Хламидийный проктит
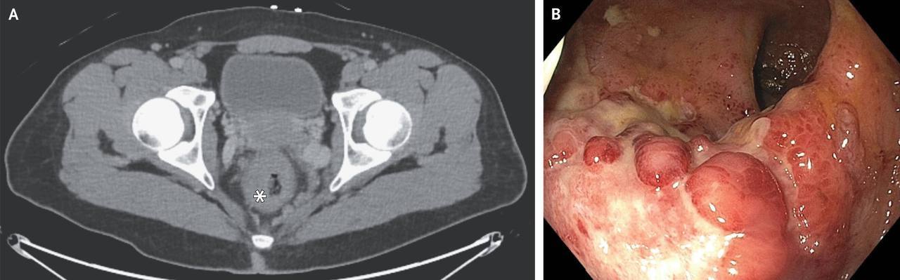
26-летний мужчина обратился в отделение неотложной помощи с 1-недельной историей лихорадки и кровавого стула. У него был восприимчивый анальный секс без презерватива с новым партнером-мужчиной за 3 недели до обращения. При физическом осмотре был небольшой внешний геморрой, но без боли в животе, поражений половых органов или паховой лимфаденопатии. Компьютерная томография таза показала утолщение стенки прямой кишки (фото А, звездочка) и периректальную лимфаденопатию — результаты, которые указывают на инфекционный проктит, воспалительное заболевание кишечника или рак прямой кишки. Последующая гибкая сигмоидоскопия показала узелковую слизистую оболочку с эритемой и язвой в дистальном отделе прямой кишки (фото B).
Биопсия была отрицательной на рак. Тест на амплификацию нуклеиновой кислоты для Chlamydia trachomatis, который был проведен на ректальном мазке. Был установлен диагноз хламидиозного проктита. Тестирование на другие инфекции, передающиеся половым путем, выявило положительный результат на вирус иммунодефицита человека с количеством клеток CD4 551 на кубический миллиметр (справочный диапазон, от 560 до 1840) и вирусной нагрузкой 129 000 копий на миллилитр (нижний предел обнаружения, 20). Начато лечение доксициклином и антиретровирусными препаратами. Через пять дней симптомы были купированы.
Перевёл и опубликовал: Немедицина

Все о медицине
14K постов41.6K подписчиков
Правила сообщества
1)Не оскорбляйте друг друга
2) Ув. коллеги, при возникновении спора относитесь с уважением
3) спрашивая совета и рекомендации готовьтесь к тому что вы получите критику в свой адрес (интернет, пикабу в частности, не является медицинским сайтом).