Рентген котенка
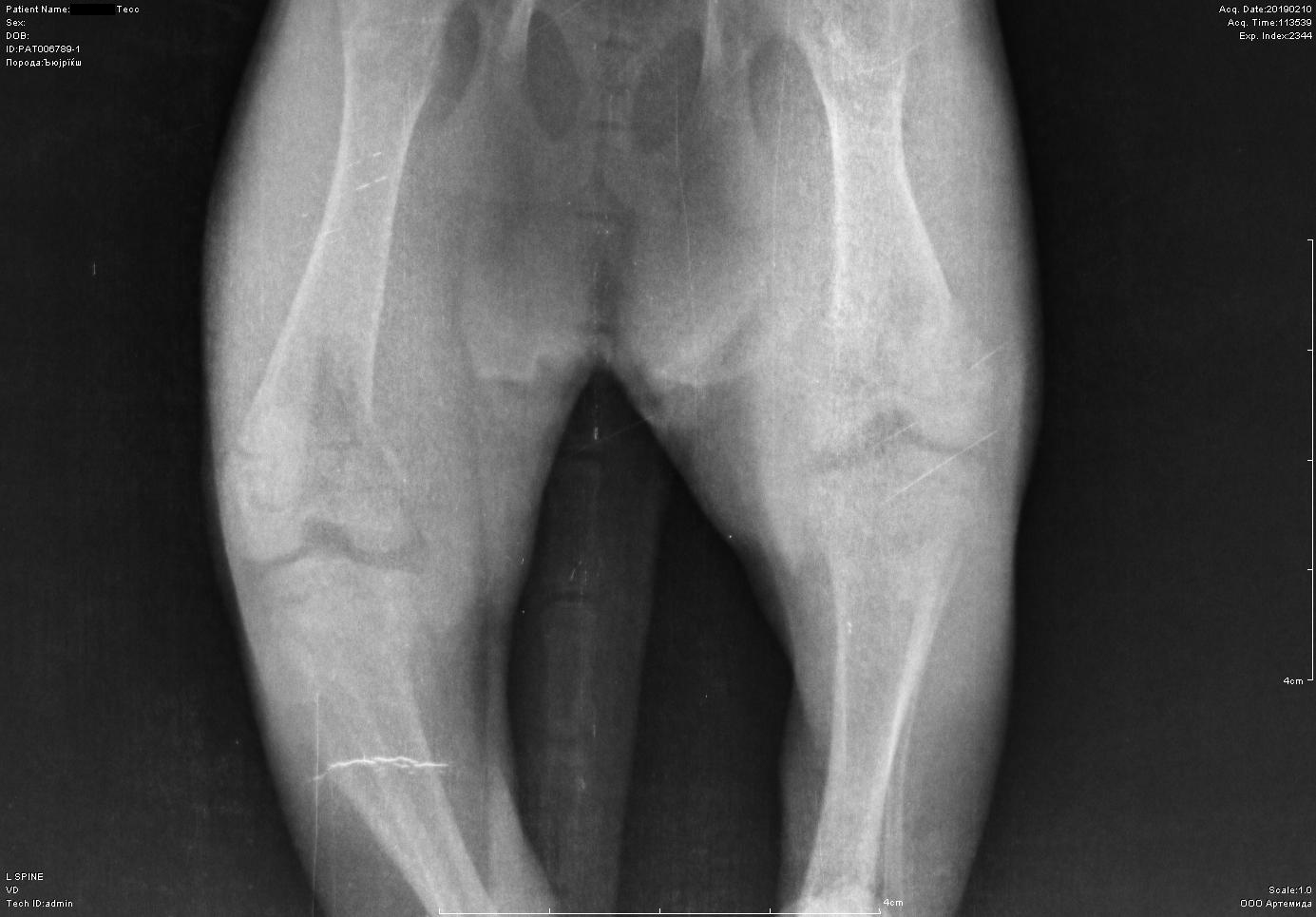
Добрый день. Котенок рожден 5 ноября 2018 года, девочка, не привита. Проглистована. Неожиданно в один момент стала припадать на задние ноги. Как бы бережет их и старается не прыгать лишний раз. Свозили два дня назад к ветеринару - всю её прощупал, говорит переломов нет, вывихов тоже. Сделали блокаду ближе в крестцу новокаина, чтобы снять симптомы. Прописал кальций в таблетках Ексел. Сейчас всё примерно так же - лапки задние бережет, но стала по активнее. Прошу специалистов, если такие тут бывают, оценить снимки, т.к. врач ещё кое-что сказал и хотелось бы услышать ваше мнение. Скан расшифровки и д/з потом приложу.
Боковая проекция
Фронтальная проекция
Ну и просто фоточка Тесс











Айболит. Помощь животным
3.8K постов3K подписчика
Правила сообщества
Миссия сообщества - помощь домашним животным.
Запрещены оскорбления, накрутки, флуд, жесть на фото.
Оставайтесь людьми. И помните главное - это сообщество для домашних животных.