейт и меня никто не предупредил. А я просто ссыкливый паникер
