Небезопасный контент (18+)
Авторизуйтесь или зарегистрируйтесь для просмотра
Женщина вводившая физраствор в силиконовый имплант
20-летняя девушка, студентка медицинского колледжа, которая 18 месяцев назад установила двусторонние грудные имплантаты, спонтанно обратилась в отделение неотложной помощи по поводу одностороннего и болезненного увеличения правой груди после падения с лошади.
По прибытию у пациентки фиксировалась температура до 38,8 градусов без признаков сепсиса. При клиническом осмотре была обнаружена увеличенная в объеме правая грудь по сравнению с контралатеральной Фото 1.
Figure 1. предоперационная фотография пациентки: визуализируется асимметрия объема и увеличение правой половины груди.
Многочисленные точечные раны можно было наблюдать рядом с пораженной грудью Фото 2.
Figure 2. Фотография точечных поражений после самостоятельных инъекций физ. р-р рядом с правой молочной железой.
Пальпация вызывала сильную боль, также определялось заметное подкожное "потрескивание".
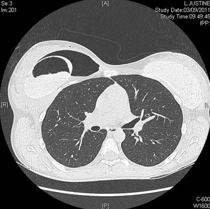
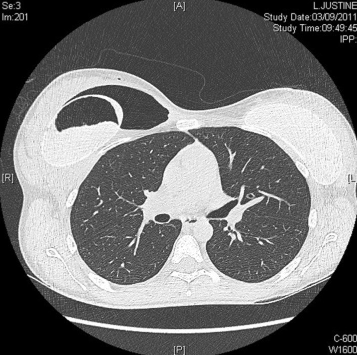
Компьютерная томография грудной клетки позволила выявить свободный газ и жидкость в ложе протеза, а также в самом протезе Фото 3.
Figure 3. Предоперационная компьютерная томография грудной клетки: отмечается наличие воздуха и жидкости в перипротезной ложбинке, а также в самом импланте.
Также определялся гетерогенный разрыв внутрипротезного силиконового геля.
Несмотря на то, что клиническая картина говорила о травмах, нанесенных самой себе, пациентка отрицала свою причастность и утверждала, что упала на прибитую гвоздями доску. Опрос пациентки выявил наличие в анамнезе восстановительной нимфопластики (это эстетическая операция по коррекции размера и формы малых половых губ) несколькими годами ранее, осложнившейся несколькими эпизодами разобщения, в том числе одним поздним. Кроме того, через год после установки протезов груди пациентка неоднократно обращалась к своему пластическому хирургу с жалобами на потерю объема груди. Это уменьшение объема было связано со спонтанно разрешившимся эпизодом галактореи, в результате обследования не было обнаружено никакой патологии.
Лечение:
Эксплантация была проведена в экстренном порядке под общим наркозом. Протез не был разорван, но имел многочисленные точечные разрывы его оболочки, связанные с множественными проходами в геле, заполненными воздухом и кровью Фото 4.
Figure 4. Фотография импланта после эксплантации. Можно увидеть присутствие крови и пузырьков воздуха в силиконовом геле после инъекций.
В ближайшем послеоперационном периоде была запрошена психиатрическая консультация. Пациентка призналась в эпизодах самоповреждения, связанных с расстройствами пищевого поведения в подростковом возрасте. Психиатрический диагноз указывал на дисморфофобию на почве лежащей в основе патологической личности истерического типа, сочетающей наличие диссоциативных элементов с поведением «прекрасного безразличия».
Пациентка отказалась от психиатрической помощи. Через несколько месяцев у нее случился рецидив на контралатеральной груди.
Перевёл и опубликовал: Немедицина
+выводы авторов к статье тут: https://t.me/ybody/841




Все о медицине
14.2K поста41.7K подписчиков
Правила сообщества
1)Не оскорбляйте друг друга
2) Ув. коллеги, при возникновении спора относитесь с уважением
3) спрашивая совета и рекомендации готовьтесь к тому что вы получите критику в свой адрес (интернет, пикабу в частности, не является медицинским сайтом).