Болезнь - "Абсцесс аппендикулярный"
Абсцесс аппендикулярный является осложнением деструктивных форм аппендицита. Выявляется в 2% случаев заболевания острого аппендицита. Происходит формирование аппендикулярного инфильтрата, который после либо расасывается вследствии консеративной терапии, или же абсцедирует, несмотря на лечение.
Клиническая картина характеризуется болевым синдромом типичного острого аппендицита. В случае, если при аппендикулярном абсцессе не оказана своевременная помощь возможно возникновение двух вариантов течения заболевания: прогрессирование перитонита, либо отграничение воспалительного процесса. Во втором случае спустя 2-3 дняуменьшается болевой синдром и снижается температура. В правой подвздошной области при пальпации обнаруживается инфильтрат. На 5 - 7 сутки происходит повышение температуры, проявляются диспепсические явления и усиливается болевой синдром, характеризующийся в правой подвздошной области. Язык при осмотре влажный и обложен. Живот в области правого нижнего квадранта отстает при дыхании, в данной зоне может определяться болезнность, в редких случаях ярко выраженная. Кроме того наличествуют симптомы раздражения брюшины. При проведении глубокой пальпации обнаруживается неподвижный инфильтрат, зачастую резко болезненный. В отдельных случаях возможны нерезко выраженные явления паралитической кишечной непроходимости.
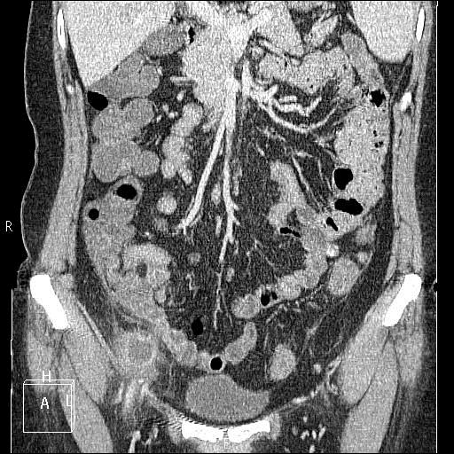
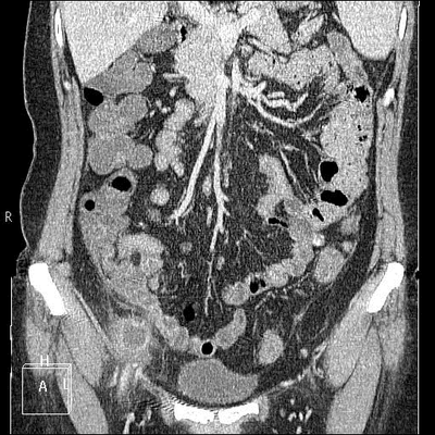
Диагностика. При аппендикулярном абсцессе в крови отмечается высокий лейкоцитоз. При динамическом наблюдении возможна температура гектического характера. Постепенно увеличивается инфильтрат, что сопровождается болезненностью в подвздошной области справа. УЗИ помогает узнать размер и точную локализацию гнойника. При проведении рентгеноскопического исследования органов брюшной полости вероятно выявление пневматоз и уровни жидкости в правой половине живота, что зачастую свидетельствует о явлениях паралитической непроходимости в кишечнике.
Лечение аппендикулярного абсцесса требует хирургического вмешательства. В предоперационный период проводят премедикацию метронидазолом и антибиотиками. Вскрытие гнойника проводят под общим обезболиванием. В послеоперационный период назначается дезинтоксикационная терапия - антибиотики в сочетании с метронидазолом.
Возможные осложнения: абсцессы печени, пилефлебит, развитие сепсиса, развитие разлитого перитонита вследствие прорыва гнойника в брюшную полость.
Прогноз зависит от адекватности и своевременности оперативного вмешательства.
Клиническая картина характеризуется болевым синдромом типичного острого аппендицита. В случае, если при аппендикулярном абсцессе не оказана своевременная помощь возможно возникновение двух вариантов течения заболевания: прогрессирование перитонита, либо отграничение воспалительного процесса. Во втором случае спустя 2-3 дняуменьшается болевой синдром и снижается температура. В правой подвздошной области при пальпации обнаруживается инфильтрат. На 5 - 7 сутки происходит повышение температуры, проявляются диспепсические явления и усиливается болевой синдром, характеризующийся в правой подвздошной области. Язык при осмотре влажный и обложен. Живот в области правого нижнего квадранта отстает при дыхании, в данной зоне может определяться болезнность, в редких случаях ярко выраженная. Кроме того наличествуют симптомы раздражения брюшины. При проведении глубокой пальпации обнаруживается неподвижный инфильтрат, зачастую резко болезненный. В отдельных случаях возможны нерезко выраженные явления паралитической кишечной непроходимости.
Диагностика. При аппендикулярном абсцессе в крови отмечается высокий лейкоцитоз. При динамическом наблюдении возможна температура гектического характера. Постепенно увеличивается инфильтрат, что сопровождается болезненностью в подвздошной области справа. УЗИ помогает узнать размер и точную локализацию гнойника. При проведении рентгеноскопического исследования органов брюшной полости вероятно выявление пневматоз и уровни жидкости в правой половине живота, что зачастую свидетельствует о явлениях паралитической непроходимости в кишечнике.
Лечение аппендикулярного абсцесса требует хирургического вмешательства. В предоперационный период проводят премедикацию метронидазолом и антибиотиками. Вскрытие гнойника проводят под общим обезболиванием. В послеоперационный период назначается дезинтоксикационная терапия - антибиотики в сочетании с метронидазолом.
Возможные осложнения: абсцессы печени, пилефлебит, развитие сепсиса, развитие разлитого перитонита вследствие прорыва гнойника в брюшную полость.
Прогноз зависит от адекватности и своевременности оперативного вмешательства.
