Доверяй,но проверяй!
Сосед, по совместительству еще и друг, сегодня попросил отвезти его на рентген, в одну из частных клиник, так как проходит медкомиссию,и хочет все сделать быстро. Приехали, все оплатили, поднимаемся в рентген кабинет, жду пока он выйдет. Смотрю кто рентгенолог, и вижу фото рентгенолога, с которым мне посчастливилось встречаться,когда я по направлению работал на скорой и в реанимации небольшого городка. Все бы ничего, случай действительно был интересный.
Так как пишу и для пикабушников не медиков, постараюсь написать без использования медицинской терминологии. Выходной день, вызов в маленький населенный пункт, в 68 км от города. Диспетчер передает: мужчина 19 лет бронхиальная астма,пневмоторакс(скопление воздуха в плевральной полости, т.е. между листками, которые покрывают лёгкие) и добавляет: умирает! Мы мчимся, благо выходной, утро и дороги пустые.
Встречает дежурный фельдшерско акушерского пункта : турист,19 лет,доставлен друзьями,дыхательная недостаточность,давление 80/40,капают. Сделан снимок(смутило отсутствие тени сердца, слева. ну ладно) заключение пневмоторакс справа,ЭКГ не сняли,так как не работает аппарат(верим,реалии нашей медицины,хорошо что хоть рентген есть)не принимал лекарства от бронхиальной астмы 2й день, готов транспортировке! Смотрю на снимок,думаю странный какой пневмоторакс(может напутали что)дежурный уверяет,что рентгенолог опытный и не может ничего путать! Зову рентгенолога,он категоричен,уверяет что я молодой,мало что в жизни видел, а это пневмоторакс!!!Ну раз так,скорее всего спонтанный. Начинаю слушать, верхушечный толчок смещен сильно вправо(сердце слева,соответственно в норме верхушечный толчок тоже слева)в сознании,заторможен,пульс слабый, тахикардия,цианоз(синюшная окраска кожи и слизистой) Дыхание поверхностное,тяжёлое, с участием вспомогательной мускулатуры,т.е. "дышит всем телом".Предположил что все таки это не пневмоторакс,а дыхательная недостаточность в результате бронхоспазма и сердце не на своем месте. В машине сняли ЭГК, все подтвердилось.Борьба с ДН, кислород,Преднизолон, сальбутамол, давление 100/60(приблизительно, так как точных цифр не помню)сатурация 95, привезли в реанимацию.
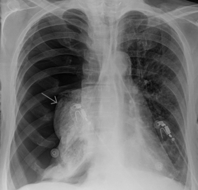
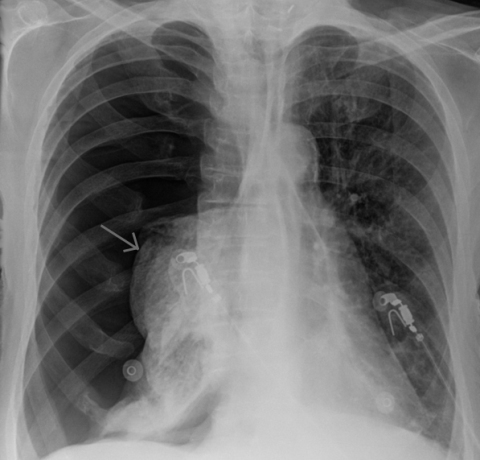
Астматический статус и декстракардия(сердце расположено справа)все стало на свои места! А "опытный" рентгенолог, теперь работает в одной из частных клиник нашей столицы!
Пользуясь случаем,передам привет,вдруг тут сидит.
P.S. вот так выглядит декстракардия,фото не мое.



